Rabbit FoxO4 Polyclonal Antibody | anti-FoxO4 antibody
Phospho-FoxO4 (Ser197) Antibody
Predicted: Pig, Bovine, Horse, Sheep, Dog, Chicken, Xenopus
Predicted: Pig, Bovine, Horse, Sheep, Dog, Chicken, Xenopus
WB (Western Blot)
(Western blot analysis of Phospho-FoxO4 (Ser197) in lysates of HuvEc , using Phospho-FoxO4 (Ser197) Antibody.)
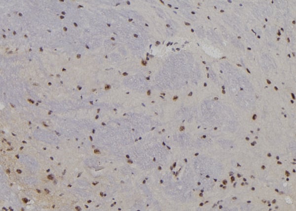
IHC (Immunohistochemisry)
(At 1/100 staining rat brain tissue sections by IHC-P. The tissue was formaldehyde fixed and a heat mediated antigen retrieval step in citrate buffer was performed. The tissue was then blocked and incubated with the antibody for 1.5 hours at 22 degree C. An HRP conjugated goat anti-rabbit antibody was used as the secondary)
IHC (Immunohiostchemistry)
(At 1/100 staining rat kidney tissue sections by IHC-P. The tissue was formaldehyde fixed and a heat mediated antigen retrieval step in citrate buffer was performed. The tissue was then blocked and incubated with the antibody for 1.5 hours at 22 degree C. An HRP conjugated goat anti-rabbit antibody was used as the secondary)
IHC (Immunohistochemistry)
(At 1/100 staining mouse spleen tissue sections by IHC-P. The tissue was formaldehyde fixed and a heat mediated antigen retrieval step in citrate buffer was performed. The tissue was then blocked and incubated with the antibody for 1.5 hours at 22 degree C. An HRP conjugated goat anti-rabbit antibody was used as the secondary)
Post Translational Modifications: Acetylation by CREBBP/CBP, which is induced by peroxidase stress, inhibits transcriptional activity. Deacetylation by SIRT1 is NAD-dependent and stimulates transcriptional activity. Phosphorylation by PKB/AKT1 inhibits transcriptional activity and is responsible for cytoplasmic localization. May be phosphorylated at multiple sites by NLK. Monoubiquitinated; monoubiquitination is induced by oxidative stress and reduced by deacetylase inhibitors; results in its relocalization to the nucleus and its increased transcriptional activity. Deubiquitinated by USP7; deubiquitination is induced by oxidative stress; enhances its interaction with USP7 and consequently, deubiquitination; increases its translocation to the cytoplasm and inhibits its transcriptional activity. Hydrogene-peroxide-induced ubiquitination and USP7-mediated deubiquitination have no major effect on its protein stability.
Subunit Structure: Interacts with CREBBP/CBP, CTNNB1, MYOCD, SIRT1, SRF and YWHAZ. Acetylated by CREBBP/CBP and deacetylated by SIRT1. Binding of YWHAZ inhibits DNA-binding. Interacts with USP7; the interaction is enhanced in presence of hydrogen peroxide and occurs independently of TP53. Interacts with NLK, and this inhibits monoubiquitination and transcriptional activity. Interacts with FOXK1; the interaction inhibits MEF2C transactivation activity (By similarity).
NCBI and Uniprot Product Information
Predicted: 54 kDa
Customer Reviews
Loading reviews...
Share Your Experience
Similar Products
Product Notes
The FoxO4 foxo4 (Catalog #AAA328480) is an Antibody produced from Rabbit and is intended for research purposes only. The product is available for immediate purchase. The Phospho-FoxO4 (Ser197) Antibody reacts with Human, Mouse, Rat Predicted: Pig, Bovine, Horse, Sheep, Dog, Chicken, Xenopus and may cross-react with other species as described in the data sheet. AAA Biotech's FoxO4 can be used in a range of immunoassay formats including, but not limited to, ELISA (Peptide ELISA), IHC (Immunohistochemistry), WB (Western Blot). Researchers should empirically determine the suitability of the FoxO4 foxo4 for an application not listed in the data sheet. Researchers commonly develop new applications and it is an integral, important part of the investigative research process. It is sometimes possible for the material contained within the vial of "FoxO4, Polyclonal Antibody" to become dispersed throughout the inside of the vial, particularly around the seal of said vial, during shipment and storage. We always suggest centrifuging these vials to consolidate all of the liquid away from the lid and to the bottom of the vial prior to opening. Please be advised that certain products may require dry ice for shipping and that, if this is the case, an additional dry ice fee may also be required.Precautions
All products in the AAA Biotech catalog are strictly for research-use only, and are absolutely not suitable for use in any sort of medical, therapeutic, prophylactic, in-vivo, or diagnostic capacity. By purchasing a product from AAA Biotech, you are explicitly certifying that said products will be properly tested and used in line with industry standard. AAA Biotech and its authorized distribution partners reserve the right to refuse to fulfill any order if we have any indication that a purchaser may be intending to use a product outside of our accepted criteria.Disclaimer
Though we do strive to guarantee the information represented in this datasheet, AAA Biotech cannot be held responsible for any oversights or imprecisions. AAA Biotech reserves the right to adjust any aspect of this datasheet at any time and without notice. It is the responsibility of the customer to inform AAA Biotech of any product performance issues observed or experienced within 30 days of receipt of said product. To see additional details on this or any of our other policies, please see our Terms & Conditions page.Item has been added to Shopping Cart
If you are ready to order, navigate to Shopping Cart and get ready to checkout.
