Rabbit anti-Human FAM107A Polyclonal Antibody | anti-FAM107A antibody
FAM107A Antibody
Gene Names
FAM107A; DRR1; TU3A
Reactivity
Human
Applications
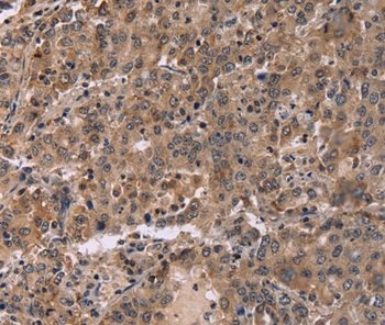
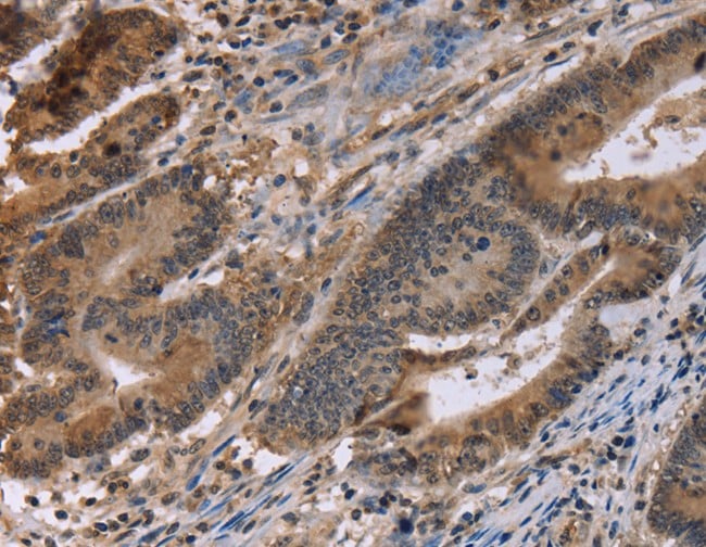
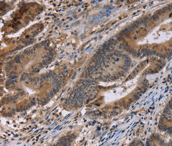
Immunohistochemistry
Purity
Antigen affinity purification.
Synonyms
FAM107A, Antibody; FAM107A Antibody; DRR1; TU3A; anti-FAM107A antibody
Host
Rabbit
Reactivity
Human
Clonality
Polyclonal
Specificity
The antibody detects endogenous levels of total FAM107A protein.
Purity/Purification
Antigen affinity purification.
Form/Format
Rabbit IgG in pH7.3 PBS, 0.05% NaN3, 50% Glycerol.
Concentration
1.5 mg/ml (varies by lot)
Sequence Length
144
Applicable Applications for anti-FAM107A antibody
IHC (Immunohistochemistry)
Immunogen Type
Recombinant Protein
Immunogen Description
Full length fusion protein
Target Name
FAM107A
Preparation and Storage
Store at -20 degree C
Related Product Information for anti-FAM107A antibody
FAM107B is a 131 amino acid protein that is encoded by a gene that maps to human chromosome 10, which contains over 800 genes and 135 million nucleotides, making up nearly 4.5% of the human genome. PTEN is an important tumor suppressor gene located on chromosome 10 and, when defective, causes a genetic predisposition to cancer development known as Cowden syndrome. The chromosome 10 encoded gene ERCC6 is important for DNA repair and is linked to Cockayne syndrome which is characterized by extreme photosensitivity and premature aging. Tetrahydrobiopterin deficiency and a number of syndromes involving defective skull and facial bone fusion are also linked to chromosome 10. As with most trisomies, trisomy 10 is rare and is deleterious.
Product Categories/Family for anti-FAM107A antibody
NCBI and Uniprot Product Information
NCBI GI #
NCBI GeneID
NCBI Accession #
NCBI GenBank Nucleotide #
Molecular Weight
20,872 Da
NCBI Official Full Name
protein FAM107A isoform a
NCBI Official Synonym Full Names
family with sequence similarity 107, member A
NCBI Official Symbol
FAM107A
NCBI Official Synonym Symbols
DRR1; TU3A
NCBI Protein Information
protein FAM107A
UniProt Protein Name
Protein FAM107A
UniProt Gene Name
FAM107A
UniProt Synonym Gene Names
DRR1; TU3A
UniProt Entry Name
F107A_HUMAN
Customer Reviews
Loading reviews...
Share Your Experience
Similar Products
Product Notes
The FAM107A fam107a (Catalog #AAA304057) is an Antibody produced from Rabbit and is intended for research purposes only. The product is available for immediate purchase. The FAM107A Antibody reacts with Human and may cross-react with other species as described in the data sheet. AAA Biotech's FAM107A can be used in a range of immunoassay formats including, but not limited to, IHC (Immunohistochemistry). Researchers should empirically determine the suitability of the FAM107A fam107a for an application not listed in the data sheet. Researchers commonly develop new applications and it is an integral, important part of the investigative research process. It is sometimes possible for the material contained within the vial of "FAM107A, Polyclonal Antibody" to become dispersed throughout the inside of the vial, particularly around the seal of said vial, during shipment and storage. We always suggest centrifuging these vials to consolidate all of the liquid away from the lid and to the bottom of the vial prior to opening. Please be advised that certain products may require dry ice for shipping and that, if this is the case, an additional dry ice fee may also be required.Precautions
All products in the AAA Biotech catalog are strictly for research-use only, and are absolutely not suitable for use in any sort of medical, therapeutic, prophylactic, in-vivo, or diagnostic capacity. By purchasing a product from AAA Biotech, you are explicitly certifying that said products will be properly tested and used in line with industry standard. AAA Biotech and its authorized distribution partners reserve the right to refuse to fulfill any order if we have any indication that a purchaser may be intending to use a product outside of our accepted criteria.Disclaimer
Though we do strive to guarantee the information represented in this datasheet, AAA Biotech cannot be held responsible for any oversights or imprecisions. AAA Biotech reserves the right to adjust any aspect of this datasheet at any time and without notice. It is the responsibility of the customer to inform AAA Biotech of any product performance issues observed or experienced within 30 days of receipt of said product. To see additional details on this or any of our other policies, please see our Terms & Conditions page.Item has been added to Shopping Cart
If you are ready to order, navigate to Shopping Cart and get ready to checkout.
