Rabbit EFNA5 Polyclonal Antibody | anti-EFNA5 antibody
EFNA5 Polyclonal Antibody
Gene Names
EFNA5; AF1; EFL5; RAGS; EPLG7; GLC1M; LERK7
Reactivity
Human, Mouse, Rat
Applications
Immunohistochemistry, ELISA
Purity
Antigen affinity purification
Synonyms
EFNA5, Antibody; EFNA5 Polyclonal Antibody; AF1; EFL5; RAGS; EPLG7; GLC1M; LERK7; anti-EFNA5 antibody
Host
Rabbit
Reactivity
Human, Mouse, Rat
Clonality
Polyclonal
Isotype
IgG
Purity/Purification
Antigen affinity purification
Concentration
2.7mg/mL (varies by lot)
Sequence Length
228
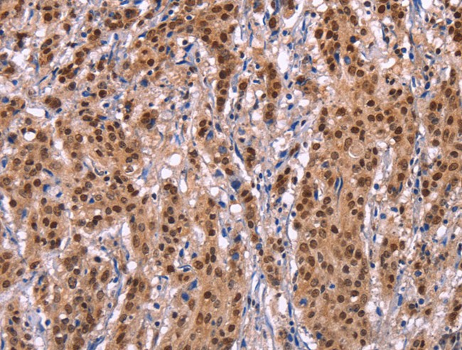
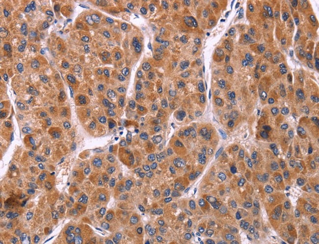
Applicable Applications for anti-EFNA5 antibody
IHC (Immunohistochemistry), ELISA
Immunogen
Synthetic peptide of human EFNA5
Buffer
PBS with 0.05% sodium azide, 50% glycerol, pH7.3
Preparation and Storage
Store at -20 degree C (regular) and -80 degree C (long term). Avoid freeze / thaw cycles.
Related Product Information for anti-EFNA5 antibody
Ephrin-A5, a member of the ephrin gene family, prevents axon bundling in cocultures of cortical neurons with astrocytes, a model of late stage nervous system development and differentiation. The EPH and EPH-related receptors comprise the largest subfamily of receptor protein-tyrosine kinases and have been implicated in mediating developmental events, particularly in the nervous system. EPH receptors typically have a single kinase domain and an extracellular region containing a Cys-rich domain and 2 fibronectin type III repeats. The ephrin ligands and receptors have been named by the Eph Nomenclature Committee (1997).
NCBI and Uniprot Product Information
NCBI GI #
NCBI GeneID
Molecular Weight
26,297 Da
NCBI Official Full Name
Ephrin-A5
NCBI Official Synonym Full Names
ephrin-A5
NCBI Official Symbol
EFNA5
NCBI Official Synonym Symbols
AF1; EFL5; RAGS; EPLG7; GLC1M; LERK7
NCBI Protein Information
ephrin-A5; AL-1; LERK-7; eph-related receptor tyrosine kinase ligand 7
UniProt Protein Name
Ephrin-A5
UniProt Gene Name
EFNA5
UniProt Synonym Gene Names
EPLG7; LERK7; LERK-7
UniProt Entry Name
EFNA5_HUMAN
Similar Products
Product Notes
The EFNA5 efna5 (Catalog #AAA169107) is an Antibody produced from Rabbit and is intended for research purposes only. The product is available for immediate purchase. The EFNA5 Polyclonal Antibody reacts with Human, Mouse, Rat and may cross-react with other species as described in the data sheet. AAA Biotech's EFNA5 can be used in a range of immunoassay formats including, but not limited to, IHC (Immunohistochemistry), ELISA. Researchers should empirically determine the suitability of the EFNA5 efna5 for an application not listed in the data sheet. Researchers commonly develop new applications and it is an integral, important part of the investigative research process. It is sometimes possible for the material contained within the vial of "EFNA5, Polyclonal Antibody" to become dispersed throughout the inside of the vial, particularly around the seal of said vial, during shipment and storage. We always suggest centrifuging these vials to consolidate all of the liquid away from the lid and to the bottom of the vial prior to opening. Please be advised that certain products may require dry ice for shipping and that, if this is the case, an additional dry ice fee may also be required.Precautions
All products in the AAA Biotech catalog are strictly for research-use only, and are absolutely not suitable for use in any sort of medical, therapeutic, prophylactic, in-vivo, or diagnostic capacity. By purchasing a product from AAA Biotech, you are explicitly certifying that said products will be properly tested and used in line with industry standard. AAA Biotech and its authorized distribution partners reserve the right to refuse to fulfill any order if we have any indication that a purchaser may be intending to use a product outside of our accepted criteria.Disclaimer
Though we do strive to guarantee the information represented in this datasheet, AAA Biotech cannot be held responsible for any oversights or imprecisions. AAA Biotech reserves the right to adjust any aspect of this datasheet at any time and without notice. It is the responsibility of the customer to inform AAA Biotech of any product performance issues observed or experienced within 30 days of receipt of said product. To see additional details on this or any of our other policies, please see our Terms & Conditions page.Item has been added to Shopping Cart
If you are ready to order, navigate to Shopping Cart and get ready to checkout.
