Rabbit anti-Human, Mouse FANCC Polyclonal Antibody | anti-FANCC antibody
FANCC Antibody
Phosphate buffered saline, pH 7.4, 150mM NaCl, 0.02% sodium azide and 50% glycerol.
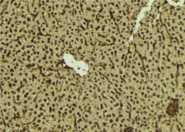
IHC (Immunohiostchemistry)
(AAA326397 at 1/100 staining Mouse liver tissue by IHC-P. The sample was formaldehyde fixed and a heat mediated antigen retrieval step in citrate buffer was performed. The sample was then blocked and incubated with the antibody for 1.5 hours at 22 degree C. An HRP conjugated goat anti-rabbit antibody was used as the secondary.)
WB (Western Blot)
(Western blot analysis of Hela whole cell lysates, using FANCC Antibody. The lane on the left is treated with the antigen-specific peptide.)
Function: DNA repair protein that may operate in a postreplication repair or a cell cycle checkpoint function. May be implicated in interstrand DNA cross-link repair and in the maintenance of normal chromosome stability. Upon IFNG induction, may facilitate STAT1 activation by recruiting STAT1 to IFNGR1.
Subunit Structure: Belongs to the multisubunit FA complex composed of FANCA, FANCB, FANCC, FANCE, FANCF, FANCG, FANCL/PHF9 and FANCM. This complex may also include HSP70. The complex is not found in FA patients. Interacts with ZBTB32. Upon IFNG induction, interacts with STAT1. Interacts with CDK1. Interacts with EIF2AK2; interaction between FA variants and EIF2AK2 may lead to augmented EIF2AK2 activation and cell death.
NCBI and Uniprot Product Information
Predicted: 64 kDa
Customer Reviews
Loading reviews...
Share Your Experience
Similar Products
Product Notes
The FANCC fancc (Catalog #AAA326397) is an Antibody produced from Rabbit and is intended for research purposes only. The product is available for immediate purchase. The FANCC Antibody reacts with Human, Mouse and may cross-react with other species as described in the data sheet. AAA Biotech's FANCC can be used in a range of immunoassay formats including, but not limited to, ELISA, IHC (Immunohistochemistry), WB (Western Blot). Researchers should empirically determine the suitability of the FANCC fancc for an application not listed in the data sheet. Researchers commonly develop new applications and it is an integral, important part of the investigative research process. It is sometimes possible for the material contained within the vial of "FANCC, Polyclonal Antibody" to become dispersed throughout the inside of the vial, particularly around the seal of said vial, during shipment and storage. We always suggest centrifuging these vials to consolidate all of the liquid away from the lid and to the bottom of the vial prior to opening. Please be advised that certain products may require dry ice for shipping and that, if this is the case, an additional dry ice fee may also be required.Precautions
All products in the AAA Biotech catalog are strictly for research-use only, and are absolutely not suitable for use in any sort of medical, therapeutic, prophylactic, in-vivo, or diagnostic capacity. By purchasing a product from AAA Biotech, you are explicitly certifying that said products will be properly tested and used in line with industry standard. AAA Biotech and its authorized distribution partners reserve the right to refuse to fulfill any order if we have any indication that a purchaser may be intending to use a product outside of our accepted criteria.Disclaimer
Though we do strive to guarantee the information represented in this datasheet, AAA Biotech cannot be held responsible for any oversights or imprecisions. AAA Biotech reserves the right to adjust any aspect of this datasheet at any time and without notice. It is the responsibility of the customer to inform AAA Biotech of any product performance issues observed or experienced within 30 days of receipt of said product. To see additional details on this or any of our other policies, please see our Terms & Conditions page.Item has been added to Shopping Cart
If you are ready to order, navigate to Shopping Cart and get ready to checkout.
