Rabbit FGFR4 Polyclonal Antibody | anti-FGFR4 antibody
Phospho-FGFR4 (Tyr642) Antibody
Predicted: Zebrafish, Bovine, Horse, Sheep, Rabbit, Dog, Chicken, Xenopus
Predicted: Zebrafish, Bovine, Horse, Sheep, Rabbit, Dog, Chicken, Xenopus
WB (Western Blot)
(Western blot analysis of Phospho-FGFR4 (Tyr642) in lysates of Jurkat, using Phospho-FGFR4 (Tyr642) Antibody.)
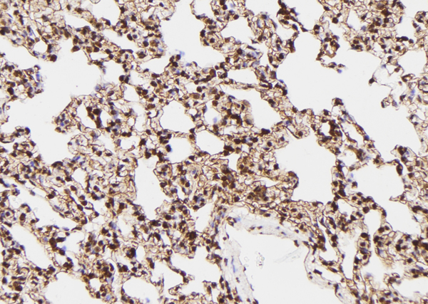
IHC (Immunohistochemistry)
(At 1/100 staining rat lung tissue sections by IHC-P. The tissue was formaldehyde fixed and a heat mediated antigen retrieval step in citrate buffer was performed. The tissue was then blocked and incubated with the antibody for 1.5 hours at 22 degree C. An HRP conjugated goat anti-rabbit antibody was used as the secondary)
Post Translational Modifications: N-glycosylated. Full maturation of the glycan chains in the Golgi is essential for high affinity interaction with FGF19. Ubiquitinated. Subject to proteasomal degradation when not fully glycosylated. Autophosphorylated. Binding of FGF family members together with heparan sulfate proteoglycan or heparin promotes receptor dimerization and autophosphorylation on tyrosine residues. Autophosphorylation occurs in trans between the two FGFR molecules present in the dimer.
Subunit Structure: Monomer. Homodimer after ligand binding. Interacts with FGF1, FGF2, FGF4, FGF6, FGF8, FGF9, FGF16, FGF17, FGF18, FGF19, FGF21 and FGF23 (in vitro). Binding affinity for FGF family members is enhanced by interactions between FGFs and heparan sulfate proteoglycans. Interacts with KLB; this strongly increases the affinity for FGF19 and FGF23. Affinity for FGF19 is strongly increased by KLB and sulfated glycosaminoglycans. KLB and KL both interact with the core-glycosylated FGFR4 in the endoplasmic reticulum and promote its degradation, so that only FGFR4 with fully mature N-glycans is expressed at the cell surface. Identified in a complex with NCAM1, CDH2, PLCG1, FRS2, SRC, SHC1, GAP43 and CTTN. Interacts with MMP14 and HIP1 (PubMed:11433297, PubMed:16597617, PubMed:17623664, PubMed:18670643, PubMed:20683963, PubMed:20798051, PubMed:21653700, PubMed:7518429, PubMed:8663044). Interacts with STAT3 (PubMed:26675719).
Similarity: Belongs to the protein kinase superfamily. Tyr protein kinase family. Fibroblast growth factor receptor subfamily.
NCBI and Uniprot Product Information
Predicted: 88 kDa
Customer Reviews
Loading reviews...
Share Your Experience
Similar Products
Product Notes
The FGFR4 fgfr4 (Catalog #AAA328416) is an Antibody produced from Rabbit and is intended for research purposes only. The product is available for immediate purchase. The Phospho-FGFR4 (Tyr642) Antibody reacts with Human, Mouse, Rat Predicted: Zebrafish, Bovine, Horse, Sheep, Rabbit, Dog, Chicken, Xenopus and may cross-react with other species as described in the data sheet. AAA Biotech's FGFR4 can be used in a range of immunoassay formats including, but not limited to, ELISA (Peptide ELISA), IHC (Immunohistochemistry), WB (Western Blot). Researchers should empirically determine the suitability of the FGFR4 fgfr4 for an application not listed in the data sheet. Researchers commonly develop new applications and it is an integral, important part of the investigative research process. It is sometimes possible for the material contained within the vial of "FGFR4, Polyclonal Antibody" to become dispersed throughout the inside of the vial, particularly around the seal of said vial, during shipment and storage. We always suggest centrifuging these vials to consolidate all of the liquid away from the lid and to the bottom of the vial prior to opening. Please be advised that certain products may require dry ice for shipping and that, if this is the case, an additional dry ice fee may also be required.Precautions
All products in the AAA Biotech catalog are strictly for research-use only, and are absolutely not suitable for use in any sort of medical, therapeutic, prophylactic, in-vivo, or diagnostic capacity. By purchasing a product from AAA Biotech, you are explicitly certifying that said products will be properly tested and used in line with industry standard. AAA Biotech and its authorized distribution partners reserve the right to refuse to fulfill any order if we have any indication that a purchaser may be intending to use a product outside of our accepted criteria.Disclaimer
Though we do strive to guarantee the information represented in this datasheet, AAA Biotech cannot be held responsible for any oversights or imprecisions. AAA Biotech reserves the right to adjust any aspect of this datasheet at any time and without notice. It is the responsibility of the customer to inform AAA Biotech of any product performance issues observed or experienced within 30 days of receipt of said product. To see additional details on this or any of our other policies, please see our Terms & Conditions page.Item has been added to Shopping Cart
If you are ready to order, navigate to Shopping Cart and get ready to checkout.
