Rabbit EMR2 Polyclonal Antibody | anti-EMR2 antibody
Rabbit Polyclonal to Human EMR2
Gene Names
EMR2; CD312
Reactivity
HumanPredicted Reactivity: Gorilla (at least 90% immunogen sequence identity)
Applications
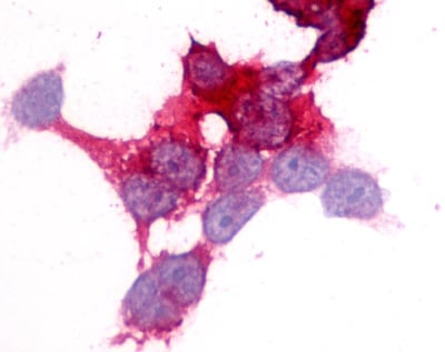
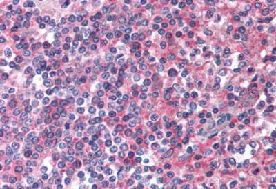
ELISA, Immunocytochemistry, Immunohistochemistry
Purity
Immunoaffinity Purified
Synonyms
EMR2, Antibody; Rabbit Polyclonal to Human EMR2; Anti-EMR2 Antibody (N-Terminus) IHC-plus; EMR2; CD312 antigen; EGF-like module receptor 2; CD312; Human EMR2; anti-EMR2 antibody
Host
Rabbit
Reactivity
Human
Predicted Reactivity: Gorilla (at least 90% immunogen sequence identity)
Predicted Reactivity: Gorilla (at least 90% immunogen sequence identity)
Clonality
Polyclonal
Specificity
Human EMR2. BLAST analysis of the peptide immunogen showed no homology with other human proteins, except MYO18B (45%), FLJ13231 (40%).
Purity/Purification
Immunoaffinity Purified
Form/Format
PBS, 0.1% sodium azide.
Concentration
1 mg/ml (varies by lot)
Sequence Length
823
Applicable Applications for anti-EMR2 antibody
ELISA, ICC (Immunocytochemistry), IHC (Immunohistochemistry)
Target Species
Human
Immunogen Description
Synthetic 20 amino acid peptide from N-terminal extracellular domain of human EMR2. Percent identity with other species by BLAST analysis: Human (100%); Gorilla (90%).
Immunogen Type
Synthetic peptide
Immunogen
EMR2 antibody was raised against synthetic 20 amino acid peptide from N-terminal extracellular domain of human EMR2. Percent identity with other species by BLAST analysis: Human (100%); Gorilla (90%).
Antigen Modification
N-Terminus
Preparation and Storage
Long term: -70 degree C; Short term: +4 degree C
Related Product Information for anti-EMR2 antibody
EMR2 is an Orphan-B GPCR with an unknown ligand. EMR2 has five EGF-like domains in the extracellular domain and is highly homologous to CD97. Multiple isoforms of EMR2 are produced by alternative splicing.
Product Categories/Family for anti-EMR2 antibody
NCBI and Uniprot Product Information
NCBI GI #
NCBI GeneID
NCBI Accession #
NCBI GenBank Nucleotide #
Molecular Weight
84,079 Da
NCBI Official Full Name
EGF-like module-containing mucin-like hormone receptor-like 2 isoform a
NCBI Official Synonym Full Names
egf-like module containing, mucin-like, hormone receptor-like 2
NCBI Official Symbol
EMR2
NCBI Official Synonym Symbols
CD312
NCBI Protein Information
EGF-like module-containing mucin-like hormone receptor-like 2
UniProt Protein Name
EGF-like module-containing mucin-like hormone receptor-like 2
UniProt Gene Name
EMR2
UniProt Entry Name
EMR2_HUMAN
Customer Reviews
Loading reviews...
Share Your Experience
Similar Products
Product Notes
The EMR2 emr2 (Catalog #AAA51039) is an Antibody produced from Rabbit and is intended for research purposes only. The product is available for immediate purchase. The Rabbit Polyclonal to Human EMR2 reacts with Human Predicted Reactivity: Gorilla (at least 90% immunogen sequence identity) and may cross-react with other species as described in the data sheet. AAA Biotech's EMR2 can be used in a range of immunoassay formats including, but not limited to, ELISA, ICC (Immunocytochemistry), IHC (Immunohistochemistry). Researchers should empirically determine the suitability of the EMR2 emr2 for an application not listed in the data sheet. Researchers commonly develop new applications and it is an integral, important part of the investigative research process. It is sometimes possible for the material contained within the vial of "EMR2, Polyclonal Antibody" to become dispersed throughout the inside of the vial, particularly around the seal of said vial, during shipment and storage. We always suggest centrifuging these vials to consolidate all of the liquid away from the lid and to the bottom of the vial prior to opening. Please be advised that certain products may require dry ice for shipping and that, if this is the case, an additional dry ice fee may also be required.Precautions
All products in the AAA Biotech catalog are strictly for research-use only, and are absolutely not suitable for use in any sort of medical, therapeutic, prophylactic, in-vivo, or diagnostic capacity. By purchasing a product from AAA Biotech, you are explicitly certifying that said products will be properly tested and used in line with industry standard. AAA Biotech and its authorized distribution partners reserve the right to refuse to fulfill any order if we have any indication that a purchaser may be intending to use a product outside of our accepted criteria.Disclaimer
Though we do strive to guarantee the information represented in this datasheet, AAA Biotech cannot be held responsible for any oversights or imprecisions. AAA Biotech reserves the right to adjust any aspect of this datasheet at any time and without notice. It is the responsibility of the customer to inform AAA Biotech of any product performance issues observed or experienced within 30 days of receipt of said product. To see additional details on this or any of our other policies, please see our Terms & Conditions page.Item has been added to Shopping Cart
If you are ready to order, navigate to Shopping Cart and get ready to checkout.
