Rabbit anti-Human FSD1L Polyclonal Antibody | anti-FSD1L antibody
FSD1L Antibody
Gene Names
FSD1L; MIR1; CCDC10; FSD1CL; FSD1NL; CSDUFD1
Reactivity
Human
Applications
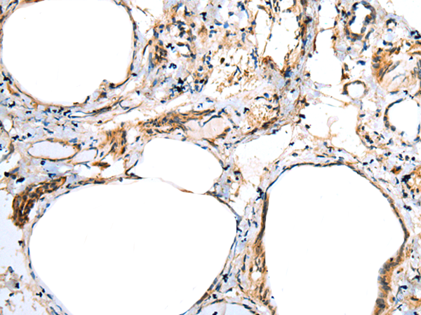
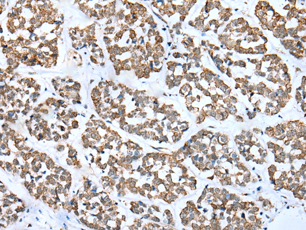
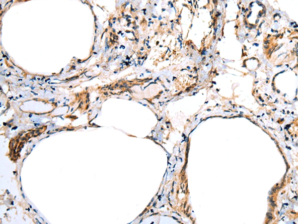
Immunohistochemistry
Purity
Antigen Affinity Purification
Synonyms
FSD1L, Antibody; FSD1L Antibody; MIR1; CCDC10; FSD1CL; FSD1NL; CSDUFD1; anti-FSD1L antibody
Host
Rabbit
Reactivity
Human
Clonality
Polyclonal
Specificity
The antibody detects endogenous levels of total FSD1L protein.
Purity/Purification
Antigen Affinity Purification
Form/Format
Rabbit IgG in pH7.4 PBS, 0.05% NaN3, 40% Glycerol.
Concentration
1.6 mg/ml (varies by lot)
Sequence Length
530
Applicable Applications for anti-FSD1L antibody
IHC (Immunohistochemistry)
Immunogen
Fusion protein of human FSD1L
Immunogen Type
Protein
Preparation and Storage
Store at -20 degree C
Related Product Information for anti-FSD1L antibody
FSD1L (fibronectin type III and SPRY domain containing 1-like), also known as CCDC10 (coiled-coil domain-containing protein 10), CSDUFD1, MIR1 or FSD1CL, is a 530 amino acid protein containing one B30.2/SPRY domain, one COS domain, and a fibronectin type-III domain. Existing as three alternatively spliced isoforms FSD1L is expressed primarily in brain, with lower levels of expression found in thymus, pituitary and testis. FSD1L may function in microtubule binding during interphase and is encoded by a gene that maps to human chromosome 9q31.2. Chromosome 9 consists of about 145 million bases andd comprises approximately 4% of the human genome and encodes nearly 900 genes.Considered to play a role in gender determination, deletion of the distal portion of 9p can lead to development of male to female sex reversal, the phenotype of a female with a male X,Y genotype.
Product Categories/Family for anti-FSD1L antibody
NCBI and Uniprot Product Information
NCBI GI #
NCBI GeneID
NCBI Accession #
NCBI GenBank Nucleotide #
Molecular Weight
16,767 Da
NCBI Official Full Name
FSD1-like protein isoform 3
NCBI Official Synonym Full Names
fibronectin type III and SPRY domain containing 1 like
NCBI Official Symbol
FSD1L
NCBI Official Synonym Symbols
MIR1; CCDC10; FSD1CL; FSD1NL; CSDUFD1
NCBI Protein Information
FSD1-like protein
UniProt Protein Name
FSD1-like protein
UniProt Gene Name
FSD1L
UniProt Synonym Gene Names
CCDC10; CSDUFD1; FSD1CL; FSD1NL
UniProt Entry Name
FSD1L_HUMAN
Customer Reviews
Loading reviews...
Share Your Experience
Similar Products
Product Notes
The FSD1L fsd1l (Catalog #AAA308542) is an Antibody produced from Rabbit and is intended for research purposes only. The product is available for immediate purchase. The FSD1L Antibody reacts with Human and may cross-react with other species as described in the data sheet. AAA Biotech's FSD1L can be used in a range of immunoassay formats including, but not limited to, IHC (Immunohistochemistry). Researchers should empirically determine the suitability of the FSD1L fsd1l for an application not listed in the data sheet. Researchers commonly develop new applications and it is an integral, important part of the investigative research process. It is sometimes possible for the material contained within the vial of "FSD1L, Polyclonal Antibody" to become dispersed throughout the inside of the vial, particularly around the seal of said vial, during shipment and storage. We always suggest centrifuging these vials to consolidate all of the liquid away from the lid and to the bottom of the vial prior to opening. Please be advised that certain products may require dry ice for shipping and that, if this is the case, an additional dry ice fee may also be required.Precautions
All products in the AAA Biotech catalog are strictly for research-use only, and are absolutely not suitable for use in any sort of medical, therapeutic, prophylactic, in-vivo, or diagnostic capacity. By purchasing a product from AAA Biotech, you are explicitly certifying that said products will be properly tested and used in line with industry standard. AAA Biotech and its authorized distribution partners reserve the right to refuse to fulfill any order if we have any indication that a purchaser may be intending to use a product outside of our accepted criteria.Disclaimer
Though we do strive to guarantee the information represented in this datasheet, AAA Biotech cannot be held responsible for any oversights or imprecisions. AAA Biotech reserves the right to adjust any aspect of this datasheet at any time and without notice. It is the responsibility of the customer to inform AAA Biotech of any product performance issues observed or experienced within 30 days of receipt of said product. To see additional details on this or any of our other policies, please see our Terms & Conditions page.Item has been added to Shopping Cart
If you are ready to order, navigate to Shopping Cart and get ready to checkout.
