Rabbit anti-Human Fibrillin-1 Polyclonal Antibody | anti-FBN1 antibody
Fibrillin-1 Antibody
Gene Names
FBN1; FBN; SGS; WMS; MASS; MFS1; OCTD; SSKS; WMS2; ACMICD; ECTOL1; GPHYSD2
Reactivity
Human
Applications
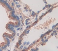
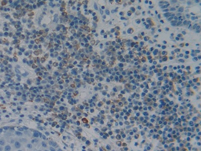
Immunohistochemistry
Purity
The antibody was affinity-purified from rabbit antiserum by affinity-chromatography using epitope-specific immunogen.
Synonyms
Fibrillin-1, Antibody; Fibrillin-1 Antibody; MASS; MFS1; OCTD; SGS; WMS; anti-FBN1 antibody
Host
Rabbit
Reactivity
Human
Clonality
Polyclonal
Specificity
The antibody detects endogenous levels of total Fibrillin-1 protein.
Purity/Purification
The antibody was affinity-purified from rabbit antiserum by affinity-chromatography using epitope-specific immunogen.
Form/Format
Rabbit IgG in phosphate buffered saline (without Mg2+ and Ca2+), pH 7.4, 150mM NaCl, 0.02% sodium azide and 50% glycerol.
Concentration
1.0 mg/ml (varies by lot)
Applicable Applications for anti-FBN1 antibody
IHC (Immunohistochemistry)
Immunogen Type
Peptide
Immunogen Description
Synthesized peptide derived from human Fibrillin-1.
Preparation and Storage
Store at -20 degree C
Related Product Information for anti-FBN1 antibody
Fibrillins are structural components of 10-12 nm extracellular calcium-binding microfibrils, which occur either in association with elastin or in elastin-free bundles. Fibrillin-1-containing microfibrils provide long-term force bearing structural support. Regulates osteoblast maturation by controlling TGF-beta bioavailability and calibrating TGF-beta and BMP levels, respectively.
Product Categories/Family for anti-FBN1 antibody
NCBI and Uniprot Product Information
NCBI GI #
NCBI GeneID
NCBI Accession #
NCBI GenBank Nucleotide #
Molecular Weight
312kd by SDS-PAGE
NCBI Official Full Name
fibrillin-1
NCBI Official Synonym Full Names
fibrillin 1
NCBI Official Symbol
FBN1
NCBI Official Synonym Symbols
FBN; SGS; WMS; MASS; MFS1; OCTD; SSKS; WMS2; ACMICD; ECTOL1; GPHYSD2
NCBI Protein Information
fibrillin-1
UniProt Protein Name
Fibrillin-1
UniProt Gene Name
FBN1
UniProt Synonym Gene Names
FBN
UniProt Entry Name
FBN1_HUMAN
Customer Reviews
Loading reviews...
Share Your Experience
Similar Products
Product Notes
The FBN1 fbn1 (Catalog #AAA307869) is an Antibody produced from Rabbit and is intended for research purposes only. The product is available for immediate purchase. The Fibrillin-1 Antibody reacts with Human and may cross-react with other species as described in the data sheet. AAA Biotech's Fibrillin-1 can be used in a range of immunoassay formats including, but not limited to, IHC (Immunohistochemistry). Researchers should empirically determine the suitability of the FBN1 fbn1 for an application not listed in the data sheet. Researchers commonly develop new applications and it is an integral, important part of the investigative research process. It is sometimes possible for the material contained within the vial of "Fibrillin-1, Polyclonal Antibody" to become dispersed throughout the inside of the vial, particularly around the seal of said vial, during shipment and storage. We always suggest centrifuging these vials to consolidate all of the liquid away from the lid and to the bottom of the vial prior to opening. Please be advised that certain products may require dry ice for shipping and that, if this is the case, an additional dry ice fee may also be required.Precautions
All products in the AAA Biotech catalog are strictly for research-use only, and are absolutely not suitable for use in any sort of medical, therapeutic, prophylactic, in-vivo, or diagnostic capacity. By purchasing a product from AAA Biotech, you are explicitly certifying that said products will be properly tested and used in line with industry standard. AAA Biotech and its authorized distribution partners reserve the right to refuse to fulfill any order if we have any indication that a purchaser may be intending to use a product outside of our accepted criteria.Disclaimer
Though we do strive to guarantee the information represented in this datasheet, AAA Biotech cannot be held responsible for any oversights or imprecisions. AAA Biotech reserves the right to adjust any aspect of this datasheet at any time and without notice. It is the responsibility of the customer to inform AAA Biotech of any product performance issues observed or experienced within 30 days of receipt of said product. To see additional details on this or any of our other policies, please see our Terms & Conditions page.Item has been added to Shopping Cart
If you are ready to order, navigate to Shopping Cart and get ready to checkout.
