Rabbit FOXA3 Polyclonal Antibody | anti-FOXA3 antibody
FOXA3 antibody - middle region
Gene Names
FOXA3; FKHH3; HNF3G; TCF3G
Reactivity
Cow, Dog, Guinea Pig, Horse, Human, Mouse, Rabbit, Rat, Zebrafish
Applications
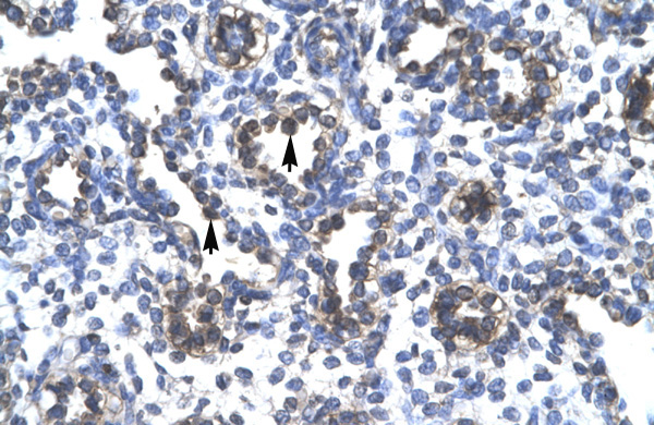
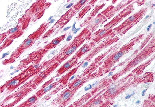
Western Blot, Immunohistochemistry
Purity
Affinity Purified
Synonyms
FOXA3, Antibody; FOXA3 antibody - middle region; anti-FOXA3 antibody
Host
Rabbit
Reactivity
Cow, Dog, Guinea Pig, Horse, Human, Mouse, Rabbit, Rat, Zebrafish
Clonality
Polyclonal
Purity/Purification
Affinity Purified
Form/Format
Liquid. Purified antibody supplied in 1x PBS buffer with 0.09% (w/v) sodium azide and 2% sucrose.
Sequence
Synthetic peptide located within the following region: FENGCYLRRQKRFKLEEKVKKGGSGAATTTRNGTGSAASTTTPAATVTSP
Sequence Length
350
Applicable Applications for anti-FOXA3 antibody
WB (Western Blot), IHC (Immunohistochemistry)
Homology
Cow: 100%; Dog: 100%; Guinea Pig: 100%; Horse: 92%; Human: 100%; Mouse: 92%; Rabbit: 85%; Rat: 100%; Zebrafish: 79%
Immunogen
The immunogen is a synthetic peptide directed towards the middle region of human FOXA3
Preparation and Storage
For short term use, store at 2-8 degree C up to 1 week. For long term storage, store at -20 degree C in small aliquots to prevent freeze-thaw cycles.
Related Product Information for anti-FOXA3 antibody
This is a rabbit polyclonal antibody against FOXA3. It was validated on Western Blot and immunohistochemistry
Target Description: FOXA3 encodes a member of the forkhead class of DNA-binding proteins. These hepatocyte nuclear factors are transcriptional activators for liver-specific transcripts such as albumin and transthyretin, and they also interact with chromatin. Similar family members in mice have roles in the regulation of metabolism and in the differentiation of the pancreas and liver. The crystal structure of a similar protein in rat has been resolved.
Target Description: FOXA3 encodes a member of the forkhead class of DNA-binding proteins. These hepatocyte nuclear factors are transcriptional activators for liver-specific transcripts such as albumin and transthyretin, and they also interact with chromatin. Similar family members in mice have roles in the regulation of metabolism and in the differentiation of the pancreas and liver. The crystal structure of a similar protein in rat has been resolved.
Product Categories/Family for anti-FOXA3 antibody
NCBI and Uniprot Product Information
NCBI GI #
NCBI GeneID
NCBI Accession #
NCBI GenBank Nucleotide #
UniProt Accession #
Molecular Weight
37kDa
NCBI Official Full Name
hepatocyte nuclear factor 3-gamma
NCBI Official Synonym Full Names
forkhead box A3
NCBI Official Symbol
FOXA3
NCBI Official Synonym Symbols
FKHH3; HNF3G; TCF3G
NCBI Protein Information
hepatocyte nuclear factor 3-gamma
UniProt Protein Name
Hepatocyte nuclear factor 3-gamma
UniProt Gene Name
FOXA3
UniProt Synonym Gene Names
HNF3G; TCF3G; HNF-3-gamma; HNF-3G; TCF-3G
UniProt Entry Name
FOXA3_HUMAN
Customer Reviews
Loading reviews...
Share Your Experience
Similar Products
Product Notes
The FOXA3 foxa3 (Catalog #AAA197253) is an Antibody produced from Rabbit and is intended for research purposes only. The product is available for immediate purchase. The FOXA3 antibody - middle region reacts with Cow, Dog, Guinea Pig, Horse, Human, Mouse, Rabbit, Rat, Zebrafish and may cross-react with other species as described in the data sheet. AAA Biotech's FOXA3 can be used in a range of immunoassay formats including, but not limited to, WB (Western Blot), IHC (Immunohistochemistry). Researchers should empirically determine the suitability of the FOXA3 foxa3 for an application not listed in the data sheet. Researchers commonly develop new applications and it is an integral, important part of the investigative research process. The amino acid sequence is listed below: Synthetic peptide located within the following region: FENGCYLRRQ KRFKLEEKVK KGGSGAATTT RNGTGSAAST TTPAATVTSP. It is sometimes possible for the material contained within the vial of "FOXA3, Polyclonal Antibody" to become dispersed throughout the inside of the vial, particularly around the seal of said vial, during shipment and storage. We always suggest centrifuging these vials to consolidate all of the liquid away from the lid and to the bottom of the vial prior to opening. Please be advised that certain products may require dry ice for shipping and that, if this is the case, an additional dry ice fee may also be required.Precautions
All products in the AAA Biotech catalog are strictly for research-use only, and are absolutely not suitable for use in any sort of medical, therapeutic, prophylactic, in-vivo, or diagnostic capacity. By purchasing a product from AAA Biotech, you are explicitly certifying that said products will be properly tested and used in line with industry standard. AAA Biotech and its authorized distribution partners reserve the right to refuse to fulfill any order if we have any indication that a purchaser may be intending to use a product outside of our accepted criteria.Disclaimer
Though we do strive to guarantee the information represented in this datasheet, AAA Biotech cannot be held responsible for any oversights or imprecisions. AAA Biotech reserves the right to adjust any aspect of this datasheet at any time and without notice. It is the responsibility of the customer to inform AAA Biotech of any product performance issues observed or experienced within 30 days of receipt of said product. To see additional details on this or any of our other policies, please see our Terms & Conditions page.Item has been added to Shopping Cart
If you are ready to order, navigate to Shopping Cart and get ready to checkout.
