Rabbit anti-Human, Mouse EIF2B1 Polyclonal Antibody | anti-EIF2B1 antibody
EIF2B1 Polyclonal Antibody
Gene Names
EIF2B1; EIF2B; EIF2BA
Reactivity
Human, Mouse
Applications
Immunofluorescence, Western Blot
Purity
Affinity purification
Synonyms
EIF2B1, Antibody; EIF2B1 Polyclonal Antibody; EIF2B1; EIF2B; EIF2BA; translation initiation factor eIF-2B subunit alpha; anti-EIF2B1 antibody
Host
Rabbit
Reactivity
Human, Mouse
Clonality
Polyclonal
Isotype
IgG
Purity/Purification
Affinity purification
Form/Format
PBS with 50% glycerol, pH7.4
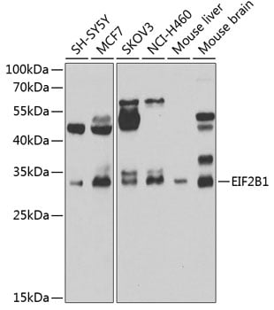
Applicable Applications for anti-EIF2B1 antibody
IF (Immunofluorescence), WB (Western Blot)
Immunogen
Recombinant fusion protein of human EIF2B1 (NP_001405.1).
Conjugation
Unconjugated
Preparation and Storage
Store at -20 degree C. Avoid freeze/thaw cycles.
Related Product Information for anti-EIF2B1 antibody
This gene encodes one of five subunits of eukaryotic translation initiation factor 2B (EIF2B), a GTP exchange factor for eukaryotic initiation factor 2 and an essential regulator for protein synthesis. Mutations in this gene and the genes encoding other EIF2B subunits have been associated with leukoencephalopathy with vanishing white matter.
Product Categories/Family for anti-EIF2B1 antibody
NCBI and Uniprot Product Information
NCBI GI #
NCBI GeneID
NCBI Accession #
NCBI GenBank Nucleotide #
Molecular Weight
24,618 Da
NCBI Official Full Name
translation initiation factor eIF-2B subunit alpha
NCBI Official Synonym Full Names
eukaryotic translation initiation factor 2B, subunit 1 alpha, 26kDa
NCBI Official Symbol
EIF2B1
NCBI Official Synonym Symbols
EIF2B; EIF2BA
NCBI Protein Information
translation initiation factor eIF-2B subunit alpha; eIF-2B GDP-GTP exchange factor subunit alpha
UniProt Protein Name
Translation initiation factor eIF-2B subunit alpha
UniProt Gene Name
EIF2B1
UniProt Synonym Gene Names
EIF2BA
UniProt Entry Name
EI2BA_HUMAN
Customer Reviews
Loading reviews...
Share Your Experience
Similar Products
Product Notes
The EIF2B1 eif2b1 (Catalog #AAA311585) is an Antibody produced from Rabbit and is intended for research purposes only. The product is available for immediate purchase. The EIF2B1 Polyclonal Antibody reacts with Human, Mouse and may cross-react with other species as described in the data sheet. AAA Biotech's EIF2B1 can be used in a range of immunoassay formats including, but not limited to, IF (Immunofluorescence), WB (Western Blot). Researchers should empirically determine the suitability of the EIF2B1 eif2b1 for an application not listed in the data sheet. Researchers commonly develop new applications and it is an integral, important part of the investigative research process. It is sometimes possible for the material contained within the vial of "EIF2B1, Polyclonal Antibody" to become dispersed throughout the inside of the vial, particularly around the seal of said vial, during shipment and storage. We always suggest centrifuging these vials to consolidate all of the liquid away from the lid and to the bottom of the vial prior to opening. Please be advised that certain products may require dry ice for shipping and that, if this is the case, an additional dry ice fee may also be required.Precautions
All products in the AAA Biotech catalog are strictly for research-use only, and are absolutely not suitable for use in any sort of medical, therapeutic, prophylactic, in-vivo, or diagnostic capacity. By purchasing a product from AAA Biotech, you are explicitly certifying that said products will be properly tested and used in line with industry standard. AAA Biotech and its authorized distribution partners reserve the right to refuse to fulfill any order if we have any indication that a purchaser may be intending to use a product outside of our accepted criteria.Disclaimer
Though we do strive to guarantee the information represented in this datasheet, AAA Biotech cannot be held responsible for any oversights or imprecisions. AAA Biotech reserves the right to adjust any aspect of this datasheet at any time and without notice. It is the responsibility of the customer to inform AAA Biotech of any product performance issues observed or experienced within 30 days of receipt of said product. To see additional details on this or any of our other policies, please see our Terms & Conditions page.Item has been added to Shopping Cart
If you are ready to order, navigate to Shopping Cart and get ready to checkout.
