Rabbit anti-Human, Rat FER Polyclonal Antibody | anti-FER antibody
Anti-FER antibody
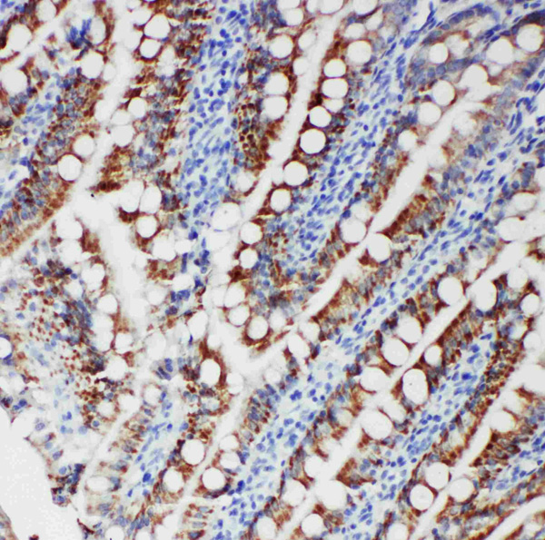
IHC (Immunohiostchemistry)
(Anti-FER antibody, AAA45460, IHC(P)IHC(P): Human Intestinal Cancer Tissue)
WB (Western Blot)
(Anti-FER antibody, AAA45460, Western blottingAll lanes: Anti FER (AAA45460) at 0.5ug/mlLane 1: HELA Whole Cell Lysate at 40ugLane 2: Rat Testis Tissue Lysate at 50ugLane 3: Rat Ovary Tissue Lysate at 50ugPredicted bind size: 95KDObserved bind size: 95KD)
Background: FER(FPS/FES-Related tyrosine kinase) also known as TYK3, is an enzyme that in humans is encoded by the FER gene. Fer protein is a member of the FPS/FES family of nontransmembrane receptor tyrosine kinases. By in situ hybridization, Morris et al.(1990) concluded that the FER gene is located at 5q21-q22. Treatment of cells with JMP resulted in the release of FER from the cadherin complex and its accumulation in the integrin complex. The accumulation of FER in the integrin complex and the inhibitory effects of JMP could be reversed with a peptide that mimics the first coiled-coil domain of FER. The results suggested that FER mediates crosstalk between CDH2 and ITGB1. In Fer mutant mice, leukocyte emigration was exaggerated in response to LPS without altering vascular permeability, suggesting that FER has a role in regulating innate immunity.
NCBI and Uniprot Product Information
Customer Reviews
Loading reviews...
Share Your Experience
Similar Products
Product Notes
The FER fer (Catalog #AAA45460) is an Antibody produced from Rabbit and is intended for research purposes only. The product is available for immediate purchase. The Anti-FER antibody reacts with Human, Rat and may cross-react with other species as described in the data sheet. AAA Biotech's FER can be used in a range of immunoassay formats including, but not limited to, IHC (Immunohistochemistry), WB (Western Blot). Researchers should empirically determine the suitability of the FER fer for an application not listed in the data sheet. Researchers commonly develop new applications and it is an integral, important part of the investigative research process. It is sometimes possible for the material contained within the vial of "FER, Polyclonal Antibody" to become dispersed throughout the inside of the vial, particularly around the seal of said vial, during shipment and storage. We always suggest centrifuging these vials to consolidate all of the liquid away from the lid and to the bottom of the vial prior to opening. Please be advised that certain products may require dry ice for shipping and that, if this is the case, an additional dry ice fee may also be required.Precautions
All products in the AAA Biotech catalog are strictly for research-use only, and are absolutely not suitable for use in any sort of medical, therapeutic, prophylactic, in-vivo, or diagnostic capacity. By purchasing a product from AAA Biotech, you are explicitly certifying that said products will be properly tested and used in line with industry standard. AAA Biotech and its authorized distribution partners reserve the right to refuse to fulfill any order if we have any indication that a purchaser may be intending to use a product outside of our accepted criteria.Disclaimer
Though we do strive to guarantee the information represented in this datasheet, AAA Biotech cannot be held responsible for any oversights or imprecisions. AAA Biotech reserves the right to adjust any aspect of this datasheet at any time and without notice. It is the responsibility of the customer to inform AAA Biotech of any product performance issues observed or experienced within 30 days of receipt of said product. To see additional details on this or any of our other policies, please see our Terms & Conditions page.Item has been added to Shopping Cart
If you are ready to order, navigate to Shopping Cart and get ready to checkout.
