Rabbit EIF2AK1 Polyclonal Antibody | anti-EIF2AK1 antibody
EIF2AK1 antibody - N-terminal region
Gene Names
EIF2AK1; HCR; HRI
Reactivity
Tested Species Reactivity: HumanPredicted Species Reactivity: Human, Mouse, Rat, Cow, Dog, Guinea Pig, Horse, Rabbit, Zebrafish
Applications
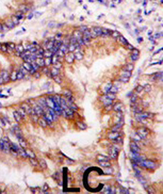
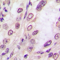
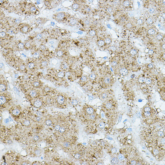
Immunohistochemistry, Western Blot
Purity
Affinity Purified
Synonyms
EIF2AK1, Antibody; EIF2AK1 antibody - N-terminal region; anti-EIF2AK1 antibody
Host
Rabbit
Reactivity
Tested Species Reactivity: Human
Predicted Species Reactivity: Human, Mouse, Rat, Cow, Dog, Guinea Pig, Horse, Rabbit, Zebrafish
Predicted Species Reactivity: Human, Mouse, Rat, Cow, Dog, Guinea Pig, Horse, Rabbit, Zebrafish
Clonality
Polyclonal
Purity/Purification
Affinity Purified
Form/Format
Liquid. Purified antibody supplied in 1x PBS buffer with 0.09% (w/v) sodium azide and 2% sucrose.
Concentration
0.5 mg/ml (varies by lot)
Sequence
Synthetic peptide located within the following region: TCSDEFSSLRLHHNRAITHLMRSAKERVRQDPCEDISRIQKIRSREVALE
Sequence Length
630
Applicable Applications for anti-EIF2AK1 antibody
IHC (Immunohistochemistry), WB (Western Blot)
Homology
Cow: 100%; Dog: 100%; Guinea Pig: 100%; Horse: 100%; Human: 100%; Mouse: 100%; Rabbit: 100%; Rat: 100%; Zebrafish: 79%
Immunogen
The immunogen is a synthetic peptide directed towards the N terminal region of human EIF2AK1
Protein Size (# AA)
630 amino acids
Protein Interactions
MDM2; UBC; HSP90AA1; LIG4; CDC37; EIF2AK1; EIF2S1;
Blocking Peptide
For anti-EIF2AK1 (MBS3206357) antibody is Catalog #
Preparation and Storage
For short term use, store at 2-8 degree C up to 1 week. For long term storage, store at -20 degree C in small aliquots to prevent freeze-thaw cycles.
Related Product Information for anti-EIF2AK1 antibody
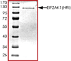
This is a rabbit polyclonal antibody against EIF2AK1. It was validated on Western Blot using a cell lysate as a positive control.
Target Description: EIF2AK1 acts at the level of translation initiation to downregulate protein synthesis in response to stress. The protein is a kinase that can be inactivated by hemin. Two transcript variants encoding different isoforms have been found for this gene.The HRI gene is localized to 7p22 where its 3' end slightly overlaps the 3' end of the gene JTV1. The two genes are transcribed from opposite strands. Studies in rat and rabbit suggest that the HRI gene product phosphorylates the alpha subunit of eukaryotic initiation factor 2. Its kinase activity is induced by low levels of heme and inhibited by the presence of heme. Sequence Note: The sequence AF181071.1 is a chimeric mRNA clone. Only the heme-regulated initiation factor 2-alpha kinase region was propagated into this RefSeq record.
Target Description: EIF2AK1 acts at the level of translation initiation to downregulate protein synthesis in response to stress. The protein is a kinase that can be inactivated by hemin. Two transcript variants encoding different isoforms have been found for this gene.The HRI gene is localized to 7p22 where its 3' end slightly overlaps the 3' end of the gene JTV1. The two genes are transcribed from opposite strands. Studies in rat and rabbit suggest that the HRI gene product phosphorylates the alpha subunit of eukaryotic initiation factor 2. Its kinase activity is induced by low levels of heme and inhibited by the presence of heme. Sequence Note: The sequence AF181071.1 is a chimeric mRNA clone. Only the heme-regulated initiation factor 2-alpha kinase region was propagated into this RefSeq record.
Product Categories/Family for anti-EIF2AK1 antibody
NCBI and Uniprot Product Information
NCBI GI #
NCBI GeneID
NCBI Accession #
NCBI GenBank Nucleotide #
UniProt Accession #
Molecular Weight
71kDa
NCBI Official Full Name
eukaryotic translation initiation factor 2-alpha kinase 1 isoform a
NCBI Official Synonym Full Names
eukaryotic translation initiation factor 2 alpha kinase 1
NCBI Official Symbol
EIF2AK1
NCBI Official Synonym Symbols
HCR; HRI
NCBI Protein Information
eukaryotic translation initiation factor 2-alpha kinase 1
UniProt Protein Name
Eukaryotic translation initiation factor 2-alpha kinase 1
UniProt Gene Name
EIF2AK1
UniProt Synonym Gene Names
HRI; KIAA1369; HCR
UniProt Entry Name
E2AK1_HUMAN
Customer Reviews
Loading reviews...
Share Your Experience
Similar Products
Product Notes
The EIF2AK1 eif2ak1 (Catalog #AAA199113) is an Antibody produced from Rabbit and is intended for research purposes only. The product is available for immediate purchase. The EIF2AK1 antibody - N-terminal region reacts with Tested Species Reactivity: Human Predicted Species Reactivity: Human, Mouse, Rat, Cow, Dog, Guinea Pig, Horse, Rabbit, Zebrafish and may cross-react with other species as described in the data sheet. AAA Biotech's EIF2AK1 can be used in a range of immunoassay formats including, but not limited to, IHC (Immunohistochemistry), WB (Western Blot). Researchers should empirically determine the suitability of the EIF2AK1 eif2ak1 for an application not listed in the data sheet. Researchers commonly develop new applications and it is an integral, important part of the investigative research process. The amino acid sequence is listed below: Synthetic peptide located within the following region: TCSDEFSSLR LHHNRAITHL MRSAKERVRQ DPCEDISRIQ KIRSREVALE. It is sometimes possible for the material contained within the vial of "EIF2AK1, Polyclonal Antibody" to become dispersed throughout the inside of the vial, particularly around the seal of said vial, during shipment and storage. We always suggest centrifuging these vials to consolidate all of the liquid away from the lid and to the bottom of the vial prior to opening. Please be advised that certain products may require dry ice for shipping and that, if this is the case, an additional dry ice fee may also be required.Precautions
All products in the AAA Biotech catalog are strictly for research-use only, and are absolutely not suitable for use in any sort of medical, therapeutic, prophylactic, in-vivo, or diagnostic capacity. By purchasing a product from AAA Biotech, you are explicitly certifying that said products will be properly tested and used in line with industry standard. AAA Biotech and its authorized distribution partners reserve the right to refuse to fulfill any order if we have any indication that a purchaser may be intending to use a product outside of our accepted criteria.Disclaimer
Though we do strive to guarantee the information represented in this datasheet, AAA Biotech cannot be held responsible for any oversights or imprecisions. AAA Biotech reserves the right to adjust any aspect of this datasheet at any time and without notice. It is the responsibility of the customer to inform AAA Biotech of any product performance issues observed or experienced within 30 days of receipt of said product. To see additional details on this or any of our other policies, please see our Terms & Conditions page.Item has been added to Shopping Cart
If you are ready to order, navigate to Shopping Cart and get ready to checkout.
