Rabbit DVL2 Polyclonal Antibody | anti-DVL2 antibody
DVL2 Antibody
Phosphate buffered saline, pH 7.4, 150mM NaCl, 0.02% sodium azide and 50% glycerol.
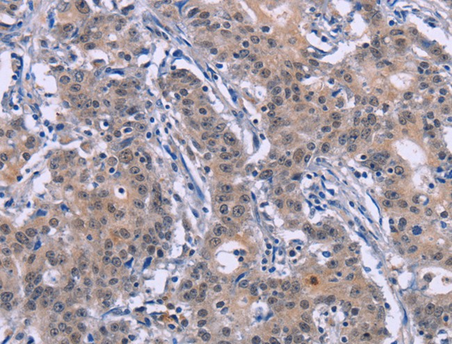
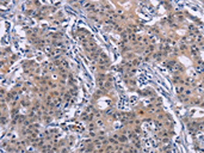
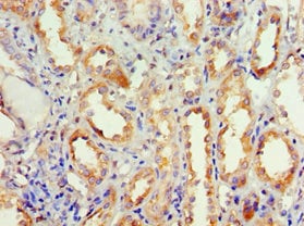
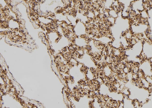
IHC (Immunohistochemisry)
(AAA325104 at 1/100 staining Rat lung tissue by IHC-P. The sample was formaldehyde fixed and a heat mediated antigen retrieval step in citrate buffer was performed. The sample was then blocked and incubated with the antibody for 1.5 hours at 22 degree C. An HRP conjugated goat anti-rabbit antibody was used as the secondary.)
WB (Western Blot)
(Western blot analysis of extracts from K562/Jurkat cells, using DVL2 antibody.The lane on the left is treated with the antigen-specific peptide.)
IF (Immunofluorescence)
(AAA325104 staining K562 by IF/ICC. The sample were fixed with PFA and permeabilized in 0.1% Triton X-100, then blocked in 10% serum for 45 minutes at 25 degree C. The primary antibody was diluted at 1/200 and incubated with the sample for 1 hour at 37 degree C. An Alexa Fluor 594 conjugated goat anti-rabbit IgG (H+L) Ab, diluted at 1/600, was used as the secondary antibody.)
Subunit Structure: Interacts through its PDZ domain with the C-terminal regions of VANGL1 and VANGL2. Interacts with Rac. Interacts with ARRB1; the interaction is enhanced by phosphorylation of DVL1 (By similarity). Can form large oligomers (via DIX domain). Interacts (via DIX domain) with DIXDC1 (via DIX domain). Interacts (via DEP domain) with AP2M1 and the AP-2 complex (By similarity). Interacts with DACT1 and FAM105B/otulin. Interacts with DCDC2. Interacts (when phosphorylated) with FOXK1 and FOXK2; the interaction induces DVL2 nuclear translocation (PubMed:25805136).
Post-translational Modifications: Phosphorylated by CSNK1D (PubMed:21422228, PubMed:9192851). WNT3A induces DVL2 phosphorylation by CSNK1E and MARK kinases (PubMed:25805136).
Similarity: The DIX domain mediates homooligomerization. Belongs to the DSH family.
NCBI and Uniprot Product Information
Predicted: 79 kDa
Customer Reviews
Loading reviews...
Share Your Experience
Similar Products
Product Notes
The DVL2 dvl2 (Catalog #AAA325104) is an Antibody produced from Rabbit and is intended for research purposes only. The product is available for immediate purchase. The DVL2 Antibody reacts with Human, Mouse, Rat and may cross-react with other species as described in the data sheet. AAA Biotech's DVL2 can be used in a range of immunoassay formats including, but not limited to, ELISA, ICC (Immunocytochemistry), IF (Immunofluorescence), IHC (Immunohistochemistry), WB (Western Blot). Researchers should empirically determine the suitability of the DVL2 dvl2 for an application not listed in the data sheet. Researchers commonly develop new applications and it is an integral, important part of the investigative research process. It is sometimes possible for the material contained within the vial of "DVL2, Polyclonal Antibody" to become dispersed throughout the inside of the vial, particularly around the seal of said vial, during shipment and storage. We always suggest centrifuging these vials to consolidate all of the liquid away from the lid and to the bottom of the vial prior to opening. Please be advised that certain products may require dry ice for shipping and that, if this is the case, an additional dry ice fee may also be required.Precautions
All products in the AAA Biotech catalog are strictly for research-use only, and are absolutely not suitable for use in any sort of medical, therapeutic, prophylactic, in-vivo, or diagnostic capacity. By purchasing a product from AAA Biotech, you are explicitly certifying that said products will be properly tested and used in line with industry standard. AAA Biotech and its authorized distribution partners reserve the right to refuse to fulfill any order if we have any indication that a purchaser may be intending to use a product outside of our accepted criteria.Disclaimer
Though we do strive to guarantee the information represented in this datasheet, AAA Biotech cannot be held responsible for any oversights or imprecisions. AAA Biotech reserves the right to adjust any aspect of this datasheet at any time and without notice. It is the responsibility of the customer to inform AAA Biotech of any product performance issues observed or experienced within 30 days of receipt of said product. To see additional details on this or any of our other policies, please see our Terms & Conditions page.Item has been added to Shopping Cart
If you are ready to order, navigate to Shopping Cart and get ready to checkout.
