Host
Rabbit
Reactivity
Human, Canine, Feline.
Clonality
Polyclonal
Form/Format
Factor VIII antibody is a purified immunoglobulin fraction of rabbit antiserum, diluted in phosphate buffered saline, pH 7.6, with protein, and preserved with sodium azide.
Application Notes
IHC Protocol:
1. Cut and mount 3-5 micron formalin-fixed paraffin-embedded tissues on positive charged slides such as Hydrophilic Plus Slides
2. Air dry for 2 hours at 58° C.
3. Deparaffinize, dehydrate and rehydrate tissues.
4. Subject tissues to heat epitope retrieval using a suitable retrieval solution such as ImmunoDNA Retriever with Citrate .
5. Any of three heating methods may be used:
a. TintoRetriever r Pressure Cooker or Equivalent
Place tissues/slides in a staining dish or coplin jar containing the ImmunoDNA Retriever with Citrate or EDTA, and place in the pressure cooker. Add 1-2 inches of distilled water to the pressure cooker and turn heat to high. Incubate for 15 minutes. Open and immediately transfer slides to room temperature.
b. TintoRetriever PT Module or Water Bath Method
Place tissues/slides in a pre-warmed staining dish or coplin jar containing the ImmunoDNA
Retriever with Citrate or EDTA at 95°-99° C. Incubate for 30-60 minutes.
c. Conventional Steamer Method
Place tissues/slides in a pre-warmed staining dish or coplin jar containing the ImmunoDNA
Retriever with Citrate or EDTA in a Steamer, cover and steam for 30-60 minutes.
6. After heat treatment, transfer slides in ImmunoDNA Retriever with Citrate or EDTA to room temperature and let stand for 15-20 minutes.
7. For manual staining, perform antibody incubation at ambient temperature. For automated staining methods, perform antibody incubation according to instrument manufacturer’s instructions.
8. Wash slides with IHC wash buffer or DI water.
9. Continue IHC staining protocol
1. Cut and mount 3-5 micron formalin-fixed paraffin-embedded tissues on positive charged slides such as Hydrophilic Plus Slides
2. Air dry for 2 hours at 58° C.
3. Deparaffinize, dehydrate and rehydrate tissues.
4. Subject tissues to heat epitope retrieval using a suitable retrieval solution such as ImmunoDNA Retriever with Citrate .
5. Any of three heating methods may be used:
a. TintoRetriever r Pressure Cooker or Equivalent
Place tissues/slides in a staining dish or coplin jar containing the ImmunoDNA Retriever with Citrate or EDTA, and place in the pressure cooker. Add 1-2 inches of distilled water to the pressure cooker and turn heat to high. Incubate for 15 minutes. Open and immediately transfer slides to room temperature.
b. TintoRetriever PT Module or Water Bath Method
Place tissues/slides in a pre-warmed staining dish or coplin jar containing the ImmunoDNA
Retriever with Citrate or EDTA at 95°-99° C. Incubate for 30-60 minutes.
c. Conventional Steamer Method
Place tissues/slides in a pre-warmed staining dish or coplin jar containing the ImmunoDNA
Retriever with Citrate or EDTA in a Steamer, cover and steam for 30-60 minutes.
6. After heat treatment, transfer slides in ImmunoDNA Retriever with Citrate or EDTA to room temperature and let stand for 15-20 minutes.
7. For manual staining, perform antibody incubation at ambient temperature. For automated staining methods, perform antibody incubation according to instrument manufacturer’s instructions.
8. Wash slides with IHC wash buffer or DI water.
9. Continue IHC staining protocol
Control
Skin, Placenta
Localization
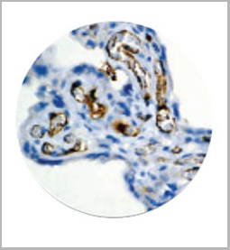
Cytoplasmic
Immunogen
Purified human Factor VII
Reactivity Note
Paraffin, Frozen
Precautions
1. This product contains <0.1% sodium azide (NaN3) as a preservative. Ensure proper handling procedures are used with this reagent.
2. Always wear personal protective equipment such as a laboratory coat, goggles, and gloves when handling reagents.
3. Dispose of unused solution with copious amounts of water.
4. Do not ingest reagent. If reagent is ingested, seek medical advice immediately.
5. Avoid contact with eyes. If contact occurs, flush with large quantities of water.
6. Follow safety precautions of the heating device used for epitope retrieval (TintoRetriever Pressure Cooker or similar).
7. For additional safety information refer to Safety Data Sheet for this product.
8. For complete recommendations for handling biological specimens, please refer to the CDC document, “Guidelines for Safe Work Practices in Human and AMDL” (see References in this document).
2. Always wear personal protective equipment such as a laboratory coat, goggles, and gloves when handling reagents.
3. Dispose of unused solution with copious amounts of water.
4. Do not ingest reagent. If reagent is ingested, seek medical advice immediately.
5. Avoid contact with eyes. If contact occurs, flush with large quantities of water.
6. Follow safety precautions of the heating device used for epitope retrieval (TintoRetriever Pressure Cooker or similar).
7. For additional safety information refer to Safety Data Sheet for this product.
8. For complete recommendations for handling biological specimens, please refer to the CDC document, “Guidelines for Safe Work Practices in Human and AMDL” (see References in this document).
Specimen Preparation
Paraffin sections: The antibody can be used on formalin-fixed paraffin-embedded (FFPE) tissue sections. Ensure tissue undergoes appropriate fixation for best results. Pre-treatment of tissues with heat-induced epitope retrieval (HIER) is recommended using ImmunoDNA Retriever with Citrate, ImmunoDNA Retriever with EDTA or ImmunoDNA Digestor. Tissue should remain hydrated via use of Immuno/DNA Washer solutions.
Frozen sections and cell preparations
The antibody can be used for labeling acetone-fixed frozen sections and acetone-fixed cell preparations.
Preparation and Storage
Store at 2-8 °C. Do not use after expiration date listed on package label. Temperature fluctuations should be avoided. Store appropriately when not in use, and avoid prolonged exposure to room temperature conditions.
Related Product Information for anti-FVIII antibody
Description: This antibody is intended for use in Immunohistochemical applications on formalin-fixed paraffin-embedded tissues (FFPE), frozen tissue sections and cell preparations. Interpretation of results should be performed by a qualified medical professional.
Background: Factor VIII (F VIII) is an essential clotting factor. The lack of normal F VIII causes Hemophilia A, an inherited bleeding disorder. FVIII is a glycoprotein procofactor synthesized and released into the bloodstream by the liver. In the circulating blood, it is mainly bound to von Willebrand factor (vWF, also known as Factor VIII-related antigen) to form a stable complex. Upon activation by thrombin or Factor Xa, it dis-sociates from the complex to interact with Factor IXa, the coagulation cascade. It is a cofactor to Factor IXa in the activation of Factor X, which, in turn, with its cofactor Factor Va, activates more thrombin. Thrombin cleaves fibrinogen into fibrin which polymerizes and crosslinks (using Factor XIII) into a blood clot. This antibody reacts with endothelial cells in normal, reactive, and neoplastic blood cells. F VIII antibody has helped to establish the endothelial nature of some lesions of disputed histogenesis, e.g., Kaposi`s Sarcoma and Cardiac Myxoma. Not all endothelial cells synthesize (or store) this molecule; therefore, it should not be surprising that not all tumors of endothelial differentiation (benign or malignant) react with this antigen.
Background: Factor VIII (F VIII) is an essential clotting factor. The lack of normal F VIII causes Hemophilia A, an inherited bleeding disorder. FVIII is a glycoprotein procofactor synthesized and released into the bloodstream by the liver. In the circulating blood, it is mainly bound to von Willebrand factor (vWF, also known as Factor VIII-related antigen) to form a stable complex. Upon activation by thrombin or Factor Xa, it dis-sociates from the complex to interact with Factor IXa, the coagulation cascade. It is a cofactor to Factor IXa in the activation of Factor X, which, in turn, with its cofactor Factor Va, activates more thrombin. Thrombin cleaves fibrinogen into fibrin which polymerizes and crosslinks (using Factor XIII) into a blood clot. This antibody reacts with endothelial cells in normal, reactive, and neoplastic blood cells. F VIII antibody has helped to establish the endothelial nature of some lesions of disputed histogenesis, e.g., Kaposi`s Sarcoma and Cardiac Myxoma. Not all endothelial cells synthesize (or store) this molecule; therefore, it should not be surprising that not all tumors of endothelial differentiation (benign or malignant) react with this antigen.
NCBI and Uniprot Product Information
NCBI GI #
NCBI Accession #
NCBI GenBank Nucleotide #
NCBI Official Full Name
factor VIII
NCBI Official Symbol
FVIII
Customer Reviews
Loading reviews...
Share Your Experience
Similar Products
Product Notes
The FVIII (Catalog #AAA13572) is an Antibody produced from Rabbit and is intended for research purposes only. The product is available for immediate purchase. The Factor VIII-Related Antigen reacts with Human, Canine, Feline. and may cross-react with other species as described in the data sheet. IHC Protocol: 1. Cut and mount 3-5 micron formalin-fixed paraffin-embedded tissues on positive charged slides such as Hydrophilic Plus Slides 2. Air dry for 2 hours at 58° C. 3. Deparaffinize, dehydrate and rehydrate tissues. 4. Subject tissues to heat epitope retrieval using a suitable retrieval solution such as ImmunoDNA Retriever with Citrate. 5. Any of three heating methods may be used: a. TintoRetriever r Pressure Cooker or Equivalent Place tissues/slides in a staining dish or coplin jar containing the ImmunoDNA Retriever with Citrate or EDTA, and place in the pressure cooker. Add 1-2 inches of distilled water to the pressure cooker and turn heat to high. Incubate for 15 minutes. Open and immediately transfer slides to room temperature. b. TintoRetriever PT Module or Water Bath Method Place tissues/slides in a pre-warmed staining dish or coplin jar containing the ImmunoDNA Retriever with Citrate or EDTA at 95°-99° C. Incubate for 30-60 minutes. c. Conventional Steamer Method Place tissues/slides in a pre-warmed staining dish or coplin jar containing the ImmunoDNA Retriever with Citrate or EDTA in a Steamer, cover and steam for 30-60 minutes. 6. After heat treatment, transfer slides in ImmunoDNA Retriever with Citrate or EDTA to room temperature and let stand for 15-20 minutes. 7. For manual staining, perform antibody incubation at ambient temperature. For automated staining methods, perform antibody incubation according to instrument manufacturer’s instructions. 8. Wash slides with IHC wash buffer or DI water. 9. Continue IHC staining protocol. Researchers should empirically determine the suitability of the FVIII for an application not listed in the data sheet. Researchers commonly develop new applications and it is an integral, important part of the investigative research process. It is sometimes possible for the material contained within the vial of "Factor VIII-Related Antigen, Polyclonal Antibody" to become dispersed throughout the inside of the vial, particularly around the seal of said vial, during shipment and storage. We always suggest centrifuging these vials to consolidate all of the liquid away from the lid and to the bottom of the vial prior to opening. Please be advised that certain products may require dry ice for shipping and that, if this is the case, an additional dry ice fee may also be required.Precautions
All products in the AAA Biotech catalog are strictly for research-use only, and are absolutely not suitable for use in any sort of medical, therapeutic, prophylactic, in-vivo, or diagnostic capacity. By purchasing a product from AAA Biotech, you are explicitly certifying that said products will be properly tested and used in line with industry standard. AAA Biotech and its authorized distribution partners reserve the right to refuse to fulfill any order if we have any indication that a purchaser may be intending to use a product outside of our accepted criteria.Disclaimer
Though we do strive to guarantee the information represented in this datasheet, AAA Biotech cannot be held responsible for any oversights or imprecisions. AAA Biotech reserves the right to adjust any aspect of this datasheet at any time and without notice. It is the responsibility of the customer to inform AAA Biotech of any product performance issues observed or experienced within 30 days of receipt of said product. To see additional details on this or any of our other policies, please see our Terms & Conditions page.Item has been added to Shopping Cart
If you are ready to order, navigate to Shopping Cart and get ready to checkout.
