Rabbit Forkhead box protein O3 Polyclonal Antibody | anti-FOXO3 antibody
Anti-FOXO3A Antibody
Each vial contains 5mg BSA, 0.9mg NaCl, 0.2mg Na2HPO4, 0.05mg NaN3.
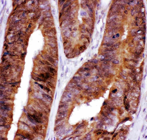
IHC (Immunohistochemisry)
(Anti- FOXO3A antibody, AAA46038,IHC(P)IHC(P): Human Intestinal Cancer Tissue)
WB (Western Blot)
(Anti- FOXO3A antibody, AAA46038, Western blottingAll lanes: Anti FOXO3A (AAA46038) at 0.5ug/mlLane 1: Rat Thymus Tissue Lysate at 50ugLane 2: NRK Whole Cell Lysate at 40ugLane 3: PC-12Whole Cell Lysate at 40ugLane 4: HEPG2 Whole Cell Lysate at 40ugLane 5: HELA Whole Cell Lysate at 40ugLane 6: K562 Whole Cell Lysate at 40ugLane 7: JURKAT Whole Cell Lysate at 40ugPredicted bind size: 71KDObserved bind size: 71KD)
WB (Western Blot)
(Anti- FOXO3A antibody, AAA46038, Western blottingAll lanes: Anti FOXO3A (AAA46038) at 0.5ug/mlWB: Recombinant Human FOXO3A Protein 0.5ngPredicted bind size: 39KDObserved bind size: 39KD)
Background: Forkhead box O3, also known as FKHRL1 or FOXO3a, is a human protein encoded by the FOXO3 gene. FOXO3 belongs to the O subclass of the forkhead family of transcription factors which are characterized by a distinct fork head DNA-binding domain. It is mapped to 6q21. This protein likely functions as a trigger for apoptosis through upregulation of genes necessary for cell death, such as Bim and PUMA, or downregulation of anti-apoptotic proteins such as FLIP. In mammals FOXO3 regulates the resistance of cells to stress by inducing DNA repair and thereby may also affect organismal life span. In addition, it is thought that FOXO3 is also involved in protection from oxidative stress by upregulating antioxidants such as catalase and MnSOD.
NCBI and Uniprot Product Information
Customer Reviews
Loading reviews...
Share Your Experience
Similar Products
Product Notes
The FOXO3 foxo3 (Catalog #AAA46038) is an Antibody produced from Rabbit and is intended for research purposes only. The product is available for immediate purchase. The Anti-FOXO3A Antibody reacts with Human, Rat. No cross reactivity with other proteins. and may cross-react with other species as described in the data sheet. AAA Biotech's Forkhead box protein O3 can be used in a range of immunoassay formats including, but not limited to, IHC (Immunohistochemistry), WB (Western Blot). Researchers should empirically determine the suitability of the FOXO3 foxo3 for an application not listed in the data sheet. Researchers commonly develop new applications and it is an integral, important part of the investigative research process. It is sometimes possible for the material contained within the vial of "Forkhead box protein O3, Polyclonal Antibody" to become dispersed throughout the inside of the vial, particularly around the seal of said vial, during shipment and storage. We always suggest centrifuging these vials to consolidate all of the liquid away from the lid and to the bottom of the vial prior to opening. Please be advised that certain products may require dry ice for shipping and that, if this is the case, an additional dry ice fee may also be required.Precautions
All products in the AAA Biotech catalog are strictly for research-use only, and are absolutely not suitable for use in any sort of medical, therapeutic, prophylactic, in-vivo, or diagnostic capacity. By purchasing a product from AAA Biotech, you are explicitly certifying that said products will be properly tested and used in line with industry standard. AAA Biotech and its authorized distribution partners reserve the right to refuse to fulfill any order if we have any indication that a purchaser may be intending to use a product outside of our accepted criteria.Disclaimer
Though we do strive to guarantee the information represented in this datasheet, AAA Biotech cannot be held responsible for any oversights or imprecisions. AAA Biotech reserves the right to adjust any aspect of this datasheet at any time and without notice. It is the responsibility of the customer to inform AAA Biotech of any product performance issues observed or experienced within 30 days of receipt of said product. To see additional details on this or any of our other policies, please see our Terms & Conditions page.Item has been added to Shopping Cart
If you are ready to order, navigate to Shopping Cart and get ready to checkout.
