Rabbit FGF1 Polyclonal Antibody | anti-FGF1 antibody
Anti-FGF1 Antibody
No cross reactivity with other proteins.
No cross reactivity with other proteins.
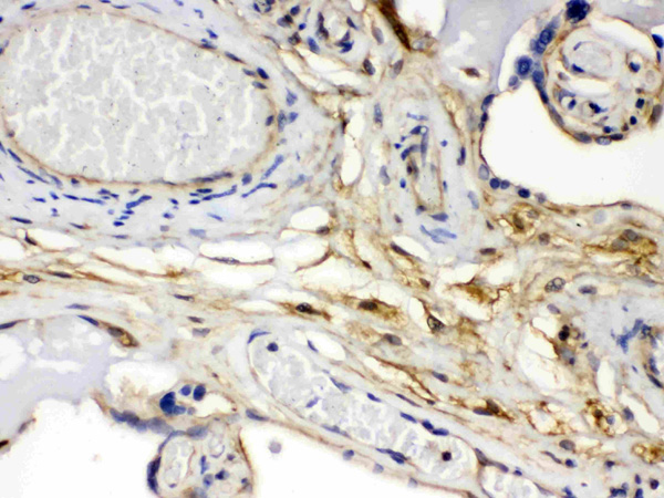
IHC (Immunohistochemistry)
(FGF1 was detected in paraffin-embedded sections of human placenta tissues using rabbit anti- FGF1 Antigen Affinity purified polyclonal antibody at 1ug/mL. The immunohistochemical section was developed using SABC method.)
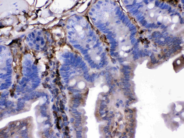
IHC (Immunohistochemisry)
(FGF1 was detected in paraffin-embedded sections of rat intestine tissues using rabbit anti- FGF1 Antigen Affinity purified polyclonal antibody at 1ug/mL. The immunohistochemical section was developed using SABC method.)
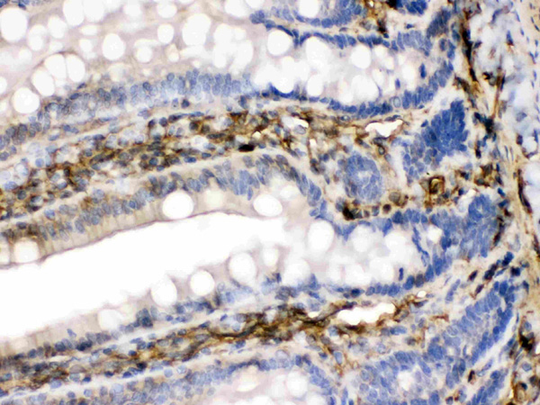
IHC (Immunohiostchemistry)
(FGF1 was detected in paraffin-embedded sections of mouse intestine tissues using rabbit anti- FGF1 Antigen Affinity purified polyclonal antibody at 1ug/mL. The immunohistochemical section was developed using SABC method.)
WB (Western Blot)
(Western blot analysis of FGF1 expression in rat cardiac muscle extract (lane 1). FGF1 at 24KD was detected using rabbit anti- FGF1 Antigen Affinity purified polyclonal antibody at 0.5 ug/mL. The blot was developed using chemiluminescence (ECL) method.)
Background: Fibroblast growth factor 1 (acidic), also known as FGF1/ECGF/HBGF1, is a human gene which is mapped to 5q31. The protein encoded by this gene is a member of the fibroblast growth factor (FGF) family. FGF family members possess broad mitogenic and cell survival activities, and are involved in a variety of biological processes, including embryonic development, cell growth, morphogenesis, tissue repair, tumor growth and invasion. This protein functions as a modifier of endothelial cell migration and proliferation, as well as an angiogenic factor. It also acts as a mitogen for a variety of mesoderm- and neuroectoderm-derived cells in vitro, thus is thought to be involved in organogenesis.
2. Le Beau, M. M.; Espinosa, R., III; Neuman, W. L.; Stock, W.; Roulston, D.; Larson, R. A.; Keinanen, M.; Westbrook, C. A. : Cytogenetic and molecular delineation of the smallest commonly deleted region of chromosome 5 in malignant myeloid diseases. Proc. Nat. Acad. Sci. 90: 5484-5488, 1993.
3. Mergia, A.; Eddy, R.; Abraham, J. A.; Fiddes, J. C.; Shows, T. B. : The genes for basic and acidic fibroblast growth factors are on different human chromosomes. Biochem. Biophys. Res. Commun. 138: 644-651, 1986.
NCBI and Uniprot Product Information
Customer Reviews
Loading reviews...
Share Your Experience
Similar Products
Product Notes
The FGF1 fgf1 (Catalog #AAA46617) is an Antibody produced from Rabbit and is intended for research purposes only. The product is available for immediate purchase. The Anti-FGF1 Antibody reacts with Human, Mouse, Rat No cross reactivity with other proteins. and may cross-react with other species as described in the data sheet. AAA Biotech's FGF1 can be used in a range of immunoassay formats including, but not limited to, ELISA, IHC (Immunohistochemistry), WB (Western Blot). Researchers should empirically determine the suitability of the FGF1 fgf1 for an application not listed in the data sheet. Researchers commonly develop new applications and it is an integral, important part of the investigative research process. It is sometimes possible for the material contained within the vial of "FGF1, Polyclonal Antibody" to become dispersed throughout the inside of the vial, particularly around the seal of said vial, during shipment and storage. We always suggest centrifuging these vials to consolidate all of the liquid away from the lid and to the bottom of the vial prior to opening. Please be advised that certain products may require dry ice for shipping and that, if this is the case, an additional dry ice fee may also be required.Precautions
All products in the AAA Biotech catalog are strictly for research-use only, and are absolutely not suitable for use in any sort of medical, therapeutic, prophylactic, in-vivo, or diagnostic capacity. By purchasing a product from AAA Biotech, you are explicitly certifying that said products will be properly tested and used in line with industry standard. AAA Biotech and its authorized distribution partners reserve the right to refuse to fulfill any order if we have any indication that a purchaser may be intending to use a product outside of our accepted criteria.Disclaimer
Though we do strive to guarantee the information represented in this datasheet, AAA Biotech cannot be held responsible for any oversights or imprecisions. AAA Biotech reserves the right to adjust any aspect of this datasheet at any time and without notice. It is the responsibility of the customer to inform AAA Biotech of any product performance issues observed or experienced within 30 days of receipt of said product. To see additional details on this or any of our other policies, please see our Terms & Conditions page.Item has been added to Shopping Cart
If you are ready to order, navigate to Shopping Cart and get ready to checkout.
