Rabbit EVER1 Polyclonal Antibody | anti-EVER1 antibody
EVER1 Antibody
Reactivity
Human, Mouse, Rat
Applications
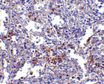
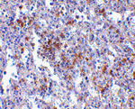
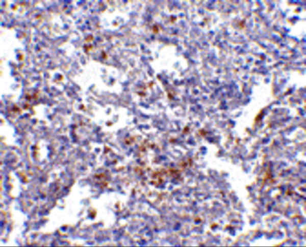
Immunohistochemistry, Western Blot, ELISA
Purity
Affinity chromatography purified via peptide column
Synonyms
EVER1, Antibody; EVER1 Antibody; EV1, EVIN1, Transmembrane protein channel-like protein 6, TMC6; anti-EVER1 antibody
Host
Rabbit
Reactivity
Human, Mouse, Rat
Clonality
Polyclonal
Specificity
At least four isoforms of EVER1 are known to exist. This EVER1 antibody does not cross-react with EVER2.
Purity/Purification
Affinity chromatography purified via peptide column
Form/Format
Supplied in PBS containing 0.02% sodium azide.
Sequence Length
805
Applicable Applications for anti-EVER1 antibody
IHC (Immunohistochemistry), WB (Western Blot), ELISA
Immunogen Type
Peptide
Immunogen Description
Raised against a 14 amino acid peptide from near the amino terminus of human EVER1.
Target Name
EVER1
Preparation and Storage
Can be stored at -20 degree C, stable for one year. As with all antibodies care should be taken to avoid repeated freeze thaw cycles. Antibodies should not be exposed to prolonged high temperatures.
Related Product Information for anti-EVER1 antibody
Epidermodysplasia verruciformis (EV) is an autosomal recessive dermatosis characterized by abnormal susceptibility to human papillomaviruses (HPVs) and a high rate of progression to squamous cell carcinoma on sun-exposed skin. EV is caused by mutations in either of two adjacent genes, EVER1 and EVER2, located on chromosome 17q25.3. Both of these genes encode integral membrane proteins that localize to the endoplasmic reticulum and are predicted to form transmembrane channels. Both EVER1 and EVER2 are members of the transmembrane channel-like (TMC) protein family. EVER1 possesses eight trans-membrane domains and two leucine zipper motifs. EVER1 and EVER2 form a complex and interact with the zinc transporter 1 (ZnT-1), suggesting that EVER1 and EVER2 act to regulate cellular zinc balance.
Product Categories/Family for anti-EVER1 antibody
NCBI and Uniprot Product Information
NCBI GI #
Molecular Weight
32,485 Da
NCBI Official Full Name
large EVER1 protein
UniProt Protein Name
Transmembrane channel-like protein 6
UniProt Gene Name
TMC6
UniProt Synonym Gene Names
EVER1; EVIN1
UniProt Entry Name
TMC6_HUMAN
Customer Reviews
Loading reviews...
Share Your Experience
Similar Products
Product Notes
The EVER1 tmc6 (Catalog #AAA306517) is an Antibody produced from Rabbit and is intended for research purposes only. The product is available for immediate purchase. The EVER1 Antibody reacts with Human, Mouse, Rat and may cross-react with other species as described in the data sheet. AAA Biotech's EVER1 can be used in a range of immunoassay formats including, but not limited to, IHC (Immunohistochemistry), WB (Western Blot), ELISA. Researchers should empirically determine the suitability of the EVER1 tmc6 for an application not listed in the data sheet. Researchers commonly develop new applications and it is an integral, important part of the investigative research process. It is sometimes possible for the material contained within the vial of "EVER1, Polyclonal Antibody" to become dispersed throughout the inside of the vial, particularly around the seal of said vial, during shipment and storage. We always suggest centrifuging these vials to consolidate all of the liquid away from the lid and to the bottom of the vial prior to opening. Please be advised that certain products may require dry ice for shipping and that, if this is the case, an additional dry ice fee may also be required.Precautions
All products in the AAA Biotech catalog are strictly for research-use only, and are absolutely not suitable for use in any sort of medical, therapeutic, prophylactic, in-vivo, or diagnostic capacity. By purchasing a product from AAA Biotech, you are explicitly certifying that said products will be properly tested and used in line with industry standard. AAA Biotech and its authorized distribution partners reserve the right to refuse to fulfill any order if we have any indication that a purchaser may be intending to use a product outside of our accepted criteria.Disclaimer
Though we do strive to guarantee the information represented in this datasheet, AAA Biotech cannot be held responsible for any oversights or imprecisions. AAA Biotech reserves the right to adjust any aspect of this datasheet at any time and without notice. It is the responsibility of the customer to inform AAA Biotech of any product performance issues observed or experienced within 30 days of receipt of said product. To see additional details on this or any of our other policies, please see our Terms & Conditions page.Item has been added to Shopping Cart
If you are ready to order, navigate to Shopping Cart and get ready to checkout.
