Rabbit FBXL5 Polyclonal Antibody | anti-FBXL5 antibody
FBXL5 antibody - middle region
Gene Names
FBXL5; FBL4; FBL5; FLR1
Reactivity
Cow, Dog, Guinea Pig, Horse, Human, Mouse, Pig, Rabbit, Rat
Applications
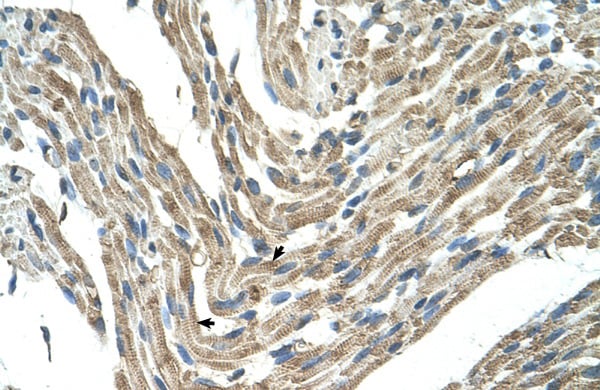
Western Blot, Immunohistochemistry
Purity
Protein A purified
Synonyms
FBXL5, Antibody; FBXL5 antibody - middle region; anti-FBXL5 antibody
Host
Rabbit
Reactivity
Cow, Dog, Guinea Pig, Horse, Human, Mouse, Pig, Rabbit, Rat
Clonality
Polyclonal
Purity/Purification
Protein A purified
Form/Format
Liquid. Purified antibody supplied in 1x PBS buffer with 0.09% (w/v) sodium azide and 2% sucrose.
Sequence
Synthetic peptide located within the following region: VHWARGDWYSGPATELDTEPDDEWVKNRKDESRAFHEWDEDADIDESEES
Sequence Length
691
Applicable Applications for anti-FBXL5 antibody
WB (Western Blot), IHC (Immunohistochemistry)
Homology
Cow: 86%; Dog: 93%; Guinea Pig: 79%; Horse: 100%; Human: 100%; Mouse: 93%; Pig: 100%; Rabbit: 86%; Rat: 93%
Immunogen
The immunogen is a synthetic peptide directed towards the middle region of human FBXL5
Preparation and Storage
For short term use, store at 2-8 degree C up to 1 week. For long term storage, store at -20 degree C in small aliquots to prevent freeze-thaw cycles.
Related Product Information for anti-FBXL5 antibody
This is a rabbit polyclonal antibody against FBXL5. It was validated on Western Blot and immunohistochemistry
Target Description: FBXL5 is a member of the F-box protein family which is characterized by an approximately 40 amino acid motif, the F-box. The F-box proteins constitute one of the four subunits of ubiquitin protein ligase complex called SCFs (SKP1-cullin-F-box), which function in phosphorylation-dependent ubiquitination. The F-box proteins are divided into 3 classes: Fbws containing WD-40 domains, Fbls containing leucine-rich repeats, and Fbxs containing either different protein-protein interaction modules or no recognizable motifs. FBXL5 belongs to the Fbls class and, in addition to an F-box, contains several tandem leucine-rich repeats.This gene encodes a member of the F-box protein family which is characterized by an approximately 40 amino acid motif, the F-box. The F-box proteins constitute one of the four subunits of ubiquitin protein ligase complex called SCFs (SKP1-cullin-F-box), which function in phosphorylation-dependent ubiquitination. The F-box proteins are divided into 3 classes: Fbws containing WD-40 domains, Fbls containing leucine-rich repeats, and Fbxs containing either different protein-protein interaction modules or no recognizable motifs. The protein encoded by this gene belongs to the Fbls class and, in addition to an F-box, contains several tandem leucine-rich repeats. Alternative splicing of this gene generates 2 transcript variants.
Target Description: FBXL5 is a member of the F-box protein family which is characterized by an approximately 40 amino acid motif, the F-box. The F-box proteins constitute one of the four subunits of ubiquitin protein ligase complex called SCFs (SKP1-cullin-F-box), which function in phosphorylation-dependent ubiquitination. The F-box proteins are divided into 3 classes: Fbws containing WD-40 domains, Fbls containing leucine-rich repeats, and Fbxs containing either different protein-protein interaction modules or no recognizable motifs. FBXL5 belongs to the Fbls class and, in addition to an F-box, contains several tandem leucine-rich repeats.This gene encodes a member of the F-box protein family which is characterized by an approximately 40 amino acid motif, the F-box. The F-box proteins constitute one of the four subunits of ubiquitin protein ligase complex called SCFs (SKP1-cullin-F-box), which function in phosphorylation-dependent ubiquitination. The F-box proteins are divided into 3 classes: Fbws containing WD-40 domains, Fbls containing leucine-rich repeats, and Fbxs containing either different protein-protein interaction modules or no recognizable motifs. The protein encoded by this gene belongs to the Fbls class and, in addition to an F-box, contains several tandem leucine-rich repeats. Alternative splicing of this gene generates 2 transcript variants.
Product Categories/Family for anti-FBXL5 antibody
NCBI and Uniprot Product Information
NCBI GI #
NCBI GeneID
NCBI Accession #
NCBI GenBank Nucleotide #
UniProt Accession #
Molecular Weight
76kDa
NCBI Official Full Name
F-box/LRR-repeat protein 5 isoform 1
NCBI Official Synonym Full Names
F-box and leucine rich repeat protein 5
NCBI Official Symbol
FBXL5
NCBI Official Synonym Symbols
FBL4; FBL5; FLR1
NCBI Protein Information
F-box/LRR-repeat protein 5
UniProt Protein Name
F-box/LRR-repeat protein 5
UniProt Gene Name
FBXL5
UniProt Synonym Gene Names
FBL4; FBL5; FLR1
UniProt Entry Name
FBXL5_HUMAN
Customer Reviews
Loading reviews...
Share Your Experience
Similar Products
Product Notes
The FBXL5 fbxl5 (Catalog #AAA199223) is an Antibody produced from Rabbit and is intended for research purposes only. The product is available for immediate purchase. The FBXL5 antibody - middle region reacts with Cow, Dog, Guinea Pig, Horse, Human, Mouse, Pig, Rabbit, Rat and may cross-react with other species as described in the data sheet. AAA Biotech's FBXL5 can be used in a range of immunoassay formats including, but not limited to, WB (Western Blot), IHC (Immunohistochemistry). Researchers should empirically determine the suitability of the FBXL5 fbxl5 for an application not listed in the data sheet. Researchers commonly develop new applications and it is an integral, important part of the investigative research process. The amino acid sequence is listed below: Synthetic peptide located within the following region: VHWARGDWYS GPATELDTEP DDEWVKNRKD ESRAFHEWDE DADIDESEES. It is sometimes possible for the material contained within the vial of "FBXL5, Polyclonal Antibody" to become dispersed throughout the inside of the vial, particularly around the seal of said vial, during shipment and storage. We always suggest centrifuging these vials to consolidate all of the liquid away from the lid and to the bottom of the vial prior to opening. Please be advised that certain products may require dry ice for shipping and that, if this is the case, an additional dry ice fee may also be required.Precautions
All products in the AAA Biotech catalog are strictly for research-use only, and are absolutely not suitable for use in any sort of medical, therapeutic, prophylactic, in-vivo, or diagnostic capacity. By purchasing a product from AAA Biotech, you are explicitly certifying that said products will be properly tested and used in line with industry standard. AAA Biotech and its authorized distribution partners reserve the right to refuse to fulfill any order if we have any indication that a purchaser may be intending to use a product outside of our accepted criteria.Disclaimer
Though we do strive to guarantee the information represented in this datasheet, AAA Biotech cannot be held responsible for any oversights or imprecisions. AAA Biotech reserves the right to adjust any aspect of this datasheet at any time and without notice. It is the responsibility of the customer to inform AAA Biotech of any product performance issues observed or experienced within 30 days of receipt of said product. To see additional details on this or any of our other policies, please see our Terms & Conditions page.Item has been added to Shopping Cart
If you are ready to order, navigate to Shopping Cart and get ready to checkout.
