Rabbit eIF4G Polyclonal Antibody | anti-eIF4G antibody
Phospho-eIF4G (Ser1147) Antibody
Phosphate buffered saline, pH 7.4, 150mM NaCl, 0.02% sodium azide and 50% glycerol.
WB (Western Blot)
(Western blot analysis of extracts of PC12 cells, using Phospho-eIF4G (Ser1147) Antibody.)
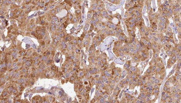
IHC (Immunohistochemistry)
(AAA321325 at 1/100 staining Human thyroid cancer tissue by IHC-P. The sample was formaldehyde fixed and a heat mediated antigen retrieval step in citrate buffer was performed. The sample was then blocked and incubated with the antibody for 1.5 hours at 22 degree C. An HRP conjugated goat anti-rabbit antibody was used as the secondary.)
Subunit Structure: eIF4F is a multi-subunit complex, the composition of which varies with external and internal environmental conditions. It is composed of at least EIF4A, EIF4E (cap-binding) and EIF4G1/EIF4G3. Interacts with eIF3, mutually exclusive with EIF4A1 or EIFA2, EIF4E and through its N-terminus with PAPBC1. Interacts through its C-terminus with the serine/threonine kinases MKNK1, and with MKNK2. Appears to act as a scaffold protein, holding these enzymes in place to phosphorylate EIF4E. Non-phosphorylated EIF4EBP1 competes with EIF4G1/EIF4G3 to interact with EIF4E; insulin stimulated MAP-kinase (MAPK1 and MAPK3) phosphorylation of EIF4EBP1 causes dissociation of the complex allowing EIF4G1/EIF4G3 to bind and consequent initiation of translation. EIF4G1/EIF4G3 interacts with PABPC1 to bring about circularization of the mRNA. Rapamycin can attenuate insulin stimulation mediated by FKBPs. Interacts with EIF4E3. Interacts with CIRBP and MIF4GD. Interacts with rotavirus A NSP3; in this interaction, NSP3 takes the place of PABPC1 thereby inducing shutoff of host protein synthesis. Interacts with RBM4. Interacts with HNRNPD/AUF1; the interaction requires RNA. Interacts with human adenovirus 5 100K protein; this interaction promotes translational shunt in presence of polysomes containing viral tripartite leader mRNAs (PubMed:15314025).
Post-translational Modifications: Phosphorylated at multiple sites in vivo. Phosphorylation at Ser-1185 by PRKCA induces binding to MKNK1.Following infection by certain enteroviruses, rhinoviruses and aphthoviruses, EIF4G1 is cleaved by the viral protease 2A, or the leader protease in the case of aphthoviruses. This shuts down the capped cellular mRNA transcription.
Similarity: Belongs to the eukaryotic initiation factor 4G family.
NCBI and Uniprot Product Information
Predicted: 176 kDa
Customer Reviews
Loading reviews...
Share Your Experience
Similar Products
Product Notes
The eIF4G eif4g1 (Catalog #AAA321325) is an Antibody produced from Rabbit and is intended for research purposes only. The product is available for immediate purchase. The Phospho-eIF4G (Ser1147) Antibody reacts with Human, Mouse, Rat and may cross-react with other species as described in the data sheet. AAA Biotech's eIF4G can be used in a range of immunoassay formats including, but not limited to, IHC (Immunohistochemistry), WB (Western Blot). Researchers should empirically determine the suitability of the eIF4G eif4g1 for an application not listed in the data sheet. Researchers commonly develop new applications and it is an integral, important part of the investigative research process. It is sometimes possible for the material contained within the vial of "eIF4G, Polyclonal Antibody" to become dispersed throughout the inside of the vial, particularly around the seal of said vial, during shipment and storage. We always suggest centrifuging these vials to consolidate all of the liquid away from the lid and to the bottom of the vial prior to opening. Please be advised that certain products may require dry ice for shipping and that, if this is the case, an additional dry ice fee may also be required.Precautions
All products in the AAA Biotech catalog are strictly for research-use only, and are absolutely not suitable for use in any sort of medical, therapeutic, prophylactic, in-vivo, or diagnostic capacity. By purchasing a product from AAA Biotech, you are explicitly certifying that said products will be properly tested and used in line with industry standard. AAA Biotech and its authorized distribution partners reserve the right to refuse to fulfill any order if we have any indication that a purchaser may be intending to use a product outside of our accepted criteria.Disclaimer
Though we do strive to guarantee the information represented in this datasheet, AAA Biotech cannot be held responsible for any oversights or imprecisions. AAA Biotech reserves the right to adjust any aspect of this datasheet at any time and without notice. It is the responsibility of the customer to inform AAA Biotech of any product performance issues observed or experienced within 30 days of receipt of said product. To see additional details on this or any of our other policies, please see our Terms & Conditions page.Item has been added to Shopping Cart
If you are ready to order, navigate to Shopping Cart and get ready to checkout.
