Rabbit anti-Human EPS8 Polyclonal Antibody | anti-EPS8 antibody
EPS8 antibody
Gene Names
EPS8; DFNB102
Reactivity
Human
Applications
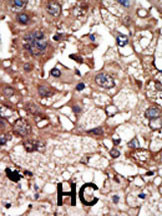
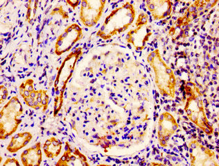
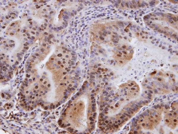
Immunohistochemistry, Western Blot
Purity
Purified by antigen-affinity chromatography.
Synonyms
EPS8, Antibody; EPS8 antibody; anti-EPS8 antibody
Host
Rabbit
Reactivity
Human
Clonality
Polyclonal
Purity/Purification
Purified by antigen-affinity chromatography.
Form/Format
Supplied in 1XPBS, 1%BSA, 20% Glycerol (pH7.0). 0.01% Thimerosal was added as a preservative.
Sequence Length
822
Applicable Applications for anti-EPS8 antibody
IHC (Immunohistochemistry), WB (Western Blot)
Immunogen Type
Peptide
Immunogen Description
Synthetic peptide contain a sequence corresponding to a region within amino acids 761 and 822 of EPS8
Target Name
EPS8
Preparation and Storage
Store at -20 degree C for long term preservation (recommended). Store at 4 degree C for short term use.
Related Product Information for anti-EPS8 antibody
This gene encodes a member of the EPS8 family. This protein contains one PH domain and one SH3 domain. It functions as part of the EGFR pathway, though its exact role has not been determined. Highly similar proteins in other organisms are involved in the transduction of signals from Ras to Rac and growth factor-mediated actin remodeling. Alternate transcriptional splice variants of this gene have been observed but have not been thoroughly characterized. [provided by RefSeq]
Product Categories/Family for anti-EPS8 antibody
NCBI and Uniprot Product Information
NCBI GI #
NCBI GeneID
NCBI Accession #
NCBI GenBank Nucleotide #
Molecular Weight
62,871 Da
NCBI Official Full Name
epidermal growth factor receptor kinase substrate 8
NCBI Official Synonym Full Names
epidermal growth factor receptor pathway substrate 8
NCBI Official Symbol
EPS8
NCBI Official Synonym Symbols
DFNB102
NCBI Protein Information
epidermal growth factor receptor kinase substrate 8
UniProt Protein Name
Epidermal growth factor receptor kinase substrate 8
UniProt Gene Name
EPS8
UniProt Entry Name
EPS8_HUMAN
Customer Reviews
Loading reviews...
Share Your Experience
Similar Products
Product Notes
The EPS8 eps8 (Catalog #AAA305010) is an Antibody produced from Rabbit and is intended for research purposes only. The product is available for immediate purchase. The EPS8 antibody reacts with Human and may cross-react with other species as described in the data sheet. AAA Biotech's EPS8 can be used in a range of immunoassay formats including, but not limited to, IHC (Immunohistochemistry), WB (Western Blot). Researchers should empirically determine the suitability of the EPS8 eps8 for an application not listed in the data sheet. Researchers commonly develop new applications and it is an integral, important part of the investigative research process. It is sometimes possible for the material contained within the vial of "EPS8, Polyclonal Antibody" to become dispersed throughout the inside of the vial, particularly around the seal of said vial, during shipment and storage. We always suggest centrifuging these vials to consolidate all of the liquid away from the lid and to the bottom of the vial prior to opening. Please be advised that certain products may require dry ice for shipping and that, if this is the case, an additional dry ice fee may also be required.Precautions
All products in the AAA Biotech catalog are strictly for research-use only, and are absolutely not suitable for use in any sort of medical, therapeutic, prophylactic, in-vivo, or diagnostic capacity. By purchasing a product from AAA Biotech, you are explicitly certifying that said products will be properly tested and used in line with industry standard. AAA Biotech and its authorized distribution partners reserve the right to refuse to fulfill any order if we have any indication that a purchaser may be intending to use a product outside of our accepted criteria.Disclaimer
Though we do strive to guarantee the information represented in this datasheet, AAA Biotech cannot be held responsible for any oversights or imprecisions. AAA Biotech reserves the right to adjust any aspect of this datasheet at any time and without notice. It is the responsibility of the customer to inform AAA Biotech of any product performance issues observed or experienced within 30 days of receipt of said product. To see additional details on this or any of our other policies, please see our Terms & Conditions page.Item has been added to Shopping Cart
If you are ready to order, navigate to Shopping Cart and get ready to checkout.
