Rabbit anti-Human FGF18 Polyclonal Antibody | anti-FGF18 antibody
FGF18 Antibody
Gene Names
FGF18; ZFGF5; FGF-18
Reactivity
Human
Applications
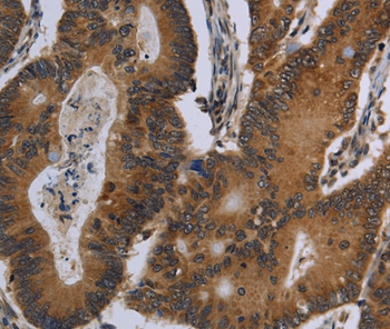
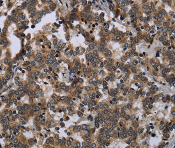
Immunohistochemistry
Purity
Antigen affinity purification.
Synonyms
FGF18, Antibody; FGF18 Antibody; ZFGF5; FGF-18; anti-FGF18 antibody
Host
Rabbit
Reactivity
Human
Clonality
Polyclonal
Specificity
The antibody detects endogenous levels of total FGF18 protein.
Purity/Purification
Antigen affinity purification.
Form/Format
Rabbit IgG in pH7.3 PBS, 0.05% NaN3, 50% Glycerol.
Concentration
1 mg/ml (varies by lot)
Sequence Length
207
Applicable Applications for anti-FGF18 antibody
IHC (Immunohistochemistry)
Immunogen Type
Recombinant Protein
Immunogen Description
Fusion protein corresponding to a region derived from internal residues of human fibroblast growth factor 18
Target Name
FGF18
Preparation and Storage
Store at -20 degree C
Related Product Information for anti-FGF18 antibody
The protein encoded by this gene is a member of the fibroblast growth factor (FGF) family. FGF family members possess broad mitogenic and cell survival activities, and are involved in a variety of biological processes, including embryonic development, cell growth, morphogenesis, tissue repair, tumor growth, and invasion. It has been shown in vitro that this protein is able to induce neurite outgrowth in PC12 cells. Studies of the similar proteins in mouse and chick suggested that this protein is a pleiotropic growth factor that stimulates proliferation in a number of tissues, most notably the liver and small intestine. Knockout studies of the similar gene in mice implied the role of this protein in regulating proliferation and differentiation of midline cerebellar structures.
Product Categories/Family for anti-FGF18 antibody
NCBI and Uniprot Product Information
NCBI GI #
NCBI GeneID
NCBI Accession #
NCBI GenBank Nucleotide #
Molecular Weight
23,989 Da
NCBI Official Full Name
fibroblast growth factor 18
NCBI Official Synonym Full Names
fibroblast growth factor 18
NCBI Official Symbol
FGF18
NCBI Official Synonym Symbols
ZFGF5; FGF-18
NCBI Protein Information
fibroblast growth factor 18
UniProt Protein Name
Fibroblast growth factor 18
UniProt Gene Name
FGF18
UniProt Synonym Gene Names
FGF-18
UniProt Entry Name
FGF18_HUMAN
Customer Reviews
Loading reviews...
Share Your Experience
Similar Products
Product Notes
The FGF18 fgf18 (Catalog #AAA302679) is an Antibody produced from Rabbit and is intended for research purposes only. The product is available for immediate purchase. The FGF18 Antibody reacts with Human and may cross-react with other species as described in the data sheet. AAA Biotech's FGF18 can be used in a range of immunoassay formats including, but not limited to, IHC (Immunohistochemistry). Researchers should empirically determine the suitability of the FGF18 fgf18 for an application not listed in the data sheet. Researchers commonly develop new applications and it is an integral, important part of the investigative research process. It is sometimes possible for the material contained within the vial of "FGF18, Polyclonal Antibody" to become dispersed throughout the inside of the vial, particularly around the seal of said vial, during shipment and storage. We always suggest centrifuging these vials to consolidate all of the liquid away from the lid and to the bottom of the vial prior to opening. Please be advised that certain products may require dry ice for shipping and that, if this is the case, an additional dry ice fee may also be required.Precautions
All products in the AAA Biotech catalog are strictly for research-use only, and are absolutely not suitable for use in any sort of medical, therapeutic, prophylactic, in-vivo, or diagnostic capacity. By purchasing a product from AAA Biotech, you are explicitly certifying that said products will be properly tested and used in line with industry standard. AAA Biotech and its authorized distribution partners reserve the right to refuse to fulfill any order if we have any indication that a purchaser may be intending to use a product outside of our accepted criteria.Disclaimer
Though we do strive to guarantee the information represented in this datasheet, AAA Biotech cannot be held responsible for any oversights or imprecisions. AAA Biotech reserves the right to adjust any aspect of this datasheet at any time and without notice. It is the responsibility of the customer to inform AAA Biotech of any product performance issues observed or experienced within 30 days of receipt of said product. To see additional details on this or any of our other policies, please see our Terms & Conditions page.Item has been added to Shopping Cart
If you are ready to order, navigate to Shopping Cart and get ready to checkout.
