Rabbit ETF1 Polyclonal Antibody | anti-ETF1 antibody
ETF1 Polyclonal Antibody
Gene Names
ETF1; ERF; RF1; ERF1; TB3-1; D5S1995; SUP45L1
Reactivity
Human, Mouse, Rat
Applications
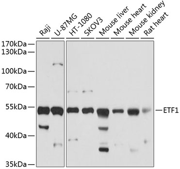
Immunofluorescence, Western Blot
Purity
Affinity purification
Synonyms
ETF1, Antibody; ETF1 Polyclonal Antibody; ETF1; D5S1995; ERF; ERF1; RF1; SUP45L1; TB3-1; eukaryotic translation termination factor 1; anti-ETF1 antibody
Host
Rabbit
Reactivity
Human, Mouse, Rat
Clonality
Polyclonal
Isotype
IgG
Purity/Purification
Affinity purification
Form/Format
PBS with 50% glycerol, pH7.4
Applicable Applications for anti-ETF1 antibody
IF (Immunofluorescence), WB (Western Blot)
Immunogen
Recombinant fusion protein of human ETF1 (NP_004721.1).
Conjugation
Unconjugated
Preparation and Storage
Store at -20 degree C. Avoid freeze/thaw cycles.
Related Product Information for anti-ETF1 antibody
This gene encodes a class-1 polypeptide chain release factor. The encoded protein plays an essential role in directing termination of mRNA translation from the termination codons UAA, UAG and UGA. This protein is a component of the SURF complex which promotes degradation of prematurely terminated mRNAs via the mechanism of nonsense-mediated mRNA decay (NMD). Alternate splicing results in multiple transcript variants. Pseudogenes of this gene are found on chromosomes 6, 7, and X.
Product Categories/Family for anti-ETF1 antibody
NCBI and Uniprot Product Information
NCBI GI #
NCBI GeneID
NCBI Accession #
NCBI GenBank Nucleotide #
Molecular Weight
49,031 Da
NCBI Official Full Name
eukaryotic peptide chain release factor subunit 1 isoform 1
NCBI Official Synonym Full Names
eukaryotic translation termination factor 1
NCBI Official Symbol
ETF1
NCBI Official Synonym Symbols
ERF; RF1; ERF1; TB3-1; D5S1995; SUP45L1
NCBI Protein Information
eukaryotic peptide chain release factor subunit 1; protein Cl1; polypeptide chain release factor 1; sup45 (yeast omnipotent suppressor 45) homolog-like 1
UniProt Protein Name
Eukaryotic peptide chain release factor subunit 1
UniProt Gene Name
ETF1
UniProt Synonym Gene Names
ERF1; RF1; SUP45L1; Eukaryotic release factor 1; eRF1
UniProt Entry Name
ERF1_HUMAN
Customer Reviews
Loading reviews...
Share Your Experience
Similar Products
Product Notes
The ETF1 etf1 (Catalog #AAA311398) is an Antibody produced from Rabbit and is intended for research purposes only. The product is available for immediate purchase. The ETF1 Polyclonal Antibody reacts with Human, Mouse, Rat and may cross-react with other species as described in the data sheet. AAA Biotech's ETF1 can be used in a range of immunoassay formats including, but not limited to, IF (Immunofluorescence), WB (Western Blot). Researchers should empirically determine the suitability of the ETF1 etf1 for an application not listed in the data sheet. Researchers commonly develop new applications and it is an integral, important part of the investigative research process. It is sometimes possible for the material contained within the vial of "ETF1, Polyclonal Antibody" to become dispersed throughout the inside of the vial, particularly around the seal of said vial, during shipment and storage. We always suggest centrifuging these vials to consolidate all of the liquid away from the lid and to the bottom of the vial prior to opening. Please be advised that certain products may require dry ice for shipping and that, if this is the case, an additional dry ice fee may also be required.Precautions
All products in the AAA Biotech catalog are strictly for research-use only, and are absolutely not suitable for use in any sort of medical, therapeutic, prophylactic, in-vivo, or diagnostic capacity. By purchasing a product from AAA Biotech, you are explicitly certifying that said products will be properly tested and used in line with industry standard. AAA Biotech and its authorized distribution partners reserve the right to refuse to fulfill any order if we have any indication that a purchaser may be intending to use a product outside of our accepted criteria.Disclaimer
Though we do strive to guarantee the information represented in this datasheet, AAA Biotech cannot be held responsible for any oversights or imprecisions. AAA Biotech reserves the right to adjust any aspect of this datasheet at any time and without notice. It is the responsibility of the customer to inform AAA Biotech of any product performance issues observed or experienced within 30 days of receipt of said product. To see additional details on this or any of our other policies, please see our Terms & Conditions page.Item has been added to Shopping Cart
If you are ready to order, navigate to Shopping Cart and get ready to checkout.
