Rabbit FBLIM1 Polyclonal Antibody | anti-FBLIM1 antibody
FBLIM1 Antibody
Gene Names
FBLIM1; CAL; FBLP1; FBLP-1
Reactivity
Human, Mouse, RatPredicted: Pig, Bovine, Horse, Sheep, Rabbit, Dog, Chicken
Applications
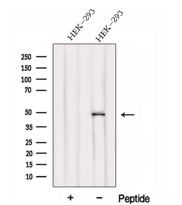
Western Blot
Purity
The antiserum was purified by peptide affinity chromatography using SulfoLink Coupling Resin (Thermo Fisher Scientific).
Synonyms
FBLIM1, Antibody; FBLIM1 Antibody; 2410043F08Rik; Cal; CSX associated LIM; DKFZp434G171; FBLI1_HUMAN; FBLIM 1; Fblim1; FBLP 1; FBLP-1; FBLP1; Filamin binding LIM protein 1; Filamin-binding LIM protein 1; Gt10; MGC105665; MIG2 interacting protein; MIG2-interacting protein; Migfilin; Mitogen inducible 2 interacting protein; Mitogen-inducible 2-interacting protein; OTTHUMP00000003118; OTTHUMP00000003119; OTTHUMP00000003120; OTTMUSP00000011062; OTTMUSP00000011063; RP11-169K16.5; RP23-291H3.1; anti-FBLIM1 antibody
Host
Rabbit
Reactivity
Human, Mouse, Rat
Predicted: Pig, Bovine, Horse, Sheep, Rabbit, Dog, Chicken
Predicted: Pig, Bovine, Horse, Sheep, Rabbit, Dog, Chicken
Clonality
Polyclonal
Isotype
IgG
Specificity
FBLIM1 Antibody detects endogenous levels of FBLIM1.
Purity/Purification
The antiserum was purified by peptide affinity chromatography using SulfoLink Coupling Resin (Thermo Fisher Scientific).
Form/Format
Liquid; Phosphate buffered saline, pH 7.4, 150mM NaCl, 0.02% sodium azide and 50% glycerol.
Concentration
1mg/ml (varies by lot)
Sequence Length
276
Applicable Applications for anti-FBLIM1 antibody
WB (Western Blot)
Immunogen
A synthesized peptide derived from human FBLIM1.
Tissue Specificity
Isoform 1 and isoform 3 are expressed in heart, kidney, lung, pancreas, placenta and platelets. Isoform 2 is expressed in brain, heart, kidney, lung, pancreas, placenta, skeletal muscle and platelets.
Fragment
Fab Fragment
Conjugate
Unconjugated
Subcellular Location
Cytoskeleton
Preparation and Storage
Store at -20 degree C. Stable for 12 months from date of receipt.
Related Product Information for anti-FBLIM1 antibody
Description: Serves as an anchoring site for cell-ECM adhesion proteins and filamin-containing actin filaments. Is implicated in cell shape modulation (spreading) and motility. May participate in the regulation of filamin-mediated cross-linking and stabilization of actin filaments. May also regulate the assembly of filamin-containing signaling complexes that control actin assembly. Promotes dissociation of FLNA from ITGB3 and ITGB7. Promotes activation of integrins and regulates integrin-mediated cell-cell adhesion.
Subunit Structure: Interacts with NKX2-5 (By similarity). Isoform 1 and isoform 3 interact with FERMT2, FLNA, FLNB and FLNC. Isoform 2 interacts with FLNB.
Similarity: The N-terminal region is intrinsically disordered.
Subunit Structure: Interacts with NKX2-5 (By similarity). Isoform 1 and isoform 3 interact with FERMT2, FLNA, FLNB and FLNC. Isoform 2 interacts with FLNB.
Similarity: The N-terminal region is intrinsically disordered.
NCBI and Uniprot Product Information
NCBI GI #
NCBI GeneID
NCBI Accession #
NCBI GenBank Nucleotide #
UniProt Accession #
Molecular Weight
46kDa
NCBI Official Full Name
filamin-binding LIM protein 1 isoform c
NCBI Official Synonym Full Names
filamin binding LIM protein 1
NCBI Official Symbol
FBLIM1
NCBI Official Synonym Symbols
CAL; FBLP1; FBLP-1
NCBI Protein Information
filamin-binding LIM protein 1
UniProt Protein Name
Filamin-binding LIM protein 1
UniProt Gene Name
FBLIM1
UniProt Synonym Gene Names
FBLP1; FBLP-1
UniProt Entry Name
FBLI1_HUMAN
Customer Reviews
Loading reviews...
Share Your Experience
Similar Products
Product Notes
The FBLIM1 fblim1 (Catalog #AAA328856) is an Antibody produced from Rabbit and is intended for research purposes only. The product is available for immediate purchase. The FBLIM1 Antibody reacts with Human, Mouse, Rat Predicted: Pig, Bovine, Horse, Sheep, Rabbit, Dog, Chicken and may cross-react with other species as described in the data sheet. AAA Biotech's FBLIM1 can be used in a range of immunoassay formats including, but not limited to, WB (Western Blot). Researchers should empirically determine the suitability of the FBLIM1 fblim1 for an application not listed in the data sheet. Researchers commonly develop new applications and it is an integral, important part of the investigative research process. It is sometimes possible for the material contained within the vial of "FBLIM1, Polyclonal Antibody" to become dispersed throughout the inside of the vial, particularly around the seal of said vial, during shipment and storage. We always suggest centrifuging these vials to consolidate all of the liquid away from the lid and to the bottom of the vial prior to opening. Please be advised that certain products may require dry ice for shipping and that, if this is the case, an additional dry ice fee may also be required.Precautions
All products in the AAA Biotech catalog are strictly for research-use only, and are absolutely not suitable for use in any sort of medical, therapeutic, prophylactic, in-vivo, or diagnostic capacity. By purchasing a product from AAA Biotech, you are explicitly certifying that said products will be properly tested and used in line with industry standard. AAA Biotech and its authorized distribution partners reserve the right to refuse to fulfill any order if we have any indication that a purchaser may be intending to use a product outside of our accepted criteria.Disclaimer
Though we do strive to guarantee the information represented in this datasheet, AAA Biotech cannot be held responsible for any oversights or imprecisions. AAA Biotech reserves the right to adjust any aspect of this datasheet at any time and without notice. It is the responsibility of the customer to inform AAA Biotech of any product performance issues observed or experienced within 30 days of receipt of said product. To see additional details on this or any of our other policies, please see our Terms & Conditions page.Item has been added to Shopping Cart
If you are ready to order, navigate to Shopping Cart and get ready to checkout.
