Rabbit anti-Human, Mouse eEF2k Polyclonal Antibody | anti-eEF2k antibody
Phospho-eEF2k (Ser366) Antibody
Phosphate buffered saline, pH 7.4, 150mM NaCl, 0.02% sodium azide and 50% glycerol.
WB (Western Blot)
(Western blot analysis of extracts of serum-starved HeLa cells, using Phospho-eEF2k (Ser366) Antibody.)
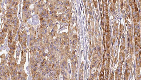
IHC (Immunohistochemistry)
(AAA321324 at 1/100 staining Human thyroid cancer tissue by IHC-P. The sample was formaldehyde fixed and a heat mediated antigen retrieval step in citrate buffer was performed. The sample was then blocked and incubated with the antibody for 1.5 hours at 22 degree C. An HRP conjugated goat anti-rabbit antibody was used as the secondary.)
Subunit Structure: Monomer or homodimer (Probable). Interacts with Calmodulin/CALM1; this interaction is strictly required for phosphorylation activity (PubMed:11015200).
Post-translational Modifications: Autophosphorylated at multiple residues, Thr-348 being the major site. Phosphorylated by AMP-activated protein kinase AMPK at Ser-398 leading to EEF2K activation and protein synthesis inhibition. Phosphorylated by TRPM7 at Ser-78 resulting in improved protein stability, higher EE2F phosphorylated and subsequently reduced rate of protein synthesis. Phosphorylation by other kinases such as CDK1 and MAPK13 at Ser-359 or RPS6KA1 and RPS6KB1 at Ser-366 instead decrease EEF2K activity and promote protein synthesis.
Similarity: Belongs to the protein kinase superfamily. Alpha-type protein kinase family.
NCBI and Uniprot Product Information
Predicted: 83 kDa
Customer Reviews
Loading reviews...
Share Your Experience
Similar Products
Product Notes
The eEF2k eef2k (Catalog #AAA321324) is an Antibody produced from Rabbit and is intended for research purposes only. The product is available for immediate purchase. The Phospho-eEF2k (Ser366) Antibody reacts with Human, Mouse and may cross-react with other species as described in the data sheet. AAA Biotech's eEF2k can be used in a range of immunoassay formats including, but not limited to, IHC (Immunohistochemistry), WB (Western Blot). Researchers should empirically determine the suitability of the eEF2k eef2k for an application not listed in the data sheet. Researchers commonly develop new applications and it is an integral, important part of the investigative research process. It is sometimes possible for the material contained within the vial of "eEF2k, Polyclonal Antibody" to become dispersed throughout the inside of the vial, particularly around the seal of said vial, during shipment and storage. We always suggest centrifuging these vials to consolidate all of the liquid away from the lid and to the bottom of the vial prior to opening. Please be advised that certain products may require dry ice for shipping and that, if this is the case, an additional dry ice fee may also be required.Precautions
All products in the AAA Biotech catalog are strictly for research-use only, and are absolutely not suitable for use in any sort of medical, therapeutic, prophylactic, in-vivo, or diagnostic capacity. By purchasing a product from AAA Biotech, you are explicitly certifying that said products will be properly tested and used in line with industry standard. AAA Biotech and its authorized distribution partners reserve the right to refuse to fulfill any order if we have any indication that a purchaser may be intending to use a product outside of our accepted criteria.Disclaimer
Though we do strive to guarantee the information represented in this datasheet, AAA Biotech cannot be held responsible for any oversights or imprecisions. AAA Biotech reserves the right to adjust any aspect of this datasheet at any time and without notice. It is the responsibility of the customer to inform AAA Biotech of any product performance issues observed or experienced within 30 days of receipt of said product. To see additional details on this or any of our other policies, please see our Terms & Conditions page.Item has been added to Shopping Cart
If you are ready to order, navigate to Shopping Cart and get ready to checkout.
