Rabbit anti-Human, Mouse EIF3D Polyclonal Antibody | anti-EIF3D antibody
EIF3D Antibody
Phosphate buffered saline, pH 7.4, 150mM NaCl, 0.02% sodium azide and 50% glycerol.
IF (Immunofluorescence)
(AAA324721 staining NIH-3T3 cells by IF/ICC. The sample were fixed with PFA and permeabilized in 0.1% Triton X-100, then blocked in 10% serum for 45 minutes at 25 degree C. The primary antibody was diluted at 1/200 and incubated with the sample for 1 hour at 37 degree C. An Alexa Fluor 594 conjugated goat anti-rabbit IgG (H+L) antibody, diluted at 1/600, was used as secondary antibody.)
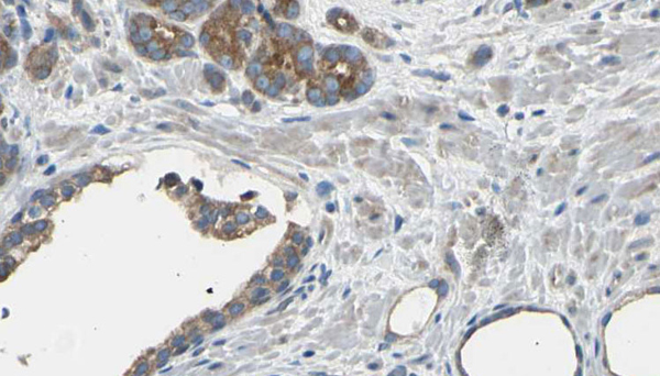
IHC (Immunohiostchemistry)
(AAA324721 at 1/100 staining Human prostate tissue by IHC-P. The sample was formaldehyde fixed and a heat mediated antigen retrieval step in citrate buffer was performed. The sample was then blocked and incubated with the antibody for 1.5 hours at 22 degree C. An HRP conjugated goat anti-rabbit antibody was used as the secondary.)
Subunit Structure: Component of the eukaryotic translation initiation factor 3 (eIF-3) complex, which is composed of 13 subunits: EIF3A, EIF3B, EIF3C, EIF3D, EIF3E, EIF3F, EIF3G, EIF3H, EIF3I, EIF3J, EIF3K, EIF3L and EIF3M. The eIF-3 complex appears to include 3 stable modules: module A is composed of EIF3A, EIF3B, EIF3G and EIF3I; module B is composed of EIF3F, EIF3H, and EIF3M; and module C is composed of EIF3C, EIF3D, EIF3E, EIF3K and EIF3L. EIF3C of module C binds EIF3B of module A and EIF3H of module B, thereby linking the three modules. EIF3J is a labile subunit that binds to the eIF-3 complex via EIF3B. The eIF-3 complex interacts with RPS6KB1 under conditions of nutrient depletion. Mitogenic stimulation leads to binding and activation of a complex composed of MTOR and RPTOR, leading to phosphorylation and release of RPS6KB1 and binding of EIF4B to eIF-3.
Similarity: The RNA gate region regulates mRNA cap recognition to prevent promiscuous mRNA-binding before assembly of EIF3D into the full eukaryotic translation initiation factor 3 (eIF-3) complex. Belongs to the eIF-3 subunit D family.
NCBI and Uniprot Product Information
Predicted: 64 kDa
Customer Reviews
Loading reviews...
Share Your Experience
Similar Products
Product Notes
The EIF3D eif3d (Catalog #AAA324721) is an Antibody produced from Rabbit and is intended for research purposes only. The product is available for immediate purchase. The EIF3D Antibody reacts with Human, Mouse and may cross-react with other species as described in the data sheet. AAA Biotech's EIF3D can be used in a range of immunoassay formats including, but not limited to, ELISA, ICC (Immunocytochemistry), IF (Immunofluorescence), IHC (Immunohistochemistry), WB (Western Blot). Researchers should empirically determine the suitability of the EIF3D eif3d for an application not listed in the data sheet. Researchers commonly develop new applications and it is an integral, important part of the investigative research process. It is sometimes possible for the material contained within the vial of "EIF3D, Polyclonal Antibody" to become dispersed throughout the inside of the vial, particularly around the seal of said vial, during shipment and storage. We always suggest centrifuging these vials to consolidate all of the liquid away from the lid and to the bottom of the vial prior to opening. Please be advised that certain products may require dry ice for shipping and that, if this is the case, an additional dry ice fee may also be required.Precautions
All products in the AAA Biotech catalog are strictly for research-use only, and are absolutely not suitable for use in any sort of medical, therapeutic, prophylactic, in-vivo, or diagnostic capacity. By purchasing a product from AAA Biotech, you are explicitly certifying that said products will be properly tested and used in line with industry standard. AAA Biotech and its authorized distribution partners reserve the right to refuse to fulfill any order if we have any indication that a purchaser may be intending to use a product outside of our accepted criteria.Disclaimer
Though we do strive to guarantee the information represented in this datasheet, AAA Biotech cannot be held responsible for any oversights or imprecisions. AAA Biotech reserves the right to adjust any aspect of this datasheet at any time and without notice. It is the responsibility of the customer to inform AAA Biotech of any product performance issues observed or experienced within 30 days of receipt of said product. To see additional details on this or any of our other policies, please see our Terms & Conditions page.Item has been added to Shopping Cart
If you are ready to order, navigate to Shopping Cart and get ready to checkout.
