Rabbit anti-Human FAT3 Polyclonal Antibody | anti-FAT3 antibody
FAT3 Antibody
Gene Names
FAT3; CDHF15; CDHR10
Reactivity
Human
Applications
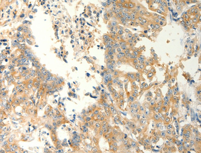
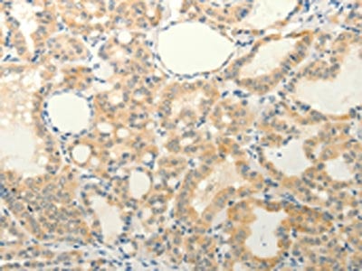
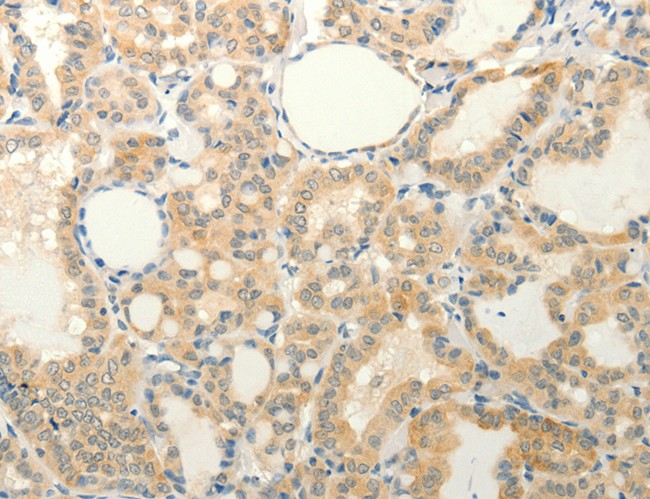
Immunohistochemistry
Purity
Antigen affinity purification.
Synonyms
FAT3, Antibody; FAT3 Antibody; CDHF15; CDHR10; anti-FAT3 antibody
Host
Rabbit
Reactivity
Human
Clonality
Polyclonal
Specificity
The antibody detects endogenous levels of total FAT3 protein.
Purity/Purification
Antigen affinity purification.
Form/Format
Rabbit IgG in pH7.3 PBS, 0.05% NaN3, 50% Glycerol.
Concentration
0.7 mg/ml (varies by lot)
Sequence Length
4557
Applicable Applications for anti-FAT3 antibody
IHC (Immunohistochemistry)
Immunogen Type
Peptide
Immunogen Description
Synthetic peptide corresponding to a region derived from internal residues of human FAT tumor suppressor homolog 3 (Drosophila)
Target Name
FAT3
Preparation and Storage
Store at -20 degree C
Related Product Information for anti-FAT3 antibody
FAT1, FAT2, FAT3 and FAT4 are human homologs of Drosophila Fat, which is involved in tumor suppression and planar cell polarity (PCP). The atypical cadherin Fat3 ensures that retinal amacrine cells (ACs) develop this unipolar morphology. Fat3 expression was restricted to the nervous system, for example in the brain, it is expressed in a variety of regions and axon fascicles. However, its strongest expression was observed in the olfactory bulb and retina.
Product Categories/Family for anti-FAT3 antibody
NCBI and Uniprot Product Information
NCBI GI #
NCBI GeneID
NCBI Accession #
NCBI GenBank Nucleotide #
Molecular Weight
501,978 Da
NCBI Official Full Name
protocadherin Fat 3
NCBI Official Synonym Full Names
FAT atypical cadherin 3
NCBI Official Symbol
FAT3
NCBI Official Synonym Symbols
CDHF15; CDHR10
NCBI Protein Information
protocadherin Fat 3
UniProt Protein Name
Protocadherin Fat 3
UniProt Gene Name
FAT3
UniProt Synonym Gene Names
CDHF15; KIAA1989; hFat3
UniProt Entry Name
FAT3_HUMAN
Customer Reviews
Loading reviews...
Share Your Experience
Similar Products
Product Notes
The FAT3 fat3 (Catalog #AAA303319) is an Antibody produced from Rabbit and is intended for research purposes only. The product is available for immediate purchase. The FAT3 Antibody reacts with Human and may cross-react with other species as described in the data sheet. AAA Biotech's FAT3 can be used in a range of immunoassay formats including, but not limited to, IHC (Immunohistochemistry). Researchers should empirically determine the suitability of the FAT3 fat3 for an application not listed in the data sheet. Researchers commonly develop new applications and it is an integral, important part of the investigative research process. It is sometimes possible for the material contained within the vial of "FAT3, Polyclonal Antibody" to become dispersed throughout the inside of the vial, particularly around the seal of said vial, during shipment and storage. We always suggest centrifuging these vials to consolidate all of the liquid away from the lid and to the bottom of the vial prior to opening. Please be advised that certain products may require dry ice for shipping and that, if this is the case, an additional dry ice fee may also be required.Precautions
All products in the AAA Biotech catalog are strictly for research-use only, and are absolutely not suitable for use in any sort of medical, therapeutic, prophylactic, in-vivo, or diagnostic capacity. By purchasing a product from AAA Biotech, you are explicitly certifying that said products will be properly tested and used in line with industry standard. AAA Biotech and its authorized distribution partners reserve the right to refuse to fulfill any order if we have any indication that a purchaser may be intending to use a product outside of our accepted criteria.Disclaimer
Though we do strive to guarantee the information represented in this datasheet, AAA Biotech cannot be held responsible for any oversights or imprecisions. AAA Biotech reserves the right to adjust any aspect of this datasheet at any time and without notice. It is the responsibility of the customer to inform AAA Biotech of any product performance issues observed or experienced within 30 days of receipt of said product. To see additional details on this or any of our other policies, please see our Terms & Conditions page.Item has been added to Shopping Cart
If you are ready to order, navigate to Shopping Cart and get ready to checkout.
