Rabbit FOLR2 Polyclonal Antibody | anti-FOLR2 antibody
FOLR2 Antibody - C-terminal region
Predicted: Cow, Dog, Guinea Pig, Horse, Mouse, Pig, Rabbit, Rat
Predicted: Cow, Dog, Guinea Pig, Horse, Mouse, Pig, Rabbit, Rat
Application Data
(Surface Plasmon Resonance Kinetic Characterization of Polyclonal Antibody Affinity. Purified polyclonal antibodies were immobilized on a Protein A/G coated Carterra LSA sensor chip (PAGH200M) at concentrations of 5, and 50 ug/mL in duplicate. Antibodies on the surface were exposed to interaction with peptides sequentially via microfluidic controlled flow at 333nM peptide concentration for kinetic characterization of the binders for affinity and specificity, followed by curve fitting using the Kinetics software. Kd determinations for both concentrations were averaged and results and standard deviation are shown.)
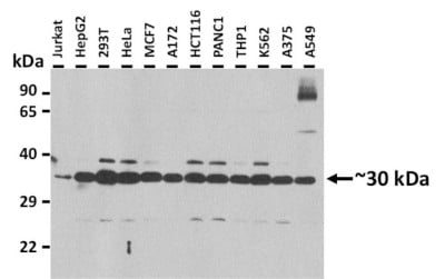
WB (Western Blot)
(25 ug of the indicated whole cell extracts was loaded onto a 12% SDS-PAGE gel. 3 ug/mL of the antibody was used in this experiment. Recommended dilution for antibody is 1-3 ug/mL. Multiple isoforms of this protein are known and several share the peptide sequence.)
WB (Western Blot)
(WB Suggested Anti-FOLR2 AntibodyTitration: 1.0 ug/mlPositive Control: MCF7 Whole CellFOLR2 is supported by BioGPS gene expression data to be expressed in MCF7)
Target Description: The protein encoded by this gene is a member of the folate receptor (FOLR) family, and these genes exist in a cluster on chromosome 11. Members of this gene family have a high affinity for folic acid and for several reduced folic acid derivatives, and they mediate delivery of 5-methyltetrahydrofolate to the interior of cells. This protein has a 68% and 79% sequence homology with the FOLR1 and FOLR3 proteins, respectively. Although this protein was originally thought to be specific to placenta, it can also exist in other tissues, and it may play a role in the transport of methotrexate in synovial macrophages in rheumatoid arthritis patients. Multiple transcript variants that encode the same protein have been found for this gene.
NCBI and Uniprot Product Information
Customer Reviews
Loading reviews...
Share Your Experience
Similar Products
Product Notes
The FOLR2 folr2 (Catalog #AAA201356) is an Antibody produced from Rabbit and is intended for research purposes only. The product is available for immediate purchase. The FOLR2 Antibody - C-terminal region reacts with Tested: Human Predicted: Cow, Dog, Guinea Pig, Horse, Mouse, Pig, Rabbit, Rat and may cross-react with other species as described in the data sheet. AAA Biotech's FOLR2 can be used in a range of immunoassay formats including, but not limited to, WB (Western Blot). Researchers should empirically determine the suitability of the FOLR2 folr2 for an application not listed in the data sheet. Researchers commonly develop new applications and it is an integral, important part of the investigative research process. The amino acid sequence is listed below: Synthetic peptide located within the following region: LCEGLWSHSY KVSNYSRGSG RCIQMWFDSA QGNPNEEVAR FYAAAMHVNA. It is sometimes possible for the material contained within the vial of "FOLR2, Polyclonal Antibody" to become dispersed throughout the inside of the vial, particularly around the seal of said vial, during shipment and storage. We always suggest centrifuging these vials to consolidate all of the liquid away from the lid and to the bottom of the vial prior to opening. Please be advised that certain products may require dry ice for shipping and that, if this is the case, an additional dry ice fee may also be required.Precautions
All products in the AAA Biotech catalog are strictly for research-use only, and are absolutely not suitable for use in any sort of medical, therapeutic, prophylactic, in-vivo, or diagnostic capacity. By purchasing a product from AAA Biotech, you are explicitly certifying that said products will be properly tested and used in line with industry standard. AAA Biotech and its authorized distribution partners reserve the right to refuse to fulfill any order if we have any indication that a purchaser may be intending to use a product outside of our accepted criteria.Disclaimer
Though we do strive to guarantee the information represented in this datasheet, AAA Biotech cannot be held responsible for any oversights or imprecisions. AAA Biotech reserves the right to adjust any aspect of this datasheet at any time and without notice. It is the responsibility of the customer to inform AAA Biotech of any product performance issues observed or experienced within 30 days of receipt of said product. To see additional details on this or any of our other policies, please see our Terms & Conditions page.Item has been added to Shopping Cart
If you are ready to order, navigate to Shopping Cart and get ready to checkout.
