Rabbit anti-Human, Rat FGA Polyclonal Antibody | anti-FGA antibody
FGA Antibody
Phosphate buffered saline, pH 7.4, 150mM NaCl, 0.02% sodium azide and 50% glycerol.
IHC (Immunohiostchemistry)
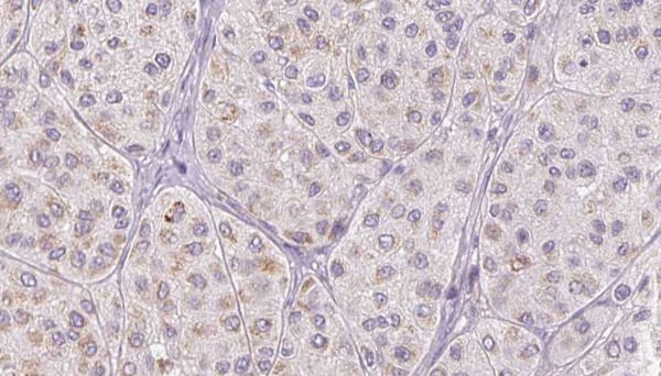
(AAA327355 at 1/100 staining Human melanoma tissue by IHC-P. The sample was formaldehyde fixed and a heat mediated antigen retrieval step in citrate buffer was performed. The sample was then blocked and incubated with the antibody for 1.5 hours at 22 degree C. An HRP conjugated goat anti-rabbit antibody was used as the secondary.)
Subunit Structure: Heterohexamer; disulfide linked. Contains 2 sets of 3 non-identical chains (alpha, beta and gamma). The 2 heterotrimers are in head to head conformation with the N-termini in a small central domain.
Post-translational Modifications: The alpha chain is normally not N-glycosylated (PubMed:23151259), even though glycosylation at Asn-686 was observed when a fragment of the protein was expressed in insect cells (PubMed:9689040). It is well known that heterologous expression of isolated domains can lead to adventitious protein modifications. Besides, glycosylation at Asn-686 is supported by large-scale glycoproteomics studies (PubMed:16335952 and PubMed:19159218), but the evidence is still quite tenuous. Most likely, Asn-686 is not glycosylated in the healthy human body, or only with low efficiency. O-glycosylated. Forms F13A-mediated cross-links between a glutamine and the epsilon-amino group of a lysine residue, forming fibronectin-fibrinogen heteropolymers.About one-third of the alpha chains in the molecules in blood were found to be phosphorylated.Conversion of fibrinogen to fibrin is triggered by thrombin, which cleaves fibrinopeptides A and B from alpha and beta chains, and thus exposes the N-terminal polymerization sites responsible for the formation of the soft clot. The soft clot is converted into the hard clot by factor XIIIA which catalyzes the epsilon-(gamma-glutamyl)lysine cross-linking between gamma chains (stronger) and between alpha chains (weaker) of different monomers. Phosphorylated by FAM20C in the extracellular medium.
Similarity: A long coiled coil structure formed by 3 polypeptide chains connects the central nodule to the C-terminal domains (distal nodules). The long C-terminal ends of the alpha chains fold back, contributing a fourth strand to the coiled coil structure.
NCBI and Uniprot Product Information
Predicted: 95 kDa
Customer Reviews
Loading reviews...
Share Your Experience
Similar Products
Product Notes
The FGA fga (Catalog #AAA327355) is an Antibody produced from Rabbit and is intended for research purposes only. The product is available for immediate purchase. The FGA Antibody reacts with Human, Rat and may cross-react with other species as described in the data sheet. AAA Biotech's FGA can be used in a range of immunoassay formats including, but not limited to, ELISA, IHC (Immunohistochemistry), WB (Western Blot). Researchers should empirically determine the suitability of the FGA fga for an application not listed in the data sheet. Researchers commonly develop new applications and it is an integral, important part of the investigative research process. It is sometimes possible for the material contained within the vial of "FGA, Polyclonal Antibody" to become dispersed throughout the inside of the vial, particularly around the seal of said vial, during shipment and storage. We always suggest centrifuging these vials to consolidate all of the liquid away from the lid and to the bottom of the vial prior to opening. Please be advised that certain products may require dry ice for shipping and that, if this is the case, an additional dry ice fee may also be required.Precautions
All products in the AAA Biotech catalog are strictly for research-use only, and are absolutely not suitable for use in any sort of medical, therapeutic, prophylactic, in-vivo, or diagnostic capacity. By purchasing a product from AAA Biotech, you are explicitly certifying that said products will be properly tested and used in line with industry standard. AAA Biotech and its authorized distribution partners reserve the right to refuse to fulfill any order if we have any indication that a purchaser may be intending to use a product outside of our accepted criteria.Disclaimer
Though we do strive to guarantee the information represented in this datasheet, AAA Biotech cannot be held responsible for any oversights or imprecisions. AAA Biotech reserves the right to adjust any aspect of this datasheet at any time and without notice. It is the responsibility of the customer to inform AAA Biotech of any product performance issues observed or experienced within 30 days of receipt of said product. To see additional details on this or any of our other policies, please see our Terms & Conditions page.Item has been added to Shopping Cart
If you are ready to order, navigate to Shopping Cart and get ready to checkout.
