Rabbit FOXE3 Polyclonal Antibody | anti-FOXE3 antibody
FOXE3 antibody - C-terminal region
Gene Names
FOXE3; AAT11; ASGD2; FKHL12; FREAC8; CTRCT34
Reactivity
Tested Reactivity: Human (Predicted Reactivity: Human)
Applications
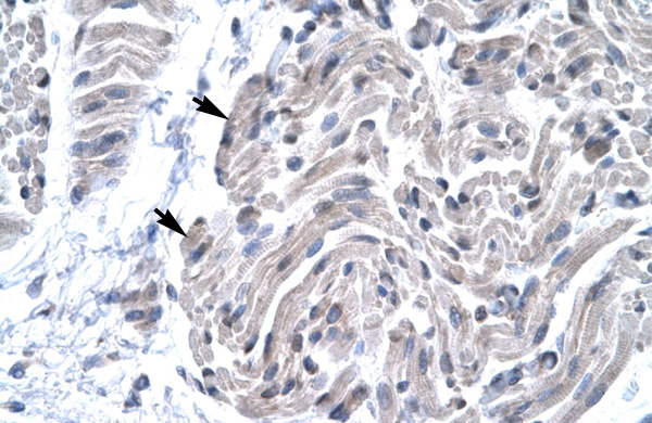
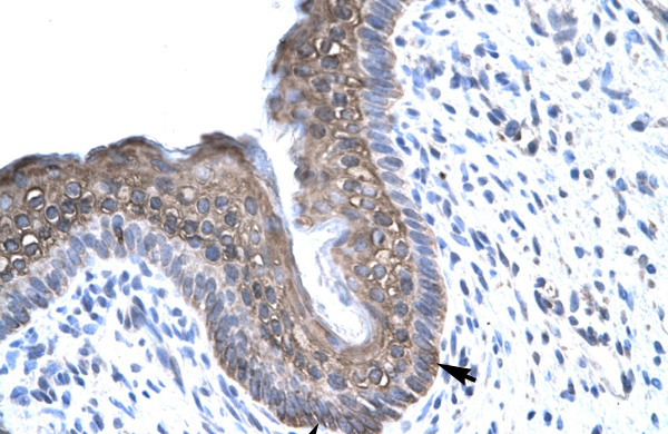
Western Blot, Immunohistochemistry
Purity
Affinity Purified
Synonyms
FOXE3, Antibody; FOXE3 antibody - C-terminal region; anti-FOXE3 antibody
Host
Rabbit
Reactivity
Tested Reactivity: Human (Predicted Reactivity: Human)
Clonality
Polyclonal
Purity/Purification
Affinity Purified
Form/Format
Liquid. Purified antibody supplied in 1x PBS buffer with 0.09% (w/v) sodium azide and 2% sucrose.
Concentration
Batch dependent within range: 100 ul at 0.5-1mg/ml. (varies by lot)
Sequence
Synthetic peptide located within the following region: PEPPCCAAPDAAAAAFPPCAAAASPPLYSQVPDRLVLPATRPGPGPLPAE
Sequence Length
319
Applicable Applications for anti-FOXE3 antibody
WB (Western Blot), IHC (Immunohistochemistry)
Homology
Human: 100%
Immunogen
The immunogen is a synthetic peptide directed towards the C terminal region of human FOXE3
Replacement Item
This antibody may replace item sc-134535 from Santa Cruz Biotechnology.
Preparation and Storage
For short term use, store at 2-8 degree C up to 1 week. For long term storage, store at -20 degree C in small aliquots to prevent freeze-thaw cycles.
Related Product Information for anti-FOXE3 antibody
This is a rabbit polyclonal antibody against FOXE3. It was validated on Western Blot and immunohistochemistry
Target Description: Forkhead Box Protein E3 (FOXE3, forkhead-related protein FKHL12, forkhead-related transcription factor 8) is a forkhead/winged helix transcription factor, which is expressed in the developing lens from the start of lens placode induction and becomes restricted to the anterior proliferating cells when lens fiber differentiation begins.
Target Description: Forkhead Box Protein E3 (FOXE3, forkhead-related protein FKHL12, forkhead-related transcription factor 8) is a forkhead/winged helix transcription factor, which is expressed in the developing lens from the start of lens placode induction and becomes restricted to the anterior proliferating cells when lens fiber differentiation begins.
Product Categories/Family for anti-FOXE3 antibody
NCBI and Uniprot Product Information
NCBI GI #
NCBI GeneID
NCBI Accession #
NCBI GenBank Nucleotide #
UniProt Accession #
Molecular Weight
33kDa
NCBI Official Full Name
forkhead box protein E3
NCBI Official Synonym Full Names
forkhead box E3
NCBI Official Symbol
FOXE3
NCBI Official Synonym Symbols
AAT11; ASGD2; FKHL12; FREAC8; CTRCT34
NCBI Protein Information
forkhead box protein E3
UniProt Protein Name
Forkhead box protein E3
UniProt Gene Name
FOXE3
UniProt Synonym Gene Names
FKHL12; FREAC8; FREAC-8
UniProt Entry Name
FOXE3_HUMAN
Customer Reviews
Loading reviews...
Share Your Experience
Similar Products
Product Notes
The FOXE3 foxe3 (Catalog #AAA197327) is an Antibody produced from Rabbit and is intended for research purposes only. The product is available for immediate purchase. The FOXE3 antibody - C-terminal region reacts with Tested Reactivity: Human (Predicted Reactivity: Human) and may cross-react with other species as described in the data sheet. AAA Biotech's FOXE3 can be used in a range of immunoassay formats including, but not limited to, WB (Western Blot), IHC (Immunohistochemistry). Researchers should empirically determine the suitability of the FOXE3 foxe3 for an application not listed in the data sheet. Researchers commonly develop new applications and it is an integral, important part of the investigative research process. The amino acid sequence is listed below: Synthetic peptide located within the following region: PEPPCCAAPD AAAAAFPPCA AAASPPLYSQ VPDRLVLPAT RPGPGPLPAE. It is sometimes possible for the material contained within the vial of "FOXE3, Polyclonal Antibody" to become dispersed throughout the inside of the vial, particularly around the seal of said vial, during shipment and storage. We always suggest centrifuging these vials to consolidate all of the liquid away from the lid and to the bottom of the vial prior to opening. Please be advised that certain products may require dry ice for shipping and that, if this is the case, an additional dry ice fee may also be required.Precautions
All products in the AAA Biotech catalog are strictly for research-use only, and are absolutely not suitable for use in any sort of medical, therapeutic, prophylactic, in-vivo, or diagnostic capacity. By purchasing a product from AAA Biotech, you are explicitly certifying that said products will be properly tested and used in line with industry standard. AAA Biotech and its authorized distribution partners reserve the right to refuse to fulfill any order if we have any indication that a purchaser may be intending to use a product outside of our accepted criteria.Disclaimer
Though we do strive to guarantee the information represented in this datasheet, AAA Biotech cannot be held responsible for any oversights or imprecisions. AAA Biotech reserves the right to adjust any aspect of this datasheet at any time and without notice. It is the responsibility of the customer to inform AAA Biotech of any product performance issues observed or experienced within 30 days of receipt of said product. To see additional details on this or any of our other policies, please see our Terms & Conditions page.Item has been added to Shopping Cart
If you are ready to order, navigate to Shopping Cart and get ready to checkout.
