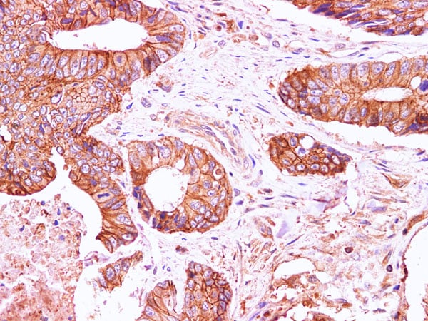
Rabbit anti-Human E-Cadherin Polyclonal Antibody | anti-CDHE antibody
E-Cadherin Polyclonal Antibody
Gene Names
CDH1; UVO; CDHE; ECAD; LCAM; Arc-1; BCDS1; CD324
Reactivity
Human
Applications
Immunohistochemistry
Purity
Antigen Affinity Purification
Synonyms
E-Cadherin, Antibody; E-Cadherin Polyclonal Antibody; Arc 1; CADH1; Cadherin 1; cadherin 1 type 1 E-cadherin; Cadherin1; CAM 120/80; CD 324; CD324; CD324 antigen; cdh1; E-Cad/CTF3; E-cadherin; ECAD; Epithelial cadherin; epithelial calcium dependant adhesion protein; LCAM; Liver cell adhesion molecule; UVO; Uvomorulin; anti-CDHE antibody
Host
Rabbit
Reactivity
Human
Clonality
Polyclonal
Isotype
IgG
Purity/Purification
Antigen Affinity Purification
Form/Format
PBS with 0.05% Proclin300, 50% glycerol, pH7.3.
Concentration
1 mg/mL (varies by lot)
Sequence Length
821
Applicable Applications for anti-CDHE antibody
IHC (Immunohistochemistry)
Immunogen
Recombinant Human Cadherin-1 protein
Conjugation
Unconjugated
Preparation and Storage
Store at -20 degree C. Avoid freeze/thaw cycles.
Related Product Information for anti-CDHE antibody
This gene is a classical cadherin from the cadherin superfamily. The encoded protein is a calcium dependent cell-cell adhesion glycoprotein comprised of five extracellular cadherin repeats, a transmembrane region and a highly conserved cytoplasmic tail. Mutations in this gene are correlated with gastric, breast, colorectal, thyroid and ovarian cancer. Loss of function is thought to contribute to progression in cancer by increasing proliferation, invasion, and/or metastasis. The ectodomain of this protein mediates bacterial adhesion to mammalian cells and the cytoplasmic domain is required for internalization. Identified transcript variants arise from mutation at consensus splice sites.
Product Categories/Family for anti-CDHE antibody
NCBI and Uniprot Product Information
NCBI GI #
NCBI GeneID
NCBI Accession #
NCBI GenBank Nucleotide #
Molecular Weight
90,942 Da
NCBI Official Full Name
cadherin-1 isoform 2
NCBI Official Synonym Full Names
cadherin 1
NCBI Official Symbol
CDH1
NCBI Official Synonym Symbols
UVO; CDHE; ECAD; LCAM; Arc-1; BCDS1; CD324
NCBI Protein Information
cadherin-1
UniProt Protein Name
Cadherin-1
UniProt Gene Name
CDH1
UniProt Synonym Gene Names
CDHE; UVO; E-cadherin
Similar Products
Product Notes
The CDHE cdh1 (Catalog #AAA174074) is an Antibody produced from Rabbit and is intended for research purposes only. The product is available for immediate purchase. The E-Cadherin Polyclonal Antibody reacts with Human and may cross-react with other species as described in the data sheet. AAA Biotech's E-Cadherin can be used in a range of immunoassay formats including, but not limited to, IHC (Immunohistochemistry). Researchers should empirically determine the suitability of the CDHE cdh1 for an application not listed in the data sheet. Researchers commonly develop new applications and it is an integral, important part of the investigative research process. It is sometimes possible for the material contained within the vial of "E-Cadherin, Polyclonal Antibody" to become dispersed throughout the inside of the vial, particularly around the seal of said vial, during shipment and storage. We always suggest centrifuging these vials to consolidate all of the liquid away from the lid and to the bottom of the vial prior to opening. Please be advised that certain products may require dry ice for shipping and that, if this is the case, an additional dry ice fee may also be required.Precautions
All products in the AAA Biotech catalog are strictly for research-use only, and are absolutely not suitable for use in any sort of medical, therapeutic, prophylactic, in-vivo, or diagnostic capacity. By purchasing a product from AAA Biotech, you are explicitly certifying that said products will be properly tested and used in line with industry standard. AAA Biotech and its authorized distribution partners reserve the right to refuse to fulfill any order if we have any indication that a purchaser may be intending to use a product outside of our accepted criteria.Disclaimer
Though we do strive to guarantee the information represented in this datasheet, AAA Biotech cannot be held responsible for any oversights or imprecisions. AAA Biotech reserves the right to adjust any aspect of this datasheet at any time and without notice. It is the responsibility of the customer to inform AAA Biotech of any product performance issues observed or experienced within 30 days of receipt of said product. To see additional details on this or any of our other policies, please see our Terms & Conditions page.Item has been added to Shopping Cart
If you are ready to order, navigate to Shopping Cart and get ready to checkout.
