Rabbit anti-Human E3 SUMO-protein ligase CBX4 Polyclonal Antibody | anti-CBX4 antibody
Rabbit anti-human E3 SUMO-protein ligase CBX4 polyclonal Antibody(CBX4)
Gene Names
CBX4; PC2; NBP16
Reactivity
Human
Applications
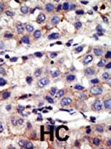
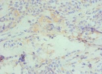
Immunohistochemistry, ELISA
Purity
Antigen Affinity Purified
Synonyms
E3 SUMO-protein ligase CBX4, Antibody; Rabbit anti-human E3 SUMO-protein ligase CBX4 polyclonal Antibody(CBX4); Chromobox protein homolog 4; Polycomb 2 homolog; Pc2; hPc2; anti-CBX4 antibody
Host
Rabbit
Reactivity
Human
Clonality
Polyclonal
Isotype
IgG
Purity/Purification
Antigen Affinity Purified
Sequence Length
560
Applicable Applications for anti-CBX4 antibody
IHC (Immunohistochemistry), ELISA
Storage Buffer
PBS with 0.02% sodium azide, 50% glycerol, pH7.3.
Conjugate
Non-conjugated
Immunogen
Recombinant human E3 SUMO-protein ligase CBX4 protein(401-560aa)
Santa Cruz Alternative
Potential replacement for Santa Cruz Biotechnology antibody catalog# sc-19299 / sc-130822
Preparation and Storage
Shipped at 4 degree C. Upon delivery aliquot and store at -20 degree C or -80 degree C. Avoid repeated freeze.
Related Product Information for anti-CBX4 antibody
E3 SUMO-protein ligase which facilitates SUMO1 conjugation by UBE2I. Involved in the sumoylation of HNRNPK, a p53/TP53 transcriptional coactivator, hence indirectly regulates p53/TP53 transcriptional activation resulting in p21/CDKN1A expression. Monosumoylates ZNF131. Component of a Polycomb group (PcG) multiprotein PRC1-like complex, a complex class required to maintain the transcriptionally repressive state of many genes, including Hox genes, throughout development. PcG PRC1 complex acts via chromatin remodeling and modification of histones; it mediates monoubiquitination of histone H2A 'Lys-119', rendering chromatin heritably changed in its expressibility.
NCBI and Uniprot Product Information
NCBI GI #
NCBI GeneID
NCBI Accession #
NCBI GenBank Nucleotide #
Molecular Weight
31,987 Da
NCBI Official Full Name
E3 SUMO-protein ligase CBX4
NCBI Official Synonym Full Names
chromobox 4
NCBI Official Symbol
CBX4
NCBI Official Synonym Symbols
PC2; NBP16
NCBI Protein Information
E3 SUMO-protein ligase CBX4
UniProt Protein Name
E3 SUMO-protein ligase CBX4
UniProt Gene Name
CBX4
UniProt Synonym Gene Names
Pc2; hPc2
UniProt Entry Name
CBX4_HUMAN
Customer Reviews
Loading reviews...
Share Your Experience
Similar Products
Product Notes
The CBX4 cbx4 (Catalog #AAA119089) is an Antibody produced from Rabbit and is intended for research purposes only. The product is available for immediate purchase. The Rabbit anti-human E3 SUMO-protein ligase CBX4 polyclonal Antibody(CBX4) reacts with Human and may cross-react with other species as described in the data sheet. AAA Biotech's E3 SUMO-protein ligase CBX4 can be used in a range of immunoassay formats including, but not limited to, IHC (Immunohistochemistry), ELISA. Researchers should empirically determine the suitability of the CBX4 cbx4 for an application not listed in the data sheet. Researchers commonly develop new applications and it is an integral, important part of the investigative research process. It is sometimes possible for the material contained within the vial of "E3 SUMO-protein ligase CBX4, Polyclonal Antibody" to become dispersed throughout the inside of the vial, particularly around the seal of said vial, during shipment and storage. We always suggest centrifuging these vials to consolidate all of the liquid away from the lid and to the bottom of the vial prior to opening. Please be advised that certain products may require dry ice for shipping and that, if this is the case, an additional dry ice fee may also be required.Precautions
All products in the AAA Biotech catalog are strictly for research-use only, and are absolutely not suitable for use in any sort of medical, therapeutic, prophylactic, in-vivo, or diagnostic capacity. By purchasing a product from AAA Biotech, you are explicitly certifying that said products will be properly tested and used in line with industry standard. AAA Biotech and its authorized distribution partners reserve the right to refuse to fulfill any order if we have any indication that a purchaser may be intending to use a product outside of our accepted criteria.Disclaimer
Though we do strive to guarantee the information represented in this datasheet, AAA Biotech cannot be held responsible for any oversights or imprecisions. AAA Biotech reserves the right to adjust any aspect of this datasheet at any time and without notice. It is the responsibility of the customer to inform AAA Biotech of any product performance issues observed or experienced within 30 days of receipt of said product. To see additional details on this or any of our other policies, please see our Terms & Conditions page.Item has been added to Shopping Cart
If you are ready to order, navigate to Shopping Cart and get ready to checkout.
