Rabbit anti-Human ENG Polyclonal Antibody | anti-ENG antibody
ENG Antibody
Phosphate buffered saline, pH 7.4, 150mM NaCl, 0.02% sodium azide and 50% glycerol.
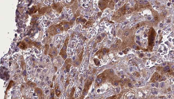
IHC (Immunohiostchemistry)
(AAA327130 at 1/100 staining Human liver cancer tissue by IHC-P. The sample was formaldehyde fixed and a heat mediated antigen retrieval step in citrate buffer was performed. The sample was then blocked and incubated with the antibody for 1.5 hours at 22 degree C. An HRP conjugated goat anti-rabbit antibody was used as the secondary.)
WB (Western Blot)
(Western blot analysis of MCF7 cell lysate, using ENG Antibody. The lane on the left is treated with the antigen-specific peptide.)
Function: Vascular endothelium glycoprotein that plays an important role in the regulation of angiogenesis (PubMed:21737454, PubMed:23300529). Required for normal structure and integrity of adult vasculature (PubMed:7894484). Regulates the migration of vascular endothelial cells (PubMed:17540773). Required for normal extraembryonic angiogenesis and for embryonic heart development (By similarity). May play a critical role in the binding of endothelial cells to integrins and/or other RGD receptors (PubMed:1692830). Acts as TGF-beta coreceptor and is involved in the TGF-beta/BMP signaling cascade that ultimately leads to the activation of SMAD transcription factors (PubMed:8370410, PubMed:21737454, PubMed:22347366, PubMed:23300529). Required for GDF2/BMP9 signaling through SMAD1 in endothelial cells and modulates TGFB1 signaling through SMAD3 (PubMed:21737454, PubMed:22347366, PubMed:23300529).
Subunit Structure: Homodimer; disulfide-linked (PubMed:8370410, PubMed:1326540, PubMed:21737454, PubMed:22347366, PubMed:28564608). Forms a heteromeric complex with the signaling receptors for transforming growth factor-beta: TGFBR1 and/or TGFBR2 (PubMed:1326540). It is able to bind TGFB1 and TGFB2 with high affinity, but not TGFB3 (PubMed:8370410, PubMed:1326540). Interacts with GDF2, forming a heterotetramer with a 2:2 stoichiometry (PubMed:21737454, PubMed:22347366, PubMed:28564608). Interacts with ACVRL1 (PubMed:22347366, PubMed:28564608). Can form a heteromeric complex with GDF2 and ACVRL1 (PubMed:28564608). Interacts with BMP10 (PubMed:21737454). Interacts with TCTEX1D4 (PubMed:16982625). Interacts with ARRB2 (PubMed:17540773).
Similarity: The ZP domain mediates dimerization.The N-terminal OR region is composed of two intertwined domains (OR1 and OR2) with a common, novel fold. Each contains 12 beta-strands that form a parallel beta-helix-like structure, plus a single alpha-helix. The OR1 region mediates interaction with GDF2.
NCBI and Uniprot Product Information
Predicted: 71 kDa
Customer Reviews
Loading reviews...
Share Your Experience
Similar Products
Product Notes
The ENG eng (Catalog #AAA327130) is an Antibody produced from Rabbit and is intended for research purposes only. The product is available for immediate purchase. The ENG Antibody reacts with Human and may cross-react with other species as described in the data sheet. AAA Biotech's ENG can be used in a range of immunoassay formats including, but not limited to, ELISA, IHC (Immunohistochemistry), WB (Western Blot). Researchers should empirically determine the suitability of the ENG eng for an application not listed in the data sheet. Researchers commonly develop new applications and it is an integral, important part of the investigative research process. It is sometimes possible for the material contained within the vial of "ENG, Polyclonal Antibody" to become dispersed throughout the inside of the vial, particularly around the seal of said vial, during shipment and storage. We always suggest centrifuging these vials to consolidate all of the liquid away from the lid and to the bottom of the vial prior to opening. Please be advised that certain products may require dry ice for shipping and that, if this is the case, an additional dry ice fee may also be required.Precautions
All products in the AAA Biotech catalog are strictly for research-use only, and are absolutely not suitable for use in any sort of medical, therapeutic, prophylactic, in-vivo, or diagnostic capacity. By purchasing a product from AAA Biotech, you are explicitly certifying that said products will be properly tested and used in line with industry standard. AAA Biotech and its authorized distribution partners reserve the right to refuse to fulfill any order if we have any indication that a purchaser may be intending to use a product outside of our accepted criteria.Disclaimer
Though we do strive to guarantee the information represented in this datasheet, AAA Biotech cannot be held responsible for any oversights or imprecisions. AAA Biotech reserves the right to adjust any aspect of this datasheet at any time and without notice. It is the responsibility of the customer to inform AAA Biotech of any product performance issues observed or experienced within 30 days of receipt of said product. To see additional details on this or any of our other policies, please see our Terms & Conditions page.Item has been added to Shopping Cart
If you are ready to order, navigate to Shopping Cart and get ready to checkout.
