Rabbit anti-Human FHL5 Polyclonal Antibody | anti-FHL5 antibody
FHL5 Antibody
Gene Names
FHL5; ACT; dJ393D12.2
Reactivity
Human
Applications
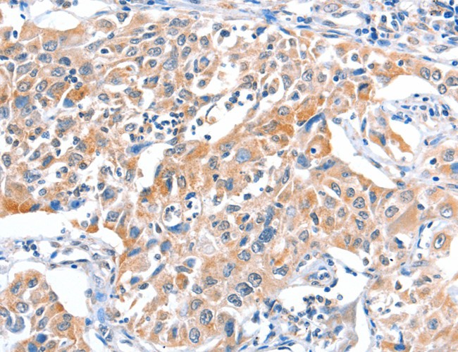
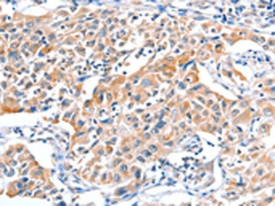
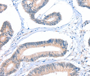
Immunohistochemistry
Purity
Antigen affinity purification.
Synonyms
FHL5, Antibody; FHL5 Antibody; ACT; dJ393D12.2; RP3-393D12.2; anti-FHL5 antibody
Host
Rabbit
Reactivity
Human
Clonality
Polyclonal
Specificity
The antibody detects endogenous levels of total FHL5 protein.
Purity/Purification
Antigen affinity purification.
Form/Format
Rabbit IgG in pH7.3 PBS, 0.05% NaN3, 50% Glycerol.
Concentration
0.9 mg/ml (varies by lot)
Sequence Length
284
Applicable Applications for anti-FHL5 antibody
IHC (Immunohistochemistry)
Immunogen Type
Recombinant Protein
Immunogen Description
Fusion protein corresponding to a region derived from internal residues of human four and a half LIM domains 5
Target Name
FHL5
Preparation and Storage
Store at -20 degree C
Related Product Information for anti-FHL5 antibody
The protein encoded by this gene is coordinately expressed with activator of cAMP-responsive element modulator (CREM). It is associated with CREM and confers a powerful transcriptional activation function. CREM acts as a transcription factor essential for the differentiation of spermatids into mature spermatozoa. There are multiple polyadenylation sites found in this gene. Alternative splicing results in multiple transcript variants encoding the same protein.
Product Categories/Family for anti-FHL5 antibody
NCBI and Uniprot Product Information
NCBI GI #
NCBI GeneID
NCBI Accession #
NCBI GenBank Nucleotide #
Molecular Weight
32,720 Da
NCBI Official Full Name
four and a half LIM domains protein 5
NCBI Official Synonym Full Names
four and a half LIM domains 5
NCBI Official Symbol
FHL5
NCBI Official Synonym Symbols
ACT; dJ393D12.2
NCBI Protein Information
four and a half LIM domains protein 5
UniProt Protein Name
Four and a half LIM domains protein 5
UniProt Gene Name
FHL5
UniProt Synonym Gene Names
ACT; FHL-5; Activator of CREM in testis
UniProt Entry Name
FHL5_HUMAN
Customer Reviews
Loading reviews...
Share Your Experience
Similar Products
Product Notes
The FHL5 fhl5 (Catalog #AAA306768) is an Antibody produced from Rabbit and is intended for research purposes only. The product is available for immediate purchase. The FHL5 Antibody reacts with Human and may cross-react with other species as described in the data sheet. AAA Biotech's FHL5 can be used in a range of immunoassay formats including, but not limited to, IHC (Immunohistochemistry). Researchers should empirically determine the suitability of the FHL5 fhl5 for an application not listed in the data sheet. Researchers commonly develop new applications and it is an integral, important part of the investigative research process. It is sometimes possible for the material contained within the vial of "FHL5, Polyclonal Antibody" to become dispersed throughout the inside of the vial, particularly around the seal of said vial, during shipment and storage. We always suggest centrifuging these vials to consolidate all of the liquid away from the lid and to the bottom of the vial prior to opening. Please be advised that certain products may require dry ice for shipping and that, if this is the case, an additional dry ice fee may also be required.Precautions
All products in the AAA Biotech catalog are strictly for research-use only, and are absolutely not suitable for use in any sort of medical, therapeutic, prophylactic, in-vivo, or diagnostic capacity. By purchasing a product from AAA Biotech, you are explicitly certifying that said products will be properly tested and used in line with industry standard. AAA Biotech and its authorized distribution partners reserve the right to refuse to fulfill any order if we have any indication that a purchaser may be intending to use a product outside of our accepted criteria.Disclaimer
Though we do strive to guarantee the information represented in this datasheet, AAA Biotech cannot be held responsible for any oversights or imprecisions. AAA Biotech reserves the right to adjust any aspect of this datasheet at any time and without notice. It is the responsibility of the customer to inform AAA Biotech of any product performance issues observed or experienced within 30 days of receipt of said product. To see additional details on this or any of our other policies, please see our Terms & Conditions page.Item has been added to Shopping Cart
If you are ready to order, navigate to Shopping Cart and get ready to checkout.
