Host
Rabbit
Reactivity
Human
Clonality
Polyclonal
Specificity
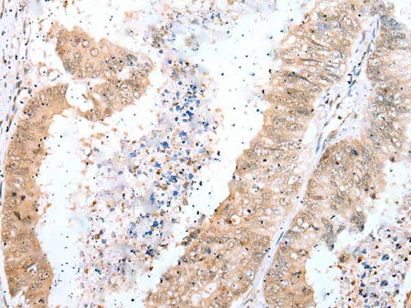
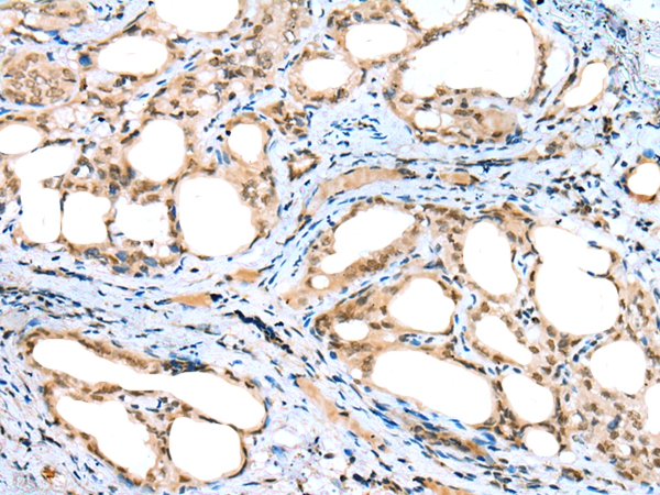
The antibody detects endogenous levels of total DTWD1 protein.
Purity/Purification
Antigen Affinity Purification
Form/Format
Rabbit IgG in pH7.4 PBS, 0.05% NaN3, 40% Glycerol.
Concentration
0.7 mg/ml (varies by lot)
Sequence Length
304
Applicable Applications for anti-DTWD1 antibody
IHC (Immunohistochemistry)
Immunogen
Full length fusion protein of human DTWD1
Immunogen Type
Protein
Preparation and Storage
Store at -20 degree C
Related Product Information for anti-DTWD1 antibody
Encoding more than 700 genes, chromosome 15 is made up of approximately 106 million base pairs and is about 3% of the human genome. Angelman and Prader-Willi syndromes are associated with loss of function or deletion of genes in the 15q11-q13 region. In the case of Angelman syndrome, this loss is due to inactivity of the maternal 15q11-q13 encoded UBE3A gene in the brain by either chromosomal deletion or mutation. In cases of Prader-Willi syndrome, there is a partial or complete deletion of this region from the paternal copy of chromosome 15. Tay-Sachs disease is a lethal disorder associated with mutations of the HEXA gene, which is encoded by chromosome 15. Marfan syndrome is associated with chromosome 15 through the FBN1 gene.
Product Categories/Family for anti-DTWD1 antibody
NCBI and Uniprot Product Information
NCBI GI #
NCBI GeneID
NCBI Accession #
NCBI GenBank Nucleotide #
Molecular Weight
12,087 Da
NCBI Official Full Name
DTW domain-containing protein 1
NCBI Official Synonym Full Names
DTW domain containing 1
NCBI Official Symbol
DTWD1
NCBI Official Synonym Symbols
MDS009
NCBI Protein Information
DTW domain-containing protein 1
UniProt Protein Name
DTW domain-containing protein 1
UniProt Gene Name
DTWD1
UniProt Entry Name
DTWD1_HUMAN
Customer Reviews
Loading reviews...
Share Your Experience
Similar Products
Product Notes
The DTWD1 dtwd1 (Catalog #AAA309076) is an Antibody produced from Rabbit and is intended for research purposes only. The product is available for immediate purchase. The DTWD1 Antibody reacts with Human and may cross-react with other species as described in the data sheet. AAA Biotech's DTWD1 can be used in a range of immunoassay formats including, but not limited to, IHC (Immunohistochemistry). Researchers should empirically determine the suitability of the DTWD1 dtwd1 for an application not listed in the data sheet. Researchers commonly develop new applications and it is an integral, important part of the investigative research process. It is sometimes possible for the material contained within the vial of "DTWD1, Polyclonal Antibody" to become dispersed throughout the inside of the vial, particularly around the seal of said vial, during shipment and storage. We always suggest centrifuging these vials to consolidate all of the liquid away from the lid and to the bottom of the vial prior to opening. Please be advised that certain products may require dry ice for shipping and that, if this is the case, an additional dry ice fee may also be required.Precautions
All products in the AAA Biotech catalog are strictly for research-use only, and are absolutely not suitable for use in any sort of medical, therapeutic, prophylactic, in-vivo, or diagnostic capacity. By purchasing a product from AAA Biotech, you are explicitly certifying that said products will be properly tested and used in line with industry standard. AAA Biotech and its authorized distribution partners reserve the right to refuse to fulfill any order if we have any indication that a purchaser may be intending to use a product outside of our accepted criteria.Disclaimer
Though we do strive to guarantee the information represented in this datasheet, AAA Biotech cannot be held responsible for any oversights or imprecisions. AAA Biotech reserves the right to adjust any aspect of this datasheet at any time and without notice. It is the responsibility of the customer to inform AAA Biotech of any product performance issues observed or experienced within 30 days of receipt of said product. To see additional details on this or any of our other policies, please see our Terms & Conditions page.Item has been added to Shopping Cart
If you are ready to order, navigate to Shopping Cart and get ready to checkout.
