Rabbit DSG2 Polyclonal Antibody | anti-DSG2 antibody
DSG2 antibody - N-terminal region
Gene Names
DSG2; HDGC; CDHF5
Reactivity
Cow, Dog, Guinea Pig, Horse, Human, Mouse, Pig, Rabbit, Rat
Applications
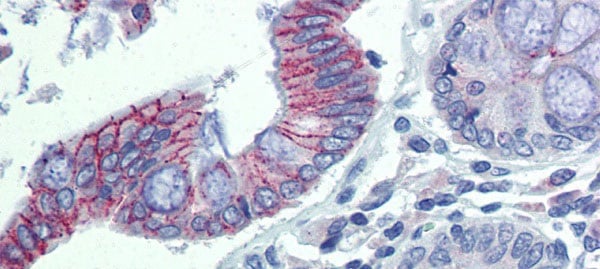
Western Blot, Immunohistochemistry
Purity
Affinity Purified
Synonyms
DSG2, Antibody; DSG2 antibody - N-terminal region; anti-DSG2 antibody
Host
Rabbit
Reactivity
Cow, Dog, Guinea Pig, Horse, Human, Mouse, Pig, Rabbit, Rat
Clonality
Polyclonal
Purity/Purification
Affinity Purified
Form/Format
Liquid. Purified antibody supplied in 1x PBS buffer with 0.09% (w/v) sodium azide and 2% sucrose.
Sequence
Synthetic peptide located within the following region: KIHSDLAEERGLKITYKYTGKGITEPPFGIFVFNKDTGELNVTSILDREE
Sequence Length
1118
Applicable Applications for anti-DSG2 antibody
WB (Western Blot), IHC (Immunohistochemistry)
Homology
Cow: 93%; Dog: 93%; Guinea Pig: 93%; Horse: 93%; Human: 100%; Mouse: 100%; Pig: 100%; Rabbit: 93%; Rat: 100%
Immunogen
The immunogen is a synthetic peptide directed towards the N terminal region of human DSG2
Preparation and Storage
For short term use, store at 2-8 degree C up to 1 week. For long term storage, store at -20 degree C in small aliquots to prevent freeze-thaw cycles.
Related Product Information for anti-DSG2 antibody
This is a rabbit polyclonal antibody against DSG2. It was validated on Western Blot using a cell lysate as a positive control.
Target Description: Desmosomes are cell-cell junctions between epithelial, myocardial, and certain other cell types. DSG2 is a calcium-binding transmembrane glycoprotein component of desmosomes in vertebrate epithelial cells. Currently, three desmoglein subfamily members have been identified and all are members of the cadherin cell adhesion molecule superfamily. These desmoglein gene family members are located in a cluster on chromosome 18. This second family member is expressed in colon, colon carcinoma, and other simple and stratified epithelial-derived cell lines.Desmosomes are cell-cell junctions between epithelial, myocardial, and certain other cell types. This gene product is a calcium-binding transmembrane glycoprotein component of desmosomes in vertebrate epithelial cells. Currently, three desmoglein subfamily members have been identified and all are members of the cadherin cell adhesion molecule superfamily. These desmoglein gene family members are located in a cluster on chromosome 18. This second family member is expressed in colon, colon carcinoma, and other simple and stratified epithelial-derived cell lines. Mutations in this gene have been associated with arrhythmogenic right ventricular dysplasia, familial, 10. Publication Note: This RefSeq record includes a subset of the publications that are available for this gene. Please see the Entrez Gene record to access additional publications.
Target Description: Desmosomes are cell-cell junctions between epithelial, myocardial, and certain other cell types. DSG2 is a calcium-binding transmembrane glycoprotein component of desmosomes in vertebrate epithelial cells. Currently, three desmoglein subfamily members have been identified and all are members of the cadherin cell adhesion molecule superfamily. These desmoglein gene family members are located in a cluster on chromosome 18. This second family member is expressed in colon, colon carcinoma, and other simple and stratified epithelial-derived cell lines.Desmosomes are cell-cell junctions between epithelial, myocardial, and certain other cell types. This gene product is a calcium-binding transmembrane glycoprotein component of desmosomes in vertebrate epithelial cells. Currently, three desmoglein subfamily members have been identified and all are members of the cadherin cell adhesion molecule superfamily. These desmoglein gene family members are located in a cluster on chromosome 18. This second family member is expressed in colon, colon carcinoma, and other simple and stratified epithelial-derived cell lines. Mutations in this gene have been associated with arrhythmogenic right ventricular dysplasia, familial, 10. Publication Note: This RefSeq record includes a subset of the publications that are available for this gene. Please see the Entrez Gene record to access additional publications.
Product Categories/Family for anti-DSG2 antibody
NCBI and Uniprot Product Information
NCBI GI #
NCBI GeneID
NCBI Accession #
NCBI GenBank Nucleotide #
UniProt Accession #
Molecular Weight
114kDa
NCBI Official Full Name
desmoglein-2 preproprotein
NCBI Official Synonym Full Names
desmoglein 2
NCBI Official Symbol
DSG2
NCBI Official Synonym Symbols
HDGC; CDHF5
NCBI Protein Information
desmoglein-2
UniProt Protein Name
Desmoglein-2
UniProt Gene Name
DSG2
UniProt Synonym Gene Names
CDHF5
UniProt Entry Name
DSG2_HUMAN
Customer Reviews
Loading reviews...
Share Your Experience
Similar Products
Product Notes
The DSG2 dsg2 (Catalog #AAA199528) is an Antibody produced from Rabbit and is intended for research purposes only. The product is available for immediate purchase. The DSG2 antibody - N-terminal region reacts with Cow, Dog, Guinea Pig, Horse, Human, Mouse, Pig, Rabbit, Rat and may cross-react with other species as described in the data sheet. AAA Biotech's DSG2 can be used in a range of immunoassay formats including, but not limited to, WB (Western Blot), IHC (Immunohistochemistry). Researchers should empirically determine the suitability of the DSG2 dsg2 for an application not listed in the data sheet. Researchers commonly develop new applications and it is an integral, important part of the investigative research process. The amino acid sequence is listed below: Synthetic peptide located within the following region: KIHSDLAEER GLKITYKYTG KGITEPPFGI FVFNKDTGEL NVTSILDREE. It is sometimes possible for the material contained within the vial of "DSG2, Polyclonal Antibody" to become dispersed throughout the inside of the vial, particularly around the seal of said vial, during shipment and storage. We always suggest centrifuging these vials to consolidate all of the liquid away from the lid and to the bottom of the vial prior to opening. Please be advised that certain products may require dry ice for shipping and that, if this is the case, an additional dry ice fee may also be required.Precautions
All products in the AAA Biotech catalog are strictly for research-use only, and are absolutely not suitable for use in any sort of medical, therapeutic, prophylactic, in-vivo, or diagnostic capacity. By purchasing a product from AAA Biotech, you are explicitly certifying that said products will be properly tested and used in line with industry standard. AAA Biotech and its authorized distribution partners reserve the right to refuse to fulfill any order if we have any indication that a purchaser may be intending to use a product outside of our accepted criteria.Disclaimer
Though we do strive to guarantee the information represented in this datasheet, AAA Biotech cannot be held responsible for any oversights or imprecisions. AAA Biotech reserves the right to adjust any aspect of this datasheet at any time and without notice. It is the responsibility of the customer to inform AAA Biotech of any product performance issues observed or experienced within 30 days of receipt of said product. To see additional details on this or any of our other policies, please see our Terms & Conditions page.Item has been added to Shopping Cart
If you are ready to order, navigate to Shopping Cart and get ready to checkout.
