Rabbit Flt-4 Polyclonal Antibody | anti-Flt-4 antibody
Flt-4 Polyclonal Antibody
Gene Names
FLT4; PCL; FLT41; LMPH1A; VEGFR3
Reactivity
Human, Mouse, Rat
Applications
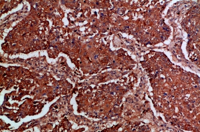
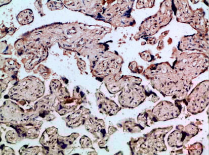
Immunohistochemistry
Synonyms
Flt-4, Antibody; Flt-4 Polyclonal Antibody; Vascular endothelial growth factor receptor 3 (VEGFR-3)(EC 2.7.10.1)(Fms-like tyrosine kinase 4)(FLT-4)(Tyrosine-protein kinase receptor FLT4); anti-Flt-4 antibody
Host
Rabbit
Reactivity
Human, Mouse, Rat
Clonality
Polyclonal
Applicable Applications for anti-Flt-4 antibody
IHC (Immunohistochemistry)
Preparation and Storage
Maintain refrigerated at 2-8 degree C for up to 2 weeks. For long term storage store at -20 degree C in small aliquots to prevent freeze-thaw cycles.
Related Product Information for anti-Flt-4 antibody
Tyrosine-protein kinase that acts as a cell-surface receptor for VEGFC and VEGFD, and plays an essential role in adult lymphangiogenesis and in the development of the vascular network and the cardiovascular system during embryonic development. Promotes proliferation, survival and migration of endothelial cells, and regulates angiogenic sprouting. Signaling by activated FLT4 leads to enhanced production of VEGFC, and to a lesser degree VEGFA, thereby creating a positive feedback loop that enhances FLT4 signaling. Modulates KDR signaling by forming heterodimers. The secreted isoform 3 may function as a decoy receptor for VEGFC and/or VEGFD and play an important role as a negative regulator of VEGFC-mediated lymphangiogenesis and angiogenesis. Binding of vascular growth factors to isoform 1 or isoform 2 leads to the activation of several signaling cascades; isoform 2 seems to be less efficient in signal transduction, because it has a truncated C-terminus and therefore lacks several phosphorylation sites. Mediates activation of the MAPK1/ERK2, MAPK3/ERK1 signaling pathway, of MAPK8 and the JUN signaling pathway, and of the AKT1 signaling pathway. Phosphorylates SHC1. Mediates phosphorylation of PIK3R1, the regulatory subunit of phosphatidylinositol 3- kinase. Promotes phosphorylation of MAPK8 at 'Thr-183' and 'Tyr- 185', and of AKT1 at 'Ser-473'.
NCBI and Uniprot Product Information
NCBI GI #
NCBI GeneID
NCBI Accession #
NCBI GenBank Nucleotide #
Molecular Weight
152,757 Da
NCBI Official Full Name
vascular endothelial growth factor receptor 3 isoform 1
NCBI Official Synonym Full Names
fms-related tyrosine kinase 4
NCBI Official Symbol
FLT4
NCBI Official Synonym Symbols
PCL; FLT41; LMPH1A; VEGFR3
NCBI Protein Information
vascular endothelial growth factor receptor 3; FLT-4; VEGFR-3; soluble VEGFR3 variant 1; soluble VEGFR3 variant 2; soluble VEGFR3 variant 3; fms-like tyrosine kinase 4; tyrosine-protein kinase receptor FLT4
UniProt Protein Name
Vascular endothelial growth factor receptor 3
UniProt Gene Name
FLT4
UniProt Synonym Gene Names
VEGFR3; VEGFR-3; FLT-4
UniProt Entry Name
VGFR3_HUMAN
Customer Reviews
Loading reviews...
Share Your Experience
Similar Products
Product Notes
The Flt-4 flt4 (Catalog #AAA296616) is an Antibody produced from Rabbit and is intended for research purposes only. The product is available for immediate purchase. The Flt-4 Polyclonal Antibody reacts with Human, Mouse, Rat and may cross-react with other species as described in the data sheet. AAA Biotech's Flt-4 can be used in a range of immunoassay formats including, but not limited to, IHC (Immunohistochemistry). Researchers should empirically determine the suitability of the Flt-4 flt4 for an application not listed in the data sheet. Researchers commonly develop new applications and it is an integral, important part of the investigative research process. It is sometimes possible for the material contained within the vial of "Flt-4, Polyclonal Antibody" to become dispersed throughout the inside of the vial, particularly around the seal of said vial, during shipment and storage. We always suggest centrifuging these vials to consolidate all of the liquid away from the lid and to the bottom of the vial prior to opening. Please be advised that certain products may require dry ice for shipping and that, if this is the case, an additional dry ice fee may also be required.Precautions
All products in the AAA Biotech catalog are strictly for research-use only, and are absolutely not suitable for use in any sort of medical, therapeutic, prophylactic, in-vivo, or diagnostic capacity. By purchasing a product from AAA Biotech, you are explicitly certifying that said products will be properly tested and used in line with industry standard. AAA Biotech and its authorized distribution partners reserve the right to refuse to fulfill any order if we have any indication that a purchaser may be intending to use a product outside of our accepted criteria.Disclaimer
Though we do strive to guarantee the information represented in this datasheet, AAA Biotech cannot be held responsible for any oversights or imprecisions. AAA Biotech reserves the right to adjust any aspect of this datasheet at any time and without notice. It is the responsibility of the customer to inform AAA Biotech of any product performance issues observed or experienced within 30 days of receipt of said product. To see additional details on this or any of our other policies, please see our Terms & Conditions page.Item has been added to Shopping Cart
If you are ready to order, navigate to Shopping Cart and get ready to checkout.
