Rabbit anti-Human, Mouse ECSIT Polyclonal Antibody | anti-ECSIT antibody
ECSIT Antibody
Gene Names
ECSIT; SITPEC
Reactivity
Human, Mouse
Applications
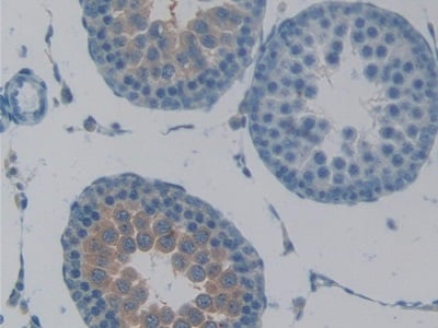
Immunohistochemistry, Western Blot, ELISA
Purity
ECSIT Antibody is affinity chromatography purified via peptide column.
Synonyms
ECSIT, Antibody; ECSIT Antibody; ECSIT; SITPEC; Evolutionarily conserved signaling intermediate in Toll pathway; mitochondrial; Protein SITPEC; ECSIT homolog (Drosophila); anti-ECSIT antibody
Host
Rabbit
Reactivity
Human, Mouse
Clonality
Polyclonal
Isotype
IgG
Purity/Purification
ECSIT Antibody is affinity chromatography purified via peptide column.
Form/Format
Liquid
Concentration
1 mg/mL (varies by lot)
Sequence Length
431
Applicable Applications for anti-ECSIT antibody
IHC (Immunohistochemistry), WB (Western Blot), ELISA
Conjugate
Unconjugated
Immunogen
ECSIT antibody was raised against a peptide corresponding to 14 amino acids near the C-terminus of human ECSIT.
Buffer
ECSIT Antibody is supplied in PBS containing 0.02% sodium azide.
Preparation and Storage
ECSIT antibody can be stored at 4 degree C for three months and -20 degree C, stable for up to one year. As with all antibodies care should be taken to avoid repeated freeze thaw cycles. Antibodies should not be exposed to prolonged high temperatures.
Related Product Information for anti-ECSIT antibody
ECSIT Antibody: Activation of NF-κB as a result of Toll-like receptor (TLR) and IL-1 receptor signaling is a major component of innate immune responses. Signals from these receptors are relayed by a number of adapter molecules such as TRIF, TIRAP, and MyD88 to kinases such as IRAK and other intermediates such as TNF receptor associated factor (TRAF)-6. ECSIT (evolutionarily conserved signaling intermediate in Toll pathways) was initially identified as a cytoplasmic protein interacting specifically with TNF receptor associated factor (TRAF)-6 in the TLR pathway. Recently however, ECSIT has also been shown to be required for bone morphogenetic protein (Bmp) signaling and mesoderm formation during mouse embryogenesis, indicating the possibility of cross-talk between the TLR/IL-B and Bmp signaling pathways.
NCBI and Uniprot Product Information
NCBI GI #
NCBI GeneID
NCBI Accession #
NCBI GenBank Nucleotide #
Molecular Weight
33,938 Da
NCBI Official Full Name
evolutionarily conserved signaling intermediate in Toll pathway, mitochondrial isoform 1
NCBI Official Synonym Full Names
ECSIT signalling integrator
NCBI Official Symbol
ECSIT
NCBI Official Synonym Symbols
SITPEC
NCBI Protein Information
evolutionarily conserved signaling intermediate in Toll pathway, mitochondrial; ECSIT homolog; likely ortholog of mouse signaling intermediate in Toll pathway evolutionarily conserved
UniProt Protein Name
Evolutionarily conserved signaling intermediate in Toll pathway, mitochondrial
UniProt Gene Name
ECSIT
UniProt Entry Name
ECSIT_HUMAN
Customer Reviews
Loading reviews...
Share Your Experience
Similar Products
Product Notes
The ECSIT ecsit (Catalog #AAA40183) is an Antibody produced from Rabbit and is intended for research purposes only. The product is available for immediate purchase. The ECSIT Antibody reacts with Human, Mouse and may cross-react with other species as described in the data sheet. AAA Biotech's ECSIT can be used in a range of immunoassay formats including, but not limited to, IHC (Immunohistochemistry), WB (Western Blot), ELISA. Researchers should empirically determine the suitability of the ECSIT ecsit for an application not listed in the data sheet. Researchers commonly develop new applications and it is an integral, important part of the investigative research process. It is sometimes possible for the material contained within the vial of "ECSIT, Polyclonal Antibody" to become dispersed throughout the inside of the vial, particularly around the seal of said vial, during shipment and storage. We always suggest centrifuging these vials to consolidate all of the liquid away from the lid and to the bottom of the vial prior to opening. Please be advised that certain products may require dry ice for shipping and that, if this is the case, an additional dry ice fee may also be required.Precautions
All products in the AAA Biotech catalog are strictly for research-use only, and are absolutely not suitable for use in any sort of medical, therapeutic, prophylactic, in-vivo, or diagnostic capacity. By purchasing a product from AAA Biotech, you are explicitly certifying that said products will be properly tested and used in line with industry standard. AAA Biotech and its authorized distribution partners reserve the right to refuse to fulfill any order if we have any indication that a purchaser may be intending to use a product outside of our accepted criteria.Disclaimer
Though we do strive to guarantee the information represented in this datasheet, AAA Biotech cannot be held responsible for any oversights or imprecisions. AAA Biotech reserves the right to adjust any aspect of this datasheet at any time and without notice. It is the responsibility of the customer to inform AAA Biotech of any product performance issues observed or experienced within 30 days of receipt of said product. To see additional details on this or any of our other policies, please see our Terms & Conditions page.Item has been added to Shopping Cart
If you are ready to order, navigate to Shopping Cart and get ready to checkout.
