Rabbit F9 Polyclonal Antibody | anti-F9 antibody
F9 Polyclonal Antibody
Gene Names
F9; FIX; P19; PTC; HEMB; THPH8
Reactivity
Human, Mouse, Rat
Applications
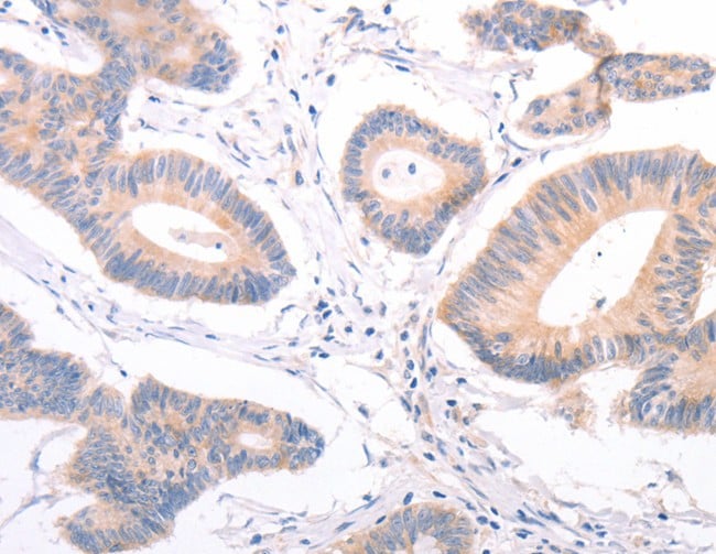
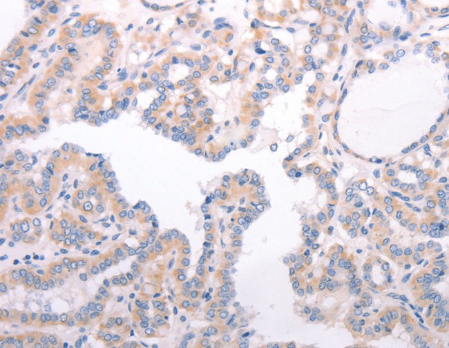
Immunohistochemistry, ELISA
Purity
Antigen affinity purification
Synonyms
F9, Antibody; F9 Polyclonal Antibody; FIX; P19; PTC; HEMB; THPH8; anti-F9 antibody
Host
Rabbit
Reactivity
Human, Mouse, Rat
Clonality
Polyclonal
Isotype
IgG
Purity/Purification
Antigen affinity purification
Concentration
1.3mg/mL (varies by lot)
Sequence Length
461
Applicable Applications for anti-F9 antibody
IHC (Immunohistochemistry), ELISA
Immunogen
Recombinant protein of human F9
Buffer
PBS with 0.05% sodium azide, 50% glycerol, pH7.3
Preparation and Storage
Store at -20 degree C (regular) and -80 degree C (long term). Avoid freeze / thaw cycles.
Related Product Information for anti-F9 antibody
This gene encodes vitamin K-dependent coagulation factor IX that circulates in the blood as an inactive zymogen. This factor is converted to an active form by factor XIa, which excises the activation peptide and thus generates a heavy chain and a light chain held together by one or more disulfide bonds. The role of this activated factor IX in the blood coagulation cascade is to activate factor X to its active form through interactions with Ca+2 ions, membrane phospholipids, and factor VIII. Alterations of this gene, including point mutations, insertions and deletions, cause factor IX deficiency, which is a recessive X-linked disorder, also called hemophilia B or Christmas disease.
NCBI and Uniprot Product Information
NCBI GI #
NCBI GeneID
Molecular Weight
47,618 Da
NCBI Official Full Name
F9 protein
NCBI Official Synonym Full Names
coagulation factor IX
NCBI Official Symbol
F9
NCBI Official Synonym Symbols
FIX; P19; PTC; HEMB; THPH8
NCBI Protein Information
coagulation factor IX; Christmas factor; F9 p22; FIX F9; factor 9; factor IX F9; plasma thromboplastic component; plasma thromboplastin component
UniProt Protein Name
Coagulation factor IX
UniProt Gene Name
F9
UniProt Synonym Gene Names
PTC
UniProt Entry Name
FA9_HUMAN
Similar Products
Product Notes
The F9 f9 (Catalog #AAA170101) is an Antibody produced from Rabbit and is intended for research purposes only. The product is available for immediate purchase. The F9 Polyclonal Antibody reacts with Human, Mouse, Rat and may cross-react with other species as described in the data sheet. AAA Biotech's F9 can be used in a range of immunoassay formats including, but not limited to, IHC (Immunohistochemistry), ELISA. Researchers should empirically determine the suitability of the F9 f9 for an application not listed in the data sheet. Researchers commonly develop new applications and it is an integral, important part of the investigative research process. It is sometimes possible for the material contained within the vial of "F9, Polyclonal Antibody" to become dispersed throughout the inside of the vial, particularly around the seal of said vial, during shipment and storage. We always suggest centrifuging these vials to consolidate all of the liquid away from the lid and to the bottom of the vial prior to opening. Please be advised that certain products may require dry ice for shipping and that, if this is the case, an additional dry ice fee may also be required.Precautions
All products in the AAA Biotech catalog are strictly for research-use only, and are absolutely not suitable for use in any sort of medical, therapeutic, prophylactic, in-vivo, or diagnostic capacity. By purchasing a product from AAA Biotech, you are explicitly certifying that said products will be properly tested and used in line with industry standard. AAA Biotech and its authorized distribution partners reserve the right to refuse to fulfill any order if we have any indication that a purchaser may be intending to use a product outside of our accepted criteria.Disclaimer
Though we do strive to guarantee the information represented in this datasheet, AAA Biotech cannot be held responsible for any oversights or imprecisions. AAA Biotech reserves the right to adjust any aspect of this datasheet at any time and without notice. It is the responsibility of the customer to inform AAA Biotech of any product performance issues observed or experienced within 30 days of receipt of said product. To see additional details on this or any of our other policies, please see our Terms & Conditions page.Item has been added to Shopping Cart
If you are ready to order, navigate to Shopping Cart and get ready to checkout.
