Rabbit FA2H Polyclonal Antibody | anti-FA2H antibody
FA2H Antibody
Gene Names
FA2H; FAAH; FAH1; SCS7; SPG35; FAXDC1
Reactivity
Human, Mouse, RatPredicted: Pig, Bovine, Horse, Sheep, Dog
Applications
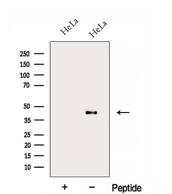
Western Blot
Purity
Peptide affinity purification
Synonyms
FA2H, Antibody; FA2H Antibody; FA2H; FA2H_HUMAN; FAAH; FAH1; Fatty acid 2 hydroxylase; Fatty acid 2-hydroxylase; Fatty acid alpha hydroxylase; Fatty acid alpha-hydroxylase; Fatty acid hydroxylase domain containing 1; FAXDC1; FLJ25287; SCS7; Spastic paraplegia 35 (autosomal recessive); SPG35; anti-FA2H antibody
Host
Rabbit
Reactivity
Human, Mouse, Rat
Predicted: Pig, Bovine, Horse, Sheep, Dog
Predicted: Pig, Bovine, Horse, Sheep, Dog
Clonality
Polyclonal
Isotype
IgG
Specificity
FA2H Antibody detects endogenous levels of FA2H.
Purity/Purification
Peptide affinity purification
Form/Format
Liquid; Phosphate buffered saline, pH 7.4, 150mM NaCl, 0.02% sodium azide and 50% glycerol.
Concentration
1mg/ml (varies by lot)
Sequence Length
372
Applicable Applications for anti-FA2H antibody
WB (Western Blot)
Immunogen
A synthesized peptide derived from human FA2H, corresponding to a region within N-terminal amino acids.
Preparation and Storage
Store at -20 degree C. Stable for 12 months from date of receipt.
NCBI and Uniprot Product Information
NCBI GI #
NCBI GeneID
NCBI Accession #
NCBI GenBank Nucleotide #
UniProt Accession #
Molecular Weight
43 kDa
NCBI Official Full Name
fatty acid 2-hydroxylase
NCBI Official Synonym Full Names
fatty acid 2-hydroxylase
NCBI Official Symbol
FA2H
NCBI Official Synonym Symbols
FAAH; FAH1; SCS7; SPG35; FAXDC1
NCBI Protein Information
fatty acid 2-hydroxylase
UniProt Protein Name
Fatty acid 2-hydroxylase
UniProt Gene Name
FA2H
UniProt Synonym Gene Names
FAAH
UniProt Entry Name
FA2H_HUMAN
Customer Reviews
Loading reviews...
Share Your Experience
Similar Products
Product Notes
The FA2H fa2h (Catalog #AAA328851) is an Antibody produced from Rabbit and is intended for research purposes only. The product is available for immediate purchase. The FA2H Antibody reacts with Human, Mouse, Rat Predicted: Pig, Bovine, Horse, Sheep, Dog and may cross-react with other species as described in the data sheet. AAA Biotech's FA2H can be used in a range of immunoassay formats including, but not limited to, WB (Western Blot). Researchers should empirically determine the suitability of the FA2H fa2h for an application not listed in the data sheet. Researchers commonly develop new applications and it is an integral, important part of the investigative research process. It is sometimes possible for the material contained within the vial of "FA2H, Polyclonal Antibody" to become dispersed throughout the inside of the vial, particularly around the seal of said vial, during shipment and storage. We always suggest centrifuging these vials to consolidate all of the liquid away from the lid and to the bottom of the vial prior to opening. Please be advised that certain products may require dry ice for shipping and that, if this is the case, an additional dry ice fee may also be required.Precautions
All products in the AAA Biotech catalog are strictly for research-use only, and are absolutely not suitable for use in any sort of medical, therapeutic, prophylactic, in-vivo, or diagnostic capacity. By purchasing a product from AAA Biotech, you are explicitly certifying that said products will be properly tested and used in line with industry standard. AAA Biotech and its authorized distribution partners reserve the right to refuse to fulfill any order if we have any indication that a purchaser may be intending to use a product outside of our accepted criteria.Disclaimer
Though we do strive to guarantee the information represented in this datasheet, AAA Biotech cannot be held responsible for any oversights or imprecisions. AAA Biotech reserves the right to adjust any aspect of this datasheet at any time and without notice. It is the responsibility of the customer to inform AAA Biotech of any product performance issues observed or experienced within 30 days of receipt of said product. To see additional details on this or any of our other policies, please see our Terms & Conditions page.Item has been added to Shopping Cart
If you are ready to order, navigate to Shopping Cart and get ready to checkout.
