Rabbit anti-Human, Mouse FSH beta Polyclonal Antibody | anti-FSHB antibody
Anti-FSH beta Antibody
IHC (Immunohistochemisry)
(Anti-FSH beta Picoband antibody, AAA45644-1.jpgIHC(P): Human Mammary Cancer Tissue)
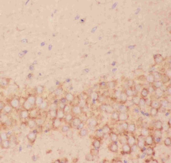
IHC (Immunohiostchemistry)
(Anti-FSH beta Picoband antibody, AAA45644-1.jpgIHC(P): Mouse Brain Tissue)
Application Data
(Anti-FSH beta Picoband antibody, AAA45644-1.jpgAll lanes: Anti FSH beta(AAA45644) at 0.5ug/mlWB: Recombinant Human FSH beta Protein 0.5ngPredicted bind size: 36KDObserved bind size: 36KD)
Background: FSHB, also known as Follitropin subunit beta, is a protein that in humans is encoded by the FSHB gene, and this gene is mapped to 11p14.1. FSHB enables ovarian folliculogenesis to the antral follicle stage and is essential for Sertoli cell proliferation and maintenance of sperm quality in the testis. It can stimulate development of follicle and spermatogenesis in the reproductive organs. This gene encodes the beta subunit of follicle-stimulating hormone. In conjunction with luteinizing hormone, follicle-stimulating hormone induces egg and sperm production.
NCBI and Uniprot Product Information
Customer Reviews
Loading reviews...
Share Your Experience
Similar Products
Product Notes
The FSHB fshb (Catalog #AAA45644) is an Antibody produced from Rabbit and is intended for research purposes only. The product is available for immediate purchase. The Anti-FSH beta Antibody reacts with Human, Mouse and may cross-react with other species as described in the data sheet. AAA Biotech's FSH beta can be used in a range of immunoassay formats including, but not limited to, IHC (Immunohistochemistry), WB (Western Blot). Researchers should empirically determine the suitability of the FSHB fshb for an application not listed in the data sheet. Researchers commonly develop new applications and it is an integral, important part of the investigative research process. It is sometimes possible for the material contained within the vial of "FSH beta, Polyclonal Antibody" to become dispersed throughout the inside of the vial, particularly around the seal of said vial, during shipment and storage. We always suggest centrifuging these vials to consolidate all of the liquid away from the lid and to the bottom of the vial prior to opening. Please be advised that certain products may require dry ice for shipping and that, if this is the case, an additional dry ice fee may also be required.Precautions
All products in the AAA Biotech catalog are strictly for research-use only, and are absolutely not suitable for use in any sort of medical, therapeutic, prophylactic, in-vivo, or diagnostic capacity. By purchasing a product from AAA Biotech, you are explicitly certifying that said products will be properly tested and used in line with industry standard. AAA Biotech and its authorized distribution partners reserve the right to refuse to fulfill any order if we have any indication that a purchaser may be intending to use a product outside of our accepted criteria.Disclaimer
Though we do strive to guarantee the information represented in this datasheet, AAA Biotech cannot be held responsible for any oversights or imprecisions. AAA Biotech reserves the right to adjust any aspect of this datasheet at any time and without notice. It is the responsibility of the customer to inform AAA Biotech of any product performance issues observed or experienced within 30 days of receipt of said product. To see additional details on this or any of our other policies, please see our Terms & Conditions page.Item has been added to Shopping Cart
If you are ready to order, navigate to Shopping Cart and get ready to checkout.
