Rabbit anti-Human Endothelin-converting enzyme 2 Polyclonal Antibody | anti-ECE2 antibody
Rabbit anti-human Endothelin-converting enzyme 2 polyclonal Antibody(ECE2)
Reactivity
Human
Applications
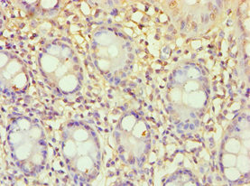
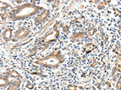
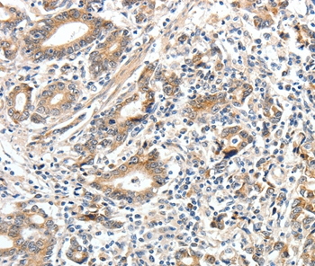
Immunohistochemistry, ELISA
Purity
Antigen Affinity Purified
Synonyms
Endothelin-converting enzyme 2, Antibody; Rabbit anti-human Endothelin-converting enzyme 2 polyclonal Antibody(ECE2); ECE-2; ECE2; anti-ECE2 antibody
Host
Rabbit
Reactivity
Human
Clonality
Polyclonal
Isotype
IgG
Purity/Purification
Antigen Affinity Purified
Sequence Length
736
Applicable Applications for anti-ECE2 antibody
IHC (Immunohistochemistry), ELISA
Storage Buffer
PBS with 0.02% sodium azide, 50% glycerol, pH7.3.
Conjugate
Non-conjugated
Immunogen
Recombinant human Endothelin-converting enzyme 2 protein(1-160aa)
Preparation and Storage
Shipped at 4 degree C. Upon delivery aliquot and store at -20 degree C or -80 degree C. Avoid repeated freeze.
Related Product Information for anti-ECE2 antibody
Converts big endothelin-1 to endothelin-1. Also involved in the processing of various neuroendocrine peptides, including neurotensin, angiotensin I, substance P, proenkephalin-derived peptides, and prodynorphin-derived peptides. May limit beta-amyloid peptide accumulation in brain. May also have methyltransferase activity.
NCBI and Uniprot Product Information
NCBI GI #
NCBI GeneID
NCBI Accession #
NCBI GenBank Nucleotide #
Molecular Weight
91,211 Da
NCBI Official Full Name
endothelin-converting enzyme 2 isoform B
NCBI Official Synonym Full Names
endothelin converting enzyme 2
NCBI Official Symbol
ECE2
NCBI Protein Information
endothelin-converting enzyme 2
UniProt Protein Name
Endothelin-converting enzyme 2
UniProt Gene Name
ECE2
UniProt Synonym Gene Names
KIAA0604; ECE-2
UniProt Entry Name
ECE2_HUMAN
Customer Reviews
Loading reviews...
Share Your Experience
Similar Products
Product Notes
The ECE2 ece2 (Catalog #AAA118382) is an Antibody produced from Rabbit and is intended for research purposes only. The product is available for immediate purchase. The Rabbit anti-human Endothelin-converting enzyme 2 polyclonal Antibody(ECE2) reacts with Human and may cross-react with other species as described in the data sheet. AAA Biotech's Endothelin-converting enzyme 2 can be used in a range of immunoassay formats including, but not limited to, IHC (Immunohistochemistry), ELISA. Researchers should empirically determine the suitability of the ECE2 ece2 for an application not listed in the data sheet. Researchers commonly develop new applications and it is an integral, important part of the investigative research process. It is sometimes possible for the material contained within the vial of "Endothelin-converting enzyme 2, Polyclonal Antibody" to become dispersed throughout the inside of the vial, particularly around the seal of said vial, during shipment and storage. We always suggest centrifuging these vials to consolidate all of the liquid away from the lid and to the bottom of the vial prior to opening. Please be advised that certain products may require dry ice for shipping and that, if this is the case, an additional dry ice fee may also be required.Precautions
All products in the AAA Biotech catalog are strictly for research-use only, and are absolutely not suitable for use in any sort of medical, therapeutic, prophylactic, in-vivo, or diagnostic capacity. By purchasing a product from AAA Biotech, you are explicitly certifying that said products will be properly tested and used in line with industry standard. AAA Biotech and its authorized distribution partners reserve the right to refuse to fulfill any order if we have any indication that a purchaser may be intending to use a product outside of our accepted criteria.Disclaimer
Though we do strive to guarantee the information represented in this datasheet, AAA Biotech cannot be held responsible for any oversights or imprecisions. AAA Biotech reserves the right to adjust any aspect of this datasheet at any time and without notice. It is the responsibility of the customer to inform AAA Biotech of any product performance issues observed or experienced within 30 days of receipt of said product. To see additional details on this or any of our other policies, please see our Terms & Conditions page.Item has been added to Shopping Cart
If you are ready to order, navigate to Shopping Cart and get ready to checkout.
