eIF4A2 Polyclonal Antibody | anti-EIF4A2 antibody
Anti-eIF4A2 Antibody
IHC (Immunohistochemistry)
(Anti- eIF4A2 Picoband antibody, AAA46462, IHC(P)IHC(P): Human Mammary Cancer Tissue)
IHC (Immunohistochemisry)
(Anti- eIF4A2 Picoband antibody, AAA46462, IHC(P)IHC(P): Rat Intestine Tissue)
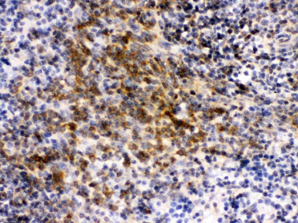
IHC (Immunohiostchemistry)
(Anti- eIF4A2 Picoband antibody, AAA46462, IHC(P)IHC(P): Mouse Spleen Tissue)
WB (Western Blot)
(Anti- eIF4A2 Picoband antibody, AAA46462, Western blottingAll lanes: Anti eIF4A2 (AAA46462) at 0.5ug/mlLane 1: Rat Liver Tissue Lysate at 50ugLane 2: Rat Thymus Tissue Lysate at 50ugLane 3: Rat Kidney Tissue Lysate at 50ugLane 4: HELA Whole Cell Lysate at 40ugLane 5: SGC Whole Cell Lysate at 40ugLane 6: 22RV1 Whole Cell Lysate at 40ugPredicted bind size: 49KDObserved bind size: 49KD)
Background: Eukaryotic initiation factor 4A-II is a protein that in humans is encoded by the EIF4A2 gene. It is mapped to 18p11.2. Eukaryotic initiation factor 4A plays an important role in the binding of mRNA to the 43S preinitiation complex when protein synthesis begins. Two highly homologous forms of functional EIF4A genes, Eif4a1 and Eif4a2, have been isolated in mice; yeast cells also possess 2 EIF4A genes, TIF1 and TIF2. The murine Eif4a and yeast TIF genes appear to belong to a DEAD-box gene family, whose members exhibit extensive amino acid similarity and contain the asp-glu-ala-asp (DEAD) sequence. DEAD-box genes have been identified in species ranging from E-coli to humans. Their function appears to be related to transcriptional/translational regulation.
NCBI and Uniprot Product Information
Customer Reviews
Loading reviews...
Share Your Experience
Similar Products
Product Notes
The EIF4A2 eif4a2 (Catalog #AAA46462) is an Antibody and is intended for research purposes only. The product is available for immediate purchase. The Anti-eIF4A2 Antibody reacts with Human, Mouse, Rat and may cross-react with other species as described in the data sheet. AAA Biotech's eIF4A2 can be used in a range of immunoassay formats including, but not limited to, IHC (Immunohistochemistry), WB (Western Blot). Researchers should empirically determine the suitability of the EIF4A2 eif4a2 for an application not listed in the data sheet. Researchers commonly develop new applications and it is an integral, important part of the investigative research process. It is sometimes possible for the material contained within the vial of "eIF4A2, Polyclonal Antibody" to become dispersed throughout the inside of the vial, particularly around the seal of said vial, during shipment and storage. We always suggest centrifuging these vials to consolidate all of the liquid away from the lid and to the bottom of the vial prior to opening. Please be advised that certain products may require dry ice for shipping and that, if this is the case, an additional dry ice fee may also be required.Precautions
All products in the AAA Biotech catalog are strictly for research-use only, and are absolutely not suitable for use in any sort of medical, therapeutic, prophylactic, in-vivo, or diagnostic capacity. By purchasing a product from AAA Biotech, you are explicitly certifying that said products will be properly tested and used in line with industry standard. AAA Biotech and its authorized distribution partners reserve the right to refuse to fulfill any order if we have any indication that a purchaser may be intending to use a product outside of our accepted criteria.Disclaimer
Though we do strive to guarantee the information represented in this datasheet, AAA Biotech cannot be held responsible for any oversights or imprecisions. AAA Biotech reserves the right to adjust any aspect of this datasheet at any time and without notice. It is the responsibility of the customer to inform AAA Biotech of any product performance issues observed or experienced within 30 days of receipt of said product. To see additional details on this or any of our other policies, please see our Terms & Conditions page.Item has been added to Shopping Cart
If you are ready to order, navigate to Shopping Cart and get ready to checkout.
