Rabbit F2 Polyclonal Antibody | anti-F2 antibody
F2 antibody - middle region
WB (Western Blot)
(WB Suggested Anti-F2 AntibodyTitration: 1 ug/mlPositive Control: 721_B cell lysate)
WB (Western Blot)
(Host: RabbitTarget Name: F2Sample Tissue: Human 786-0 Whole CellAntibody Dilution: 1ug/ml)
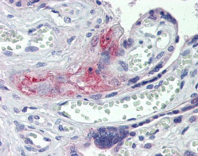
IHC (Immunohistochemisry)
(Rabbit Anti-F2 AntibodyParaffin Embedded Tissue: Human PlacentaAntibody Concentration: 5 ug/ml)
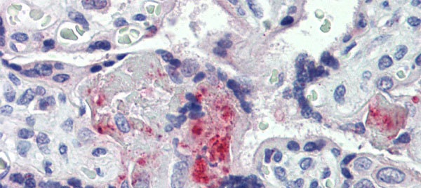
IHC (Immunohiostchemistry)
(Sample Type: Human PlacentaAnti-F2 / Thrombin antibody IHC staining of human placenta. Immunohistochemistry of formalin-fixed, paraffin-embedded tissue after heat-induced antigen retrieval. Antibody concentration 5 ug/ml.)
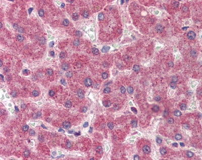
IHC (Immunohistochemistry)
(Sample Type: Human LiverAnti-F2 / Thrombin antibody IHC staining of human liver. Immunohistochemistry of formalin-fixed, paraffin-embedded tissue after heat-induced antigen retrieval. Antibody concentration 5 ug/ml.)
Target Description: Coagulation factor II is proteolytically cleaved to form thrombin in the first step of the coagulation cascade which ultimately results in the stemming of blood loss. F2 also plays a role in maintaining vascular integrity during development and postnatal life.Coagulation factor II is proteolytically cleaved to form thrombin in the first step of the coagulation cascade which ultimately results in the stemming of blood loss. F2 also plays a role in maintaining vascular integrity during development and postnatal life. Mutations in F2 leads to various forms of thrombosis and dysprothrombinemia. Publication Note: This RefSeq record includes a subset of the publications that are available for this gene. Please see the Entrez Gene record to access additional publications.
NCBI and Uniprot Product Information
Customer Reviews
Loading reviews...
Share Your Experience
Similar Products
Product Notes
The F2 f2 (Catalog #AAA198986) is an Antibody produced from Rabbit and is intended for research purposes only. The product is available for immediate purchase. The F2 antibody - middle region reacts with Cow, Dog, Guinea Pig, Horse, Human, Mouse, Rat, Sheep, Zebrafish and may cross-react with other species as described in the data sheet. AAA Biotech's F2 can be used in a range of immunoassay formats including, but not limited to, WB (Western Blot), IHC (Immunohistochemistry). Researchers should empirically determine the suitability of the F2 f2 for an application not listed in the data sheet. Researchers commonly develop new applications and it is an integral, important part of the investigative research process. The amino acid sequence is listed below: Synthetic peptide located within the following region: ISDRWVLTAA HCLLYPPWDK NFTENDLLVR IGKHSRTRYE RNIEKISMLE. It is sometimes possible for the material contained within the vial of "F2, Polyclonal Antibody" to become dispersed throughout the inside of the vial, particularly around the seal of said vial, during shipment and storage. We always suggest centrifuging these vials to consolidate all of the liquid away from the lid and to the bottom of the vial prior to opening. Please be advised that certain products may require dry ice for shipping and that, if this is the case, an additional dry ice fee may also be required.Precautions
All products in the AAA Biotech catalog are strictly for research-use only, and are absolutely not suitable for use in any sort of medical, therapeutic, prophylactic, in-vivo, or diagnostic capacity. By purchasing a product from AAA Biotech, you are explicitly certifying that said products will be properly tested and used in line with industry standard. AAA Biotech and its authorized distribution partners reserve the right to refuse to fulfill any order if we have any indication that a purchaser may be intending to use a product outside of our accepted criteria.Disclaimer
Though we do strive to guarantee the information represented in this datasheet, AAA Biotech cannot be held responsible for any oversights or imprecisions. AAA Biotech reserves the right to adjust any aspect of this datasheet at any time and without notice. It is the responsibility of the customer to inform AAA Biotech of any product performance issues observed or experienced within 30 days of receipt of said product. To see additional details on this or any of our other policies, please see our Terms & Conditions page.Item has been added to Shopping Cart
If you are ready to order, navigate to Shopping Cart and get ready to checkout.
