Rabbit anti-Human ERCC6L Polyclonal Antibody | anti-ERCC6L antibody
ERCC6L Antibody
Gene Names
ERCC6L; PICH; RAD26L
Reactivity
Human
Applications
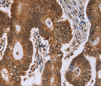
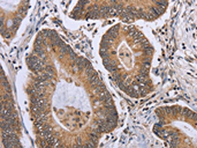
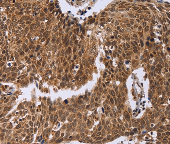
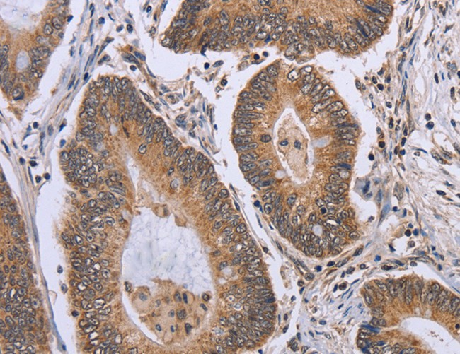
Immunohistochemistry
Purity
Antigen affinity purification.
Synonyms
ERCC6L, Antibody; ERCC6L Antibody; PICH; RAD26L; anti-ERCC6L antibody
Host
Rabbit
Reactivity
Human
Clonality
Polyclonal
Specificity
The antibody detects endogenous levels of total ERCC6L protein.
Purity/Purification
Antigen affinity purification.
Form/Format
Rabbit IgG in pH7.3 PBS, 0.05% NaN3, 50% Glycerol.
Concentration
1.2 mg/ml (varies by lot)
Sequence Length
1250
Applicable Applications for anti-ERCC6L antibody
IHC (Immunohistochemistry)
Immunogen Type
Recombinant Protein
Immunogen Description
Fusion protein corresponding to residues near the C terminal of human excision repair cross-complementation group 6-like
Target Name
ERCC6L
Preparation and Storage
Store at -20 degree C
Related Product Information for anti-ERCC6L antibody
PICH (Plk1-interacting checkpoint helicase), also known as DNA excision repair protein ERCC-6-like (ERCC6L) or tumor antigen BJ-HCC-15, is a 1,250 amino acid protein belonging to the SNF2/RAD54 helicase family. PICH is a DNA helicase and an essential component of the spindle assembly checkpoint. During mitosis, PICH recruits MAD2 to kinetochores and also regulates the tension on centromic chromatin. PICH is concentrated in between the kinetochores in prometophase cells, while in metaphase it localizes to the thin threads composed of catenated centromeric DNA that stretch between sister kinetochores. PICH is phosphorylated by Plk, which prevents PICH from associating with chromosome arms and restricts the localization of PICH to the kinetochore-centromere region. PICH/Plk interaction is also required for correct Plk localization to the kinetochore. PICH contains one helicase ATP-binding domain, two TPR repeats and one helicase C-terminal domain.
Product Categories/Family for anti-ERCC6L antibody
NCBI and Uniprot Product Information
NCBI GI #
NCBI GeneID
NCBI Accession #
NCBI GenBank Nucleotide #
Molecular Weight
141,103 Da
NCBI Official Full Name
DNA excision repair protein ERCC-6-like
NCBI Official Synonym Full Names
excision repair cross-complementation group 6-like
NCBI Official Symbol
ERCC6L
NCBI Official Synonym Symbols
PICH; RAD26L
NCBI Protein Information
DNA excision repair protein ERCC-6-like
UniProt Protein Name
DNA excision repair protein ERCC-6-like
UniProt Gene Name
ERCC6L
UniProt Synonym Gene Names
PICH
UniProt Entry Name
ERC6L_HUMAN
Customer Reviews
Loading reviews...
Share Your Experience
Similar Products
Product Notes
The ERCC6L ercc6l (Catalog #AAA304815) is an Antibody produced from Rabbit and is intended for research purposes only. The product is available for immediate purchase. The ERCC6L Antibody reacts with Human and may cross-react with other species as described in the data sheet. AAA Biotech's ERCC6L can be used in a range of immunoassay formats including, but not limited to, IHC (Immunohistochemistry). Researchers should empirically determine the suitability of the ERCC6L ercc6l for an application not listed in the data sheet. Researchers commonly develop new applications and it is an integral, important part of the investigative research process. It is sometimes possible for the material contained within the vial of "ERCC6L, Polyclonal Antibody" to become dispersed throughout the inside of the vial, particularly around the seal of said vial, during shipment and storage. We always suggest centrifuging these vials to consolidate all of the liquid away from the lid and to the bottom of the vial prior to opening. Please be advised that certain products may require dry ice for shipping and that, if this is the case, an additional dry ice fee may also be required.Precautions
All products in the AAA Biotech catalog are strictly for research-use only, and are absolutely not suitable for use in any sort of medical, therapeutic, prophylactic, in-vivo, or diagnostic capacity. By purchasing a product from AAA Biotech, you are explicitly certifying that said products will be properly tested and used in line with industry standard. AAA Biotech and its authorized distribution partners reserve the right to refuse to fulfill any order if we have any indication that a purchaser may be intending to use a product outside of our accepted criteria.Disclaimer
Though we do strive to guarantee the information represented in this datasheet, AAA Biotech cannot be held responsible for any oversights or imprecisions. AAA Biotech reserves the right to adjust any aspect of this datasheet at any time and without notice. It is the responsibility of the customer to inform AAA Biotech of any product performance issues observed or experienced within 30 days of receipt of said product. To see additional details on this or any of our other policies, please see our Terms & Conditions page.Item has been added to Shopping Cart
If you are ready to order, navigate to Shopping Cart and get ready to checkout.
