Rabbit anti-Mouse Fibroblast growth factor 1 Polyclonal Antibody | anti-Fgf1 antibody
Fibroblast growth factor 1 Polyclonal Antibody
Gene Names
Fgf1; Fam; Fgfa; Dffrx; Fgf-1
Reactivity
Mouse
Applications
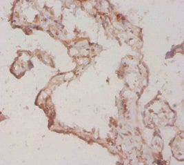
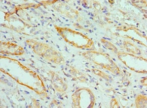
Immunohistochemistry, Western Blot
Purity
Caprylic Acid Ammonium Sulfate Precipitation purified
Synonyms
Fibroblast growth factor 1, Antibody; Fibroblast growth factor 1 Polyclonal Antibody; Acidic fibroblast growth factor; Heparin-binding growth factor 1; Fgf1; Fgf-1; Fgfa; anti-Fgf1 antibody
Host
Rabbit
Reactivity
Mouse
Clonality
Polyclonal
Specificity
The antibody detects endogenous level of total Fibroblast growth factor 1 polyclonal antibody.
Purity/Purification
Caprylic Acid Ammonium Sulfate Precipitation purified
Form/Format
Preservative: 0.03% Proclin 300 Constituents: 50% Glycerol, 0.01M PBS, PH 7.4
Concentration
1.0 mg/ml (varies by lot)
Sequence Length
155
Applicable Applications for anti-Fgf1 antibody
IHC (Immunohistochemistry), WB (Western Blot)
Immunogen
Recombinant mouse Fibroblast growth factor 1 protein
Immunogen Type
Protein
Preparation and Storage
Store at -20 degree C
Related Product Information for anti-Fgf1 antibody
Plays an important role in the regulation of cell survival, cell division, angiogenesis, cell differentiation and cell migration. Functions as potent mitogen in vitro.
Product Categories/Family for anti-Fgf1 antibody
NCBI and Uniprot Product Information
NCBI GI #
NCBI GeneID
NCBI Accession #
NCBI GenBank Nucleotide #
Molecular Weight
17,418 Da
NCBI Official Full Name
fibroblast growth factor 1
NCBI Official Synonym Full Names
fibroblast growth factor 1
NCBI Official Symbol
Fgf1
NCBI Official Synonym Symbols
Fam; Fgfa; Dffrx; Fgf-1
NCBI Protein Information
fibroblast growth factor 1
UniProt Protein Name
Fibroblast growth factor 1
UniProt Gene Name
Fgf1
UniProt Synonym Gene Names
Fgf-1; Fgfa; FGF-1; aFGF; HBGF-1
UniProt Entry Name
FGF1_MOUSE
Customer Reviews
Loading reviews...
Share Your Experience
Similar Products
Product Notes
The Fgf1 fgf1 (Catalog #AAA308787) is an Antibody produced from Rabbit and is intended for research purposes only. The product is available for immediate purchase. The Fibroblast growth factor 1 Polyclonal Antibody reacts with Mouse and may cross-react with other species as described in the data sheet. AAA Biotech's Fibroblast growth factor 1 can be used in a range of immunoassay formats including, but not limited to, IHC (Immunohistochemistry), WB (Western Blot). Researchers should empirically determine the suitability of the Fgf1 fgf1 for an application not listed in the data sheet. Researchers commonly develop new applications and it is an integral, important part of the investigative research process. It is sometimes possible for the material contained within the vial of "Fibroblast growth factor 1, Polyclonal Antibody" to become dispersed throughout the inside of the vial, particularly around the seal of said vial, during shipment and storage. We always suggest centrifuging these vials to consolidate all of the liquid away from the lid and to the bottom of the vial prior to opening. Please be advised that certain products may require dry ice for shipping and that, if this is the case, an additional dry ice fee may also be required.Precautions
All products in the AAA Biotech catalog are strictly for research-use only, and are absolutely not suitable for use in any sort of medical, therapeutic, prophylactic, in-vivo, or diagnostic capacity. By purchasing a product from AAA Biotech, you are explicitly certifying that said products will be properly tested and used in line with industry standard. AAA Biotech and its authorized distribution partners reserve the right to refuse to fulfill any order if we have any indication that a purchaser may be intending to use a product outside of our accepted criteria.Disclaimer
Though we do strive to guarantee the information represented in this datasheet, AAA Biotech cannot be held responsible for any oversights or imprecisions. AAA Biotech reserves the right to adjust any aspect of this datasheet at any time and without notice. It is the responsibility of the customer to inform AAA Biotech of any product performance issues observed or experienced within 30 days of receipt of said product. To see additional details on this or any of our other policies, please see our Terms & Conditions page.Item has been added to Shopping Cart
If you are ready to order, navigate to Shopping Cart and get ready to checkout.
