Rabbit EEA1 Polyclonal Antibody | anti-EEA1 antibody
EEA1 Antibody
Gene Names
EEA1; MST105; ZFYVE2; MSTP105
Reactivity
Human, Mouse, Rat
Applications
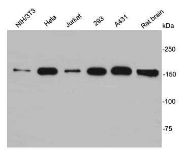
Immunohistochemistry, Immunocytochemistry, Western Blot
Purity
Peptide affinity purified
Synonyms
EEA1, Antibody; EEA1 Antibody; Early endosome antigen 1 antibody; Early endosome antigen 1; 162kD antibody; Early endosome associated protein antibody; EEA 1 antibody; EEA1 antibody; EEA1_HUMAN antibody; Endosome associated protein p162 antibody; Endosome-associated protein p162 antibody; MST105 antibody; MSTP105 antibody; ZFYVE2 antibody; Zinc finger FYVE domain containing protein 2 antibody; Zinc finger FYVE domain-containing protein 2 antibody; anti-EEA1 antibody
Host
Rabbit
Reactivity
Human, Mouse, Rat
Clonality
Polyclonal
Purity/Purification
Peptide affinity purified
Form/Format
1*TBS (pH7.4), 1% BSA, 40% Glycerol. Preservative: 0.05% Sodium Azide.
Applicable Applications for anti-EEA1 antibody
IHC (Immunohistochemistry), ICC (Immunocytochemistry), WB (Western Blot)
Immunogen
Peptide
Conjugation
Unconjugated
Preparation and Storage
Store at -20 degree C.
Related Product Information for anti-EEA1 antibody
EEA1 localizes exclusively to early endosomes and has an important role in endosomal trafficking. EEA1 binds directly to the phospholipid phosphatidylinositol 3-phosphate through its C-terminal FYVE domain and forms a homodimer through a coiled coil. EEA1 acts as a tethering molecule that couples vesicle docking with SNAREs such as N-ethylmaleimide sensitive fusion protein, bringing the endosomes physically closer and ultimately resulting in the fusion and delivery of endosomal cargo. Due to the proteins importance in vesicular trafficking, a number of intracellular bacteria prevent EEA1 recruitment to the vacuole. Mycobacterium tuberculosis is known to inhibit the recruitment of EEA1 to the phagosomal membrane through CamKII.
Product Categories/Family for anti-EEA1 antibody
NCBI and Uniprot Product Information
NCBI GI #
NCBI GeneID
NCBI Accession #
NCBI GenBank Nucleotide #
Molecular Weight
162,466 Da
NCBI Official Full Name
Homo sapiens early endosome antigen 1 (EEA1), mRNA
NCBI Official Synonym Full Names
early endosome antigen 1
NCBI Official Symbol
EEA1
NCBI Official Synonym Symbols
MST105; ZFYVE2; MSTP105
NCBI Protein Information
early endosome antigen 1; early endosome antigen 1, 162kD; early endosome-associated protein; endosome-associated protein p162; zinc finger FYVE domain-containing protein 2
UniProt Protein Name
Early endosome antigen 1
UniProt Gene Name
EEA1
UniProt Synonym Gene Names
ZFYVE2
UniProt Entry Name
EEA1_HUMAN
Customer Reviews
Loading reviews...
Share Your Experience
Similar Products
Product Notes
The EEA1 eea1 (Catalog #AAA311942) is an Antibody produced from Rabbit and is intended for research purposes only. The product is available for immediate purchase. The EEA1 Antibody reacts with Human, Mouse, Rat and may cross-react with other species as described in the data sheet. AAA Biotech's EEA1 can be used in a range of immunoassay formats including, but not limited to, IHC (Immunohistochemistry), ICC (Immunocytochemistry), WB (Western Blot). Researchers should empirically determine the suitability of the EEA1 eea1 for an application not listed in the data sheet. Researchers commonly develop new applications and it is an integral, important part of the investigative research process. It is sometimes possible for the material contained within the vial of "EEA1, Polyclonal Antibody" to become dispersed throughout the inside of the vial, particularly around the seal of said vial, during shipment and storage. We always suggest centrifuging these vials to consolidate all of the liquid away from the lid and to the bottom of the vial prior to opening. Please be advised that certain products may require dry ice for shipping and that, if this is the case, an additional dry ice fee may also be required.Precautions
All products in the AAA Biotech catalog are strictly for research-use only, and are absolutely not suitable for use in any sort of medical, therapeutic, prophylactic, in-vivo, or diagnostic capacity. By purchasing a product from AAA Biotech, you are explicitly certifying that said products will be properly tested and used in line with industry standard. AAA Biotech and its authorized distribution partners reserve the right to refuse to fulfill any order if we have any indication that a purchaser may be intending to use a product outside of our accepted criteria.Disclaimer
Though we do strive to guarantee the information represented in this datasheet, AAA Biotech cannot be held responsible for any oversights or imprecisions. AAA Biotech reserves the right to adjust any aspect of this datasheet at any time and without notice. It is the responsibility of the customer to inform AAA Biotech of any product performance issues observed or experienced within 30 days of receipt of said product. To see additional details on this or any of our other policies, please see our Terms & Conditions page.Item has been added to Shopping Cart
If you are ready to order, navigate to Shopping Cart and get ready to checkout.
