Rabbit anti-Human FBXO6 Polyclonal Antibody | anti-FBXO6 antibody
FBXO6 Antibody
Gene Names
FBXO6; FBG2; FBS2; FBX6; Fbx6b
Reactivity
Human
Applications
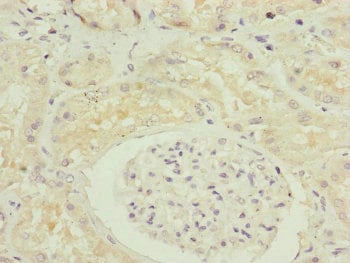
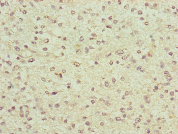
Immunohistochemistry, ELISA
Purity
Antigen Affinity Purified
Synonyms
FBXO6, Antibody; FBXO6 Antibody; F-box only protein 6; F-box protein that recognizes sugar chains 2; F-box/G-domain protein 2; FBXO6; FBG2; FBS2; FBX6; anti-FBXO6 antibody
Host
Rabbit
Reactivity
Human
Clonality
Polyclonal
Isotype
IgG
Purity/Purification
Antigen Affinity Purified
Form/Format
Liquid
Sequence Length
293
Applicable Applications for anti-FBXO6 antibody
IHC (Immunohistochemistry), ELISA
Species
Human
Immunogen
Recombinant human F-box only protein 6 protein (C-190AA)
Conjugate
Non-conjugated
Buffer
PBS with 0.02% sodium azide, 50% glycerol, pH7.3.
Santa Cruz Alternative
Potential replacement for Santa Cruz Biotechnology antibody catalog# sc-101870 / sc-99108
Preparation and Storage
Shipped at 4 degree C. Upon delivery aliquot and store at -20 degree C or -80 degree C. Avoid repeated freeze.
Related Product Information for anti-FBXO6 antibody
Substrate-recognition component of some SCF (SKP1-CUL1-F-box protein)-type E3 ubiquitin ligase complexes. Involved in endoplasmic reticulum-associated degradation pathway (ERAD) for misfolded lumenal proteins by recognizing and binding sugar chains on unfolded glycoproteins that are retrotranlocated into the cytosol and promoting their ubiquitination and subsequent degradation. Able to recognize and bind denatured glycoproteins, which are modified with not only high-mannose but also complex-type oligosaccharides. Also recognizes sulfated glycans. Also involved in DNA damage response by specifically recognizing activated CHEK1 (phosphorylated on 'Ser-345'), promoting its ubiquitination and degradation. Ubiquitination of CHEK1 is required to insure that activated CHEK1 does not accumulate as cells progress through S phase, or when replication forks encounter transient impediments during normal DNA replication.
NCBI and Uniprot Product Information
NCBI GI #
NCBI GeneID
NCBI Accession #
NCBI GenBank Nucleotide #
Molecular Weight
33,933 Da
NCBI Official Full Name
F-box only protein 6
NCBI Official Synonym Full Names
F-box protein 6
NCBI Official Symbol
FBXO6
NCBI Official Synonym Symbols
FBG2; FBS2; FBX6; Fbx6b
NCBI Protein Information
F-box only protein 6
UniProt Protein Name
F-box only protein 6
UniProt Gene Name
FBXO6
UniProt Synonym Gene Names
FBG2; FBS2; FBX6
UniProt Entry Name
FBX6_HUMAN
Customer Reviews
Loading reviews...
Share Your Experience
Similar Products
Product Notes
The FBXO6 fbxo6 (Catalog #AAA231330) is an Antibody produced from Rabbit and is intended for research purposes only. The product is available for immediate purchase. The FBXO6 Antibody reacts with Human and may cross-react with other species as described in the data sheet. AAA Biotech's FBXO6 can be used in a range of immunoassay formats including, but not limited to, IHC (Immunohistochemistry), ELISA. Researchers should empirically determine the suitability of the FBXO6 fbxo6 for an application not listed in the data sheet. Researchers commonly develop new applications and it is an integral, important part of the investigative research process. It is sometimes possible for the material contained within the vial of "FBXO6, Polyclonal Antibody" to become dispersed throughout the inside of the vial, particularly around the seal of said vial, during shipment and storage. We always suggest centrifuging these vials to consolidate all of the liquid away from the lid and to the bottom of the vial prior to opening. Please be advised that certain products may require dry ice for shipping and that, if this is the case, an additional dry ice fee may also be required.Precautions
All products in the AAA Biotech catalog are strictly for research-use only, and are absolutely not suitable for use in any sort of medical, therapeutic, prophylactic, in-vivo, or diagnostic capacity. By purchasing a product from AAA Biotech, you are explicitly certifying that said products will be properly tested and used in line with industry standard. AAA Biotech and its authorized distribution partners reserve the right to refuse to fulfill any order if we have any indication that a purchaser may be intending to use a product outside of our accepted criteria.Disclaimer
Though we do strive to guarantee the information represented in this datasheet, AAA Biotech cannot be held responsible for any oversights or imprecisions. AAA Biotech reserves the right to adjust any aspect of this datasheet at any time and without notice. It is the responsibility of the customer to inform AAA Biotech of any product performance issues observed or experienced within 30 days of receipt of said product. To see additional details on this or any of our other policies, please see our Terms & Conditions page.Item has been added to Shopping Cart
If you are ready to order, navigate to Shopping Cart and get ready to checkout.
