Rabbit anti-Human DTNBP1 Polyclonal Antibody | anti-DTNBP1 antibody
DTNBP1 Rabbit Polyclonal Antibody
Gene Names
DTNBP1; SDY; DBND; HPS7; My031; BLOC1S8
Reactivity
Human
Applications
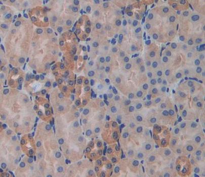
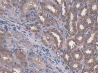
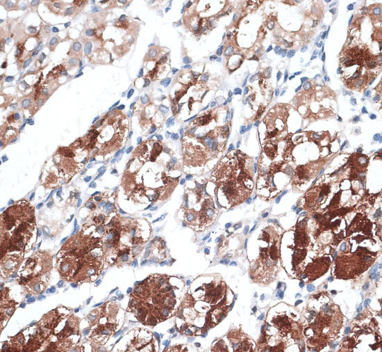
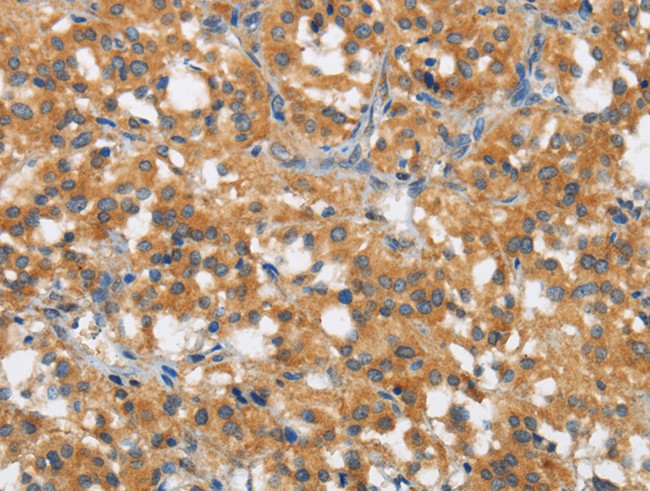
Immunofluorescence, Immunohistochemistry, Western Blot
Purity
Affinity purification
Synonyms
DTNBP1, Antibody; DTNBP1 Rabbit Polyclonal Antibody; DTNBP1; BLOC1S8; DBND; HPS7; My031; SDY; dysbindin; anti-DTNBP1 antibody
Host
Rabbit
Reactivity
Human
Clonality
Polyclonal
Isotype
IgG
Purity/Purification
Affinity purification
Form/Format
Buffer: PBS with 0.02% sodium azide, 50% glycerol, pH7.3.
Applicable Applications for anti-DTNBP1 antibody
IF (Immunofluorescence), IHC (Immunohistochemistry), WB (Western Blot)
Immunogen
Recombinant fusion protein of human DTNBP1 (NP_115498.2).
Preparation and Storage
Store at -20 degree C. Avoid freeze/thaw cycles.
Related Product Information for anti-DTNBP1 antibody
This gene encodes a protein that may play a role in organelle biogenesis associated with melanosomes, platelet dense granules, and lysosomes. A similar protein in mouse is a component of a protein complex termed biogenesis of lysosome-related organelles complex 1 (BLOC-1), and binds to alpha- and beta-dystrobrevins, which are components of the dystrophin-associated protein complex (DPC). Mutations in this gene are associated with Hermansky-Pudlak syndrome type 7. This gene may also be associated with schizophrenia. Multiple transcript variants encoding distinct isoforms have been identified for this gene.
Product Categories/Family for anti-DTNBP1 antibody
NCBI and Uniprot Product Information
NCBI GI #
NCBI GeneID
Molecular Weight
351
NCBI Official Full Name
Dysbindin
NCBI Official Synonym Full Names
dystrobrevin binding protein 1
NCBI Official Symbol
DTNBP1
NCBI Official Synonym Symbols
SDY; DBND; HPS7; My031; BLOC1S8
NCBI Protein Information
dysbindin; dysbindin-1; BLOC-1 subunit 8; Hermansky-Pudlak syndrome 7 protein; biogenesis of lysosomal organelles complex-1, subunit 8; biogenesis of lysosome-related organelles complex 1 subunit 8
UniProt Protein Name
Dysbindin
UniProt Gene Name
DTNBP1
UniProt Synonym Gene Names
BLOC1S8; BLOC-1 subunit 8; HPS7 protein
UniProt Entry Name
DTBP1_HUMAN
Customer Reviews
Loading reviews...
Share Your Experience
Similar Products
Product Notes
The DTNBP1 dtnbp1 (Catalog #AAA313680) is an Antibody produced from Rabbit and is intended for research purposes only. The product is available for immediate purchase. The DTNBP1 Rabbit Polyclonal Antibody reacts with Human and may cross-react with other species as described in the data sheet. AAA Biotech's DTNBP1 can be used in a range of immunoassay formats including, but not limited to, IF (Immunofluorescence), IHC (Immunohistochemistry), WB (Western Blot). Researchers should empirically determine the suitability of the DTNBP1 dtnbp1 for an application not listed in the data sheet. Researchers commonly develop new applications and it is an integral, important part of the investigative research process. It is sometimes possible for the material contained within the vial of "DTNBP1, Polyclonal Antibody" to become dispersed throughout the inside of the vial, particularly around the seal of said vial, during shipment and storage. We always suggest centrifuging these vials to consolidate all of the liquid away from the lid and to the bottom of the vial prior to opening. Please be advised that certain products may require dry ice for shipping and that, if this is the case, an additional dry ice fee may also be required.Precautions
All products in the AAA Biotech catalog are strictly for research-use only, and are absolutely not suitable for use in any sort of medical, therapeutic, prophylactic, in-vivo, or diagnostic capacity. By purchasing a product from AAA Biotech, you are explicitly certifying that said products will be properly tested and used in line with industry standard. AAA Biotech and its authorized distribution partners reserve the right to refuse to fulfill any order if we have any indication that a purchaser may be intending to use a product outside of our accepted criteria.Disclaimer
Though we do strive to guarantee the information represented in this datasheet, AAA Biotech cannot be held responsible for any oversights or imprecisions. AAA Biotech reserves the right to adjust any aspect of this datasheet at any time and without notice. It is the responsibility of the customer to inform AAA Biotech of any product performance issues observed or experienced within 30 days of receipt of said product. To see additional details on this or any of our other policies, please see our Terms & Conditions page.Item has been added to Shopping Cart
If you are ready to order, navigate to Shopping Cart and get ready to checkout.
