Rabbit anti-Human, Mouse FLT3 Polyclonal Antibody | anti-FLT3 antibody
Phospho-FLT3 (Tyr969) Antibody
Phosphate buffered saline, pH 7.4, 150mM NaCl, 0.02% sodium azide and 50% glycerol.
WB (Western Blot)
(Western blot analysis of extracts of Baf3/FLT3 cells treated with FLT3 ligand (FL), using Phospho-FLT3 (Tyr969) Antibody.)
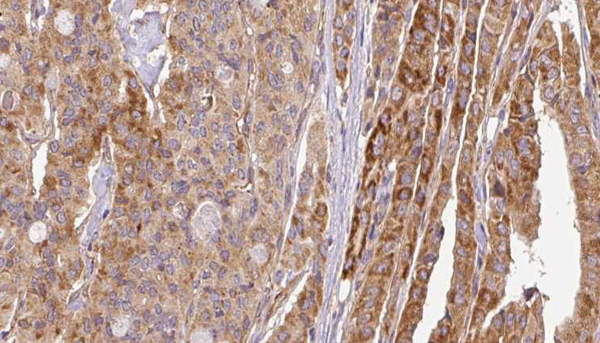
IHC (Immunohistochemistry)
(AAA321326 at 1/100 staining Human thyroid cancer tissue by IHC-P. The sample was formaldehyde fixed and a heat mediated antigen retrieval step in citrate buffer was performed. The sample was then blocked and incubated with the antibody for 1.5 hours at 22 degree C. An HRP conjugated goat anti-rabbit antibody was used as the secondary.)
Subunit Structure: Monomer in the absence of bound FLT3LG. Homodimer in the presence of bound FLT3LG. Interacts with FIZ1 following ligand activation (By similarity). Interacts with FES, FER, LYN, FGR, HCK, SRC and GRB2. Interacts with PTPRJ/DEP-1 and PTPN11/SHP2. Interacts with RNF115 and RNF126 (By similarity).
Post-translational Modifications: N-glycosylated, contains complex N-glycans with sialic acid. Autophosphorylated on several tyrosine residues in response to FLT3LG binding. FLT3LG binding also increases phosphorylation of mutant kinases that are constitutively activated. Dephosphorylated by PTPRJ/DEP-1, PTPN1, PTPN6/SHP-1, and to a lesser degree by PTPN12. Dephosphorylation is important for export from the endoplasmic reticulum and location at the cell membrane. Rapidly ubiquitinated by UBE2L6 and the E3 ubiquitin-protein ligase SIAH1 after autophosphorylation, leading to its proteasomal degradation.
Similarity: The juxtamembrane autoregulatory region is important for normal regulation of the kinase activity and for maintaining the kinase in an inactive state in the absence of bound ligand. Upon tyrosine phosphorylation, it mediates interaction with the SH2 domains of numerous signaling partners. In-frame internal tandem duplications (ITDs) result in constitutive activation of the kinase. The activity of the mutant kinase can be stimulated further by FLT3LG binding. Belongs to the protein kinase superfamily. Tyr protein kinase family. CSF-1/PDGF receptor subfamily.
NCBI and Uniprot Product Information
Predicted: 113 kDa
Customer Reviews
Loading reviews...
Share Your Experience
Similar Products
Product Notes
The FLT3 flt3 (Catalog #AAA321326) is an Antibody produced from Rabbit and is intended for research purposes only. The product is available for immediate purchase. The Phospho-FLT3 (Tyr969) Antibody reacts with Human, Mouse and may cross-react with other species as described in the data sheet. AAA Biotech's FLT3 can be used in a range of immunoassay formats including, but not limited to, IHC (Immunohistochemistry), WB (Western Blot). Researchers should empirically determine the suitability of the FLT3 flt3 for an application not listed in the data sheet. Researchers commonly develop new applications and it is an integral, important part of the investigative research process. It is sometimes possible for the material contained within the vial of "FLT3, Polyclonal Antibody" to become dispersed throughout the inside of the vial, particularly around the seal of said vial, during shipment and storage. We always suggest centrifuging these vials to consolidate all of the liquid away from the lid and to the bottom of the vial prior to opening. Please be advised that certain products may require dry ice for shipping and that, if this is the case, an additional dry ice fee may also be required.Precautions
All products in the AAA Biotech catalog are strictly for research-use only, and are absolutely not suitable for use in any sort of medical, therapeutic, prophylactic, in-vivo, or diagnostic capacity. By purchasing a product from AAA Biotech, you are explicitly certifying that said products will be properly tested and used in line with industry standard. AAA Biotech and its authorized distribution partners reserve the right to refuse to fulfill any order if we have any indication that a purchaser may be intending to use a product outside of our accepted criteria.Disclaimer
Though we do strive to guarantee the information represented in this datasheet, AAA Biotech cannot be held responsible for any oversights or imprecisions. AAA Biotech reserves the right to adjust any aspect of this datasheet at any time and without notice. It is the responsibility of the customer to inform AAA Biotech of any product performance issues observed or experienced within 30 days of receipt of said product. To see additional details on this or any of our other policies, please see our Terms & Conditions page.Item has been added to Shopping Cart
If you are ready to order, navigate to Shopping Cart and get ready to checkout.
