Rabbit FUS Polyclonal Antibody | anti-FUS antibody
FUS Antibody (C-term)
Predicted: Bovine
Predicted: Bovine
IF (Immunofluorescence)
(Confocal immunofluorescent analysis of FUS Antibody (C-term) (AAA283899) with MDA-MB231 cell followed by Alexa Fluor 488-conjugated goat anti-rabbit lgG (green).Actin filaments have been labeled with Alexa Fluor 555 phalloidin (red).)
FCM/FACS (Flow Cytometry)
(FUS Antibody (C-term) (AAA283899) flow cytometric analysis of Hela cells (right histogram) compared to a negative control cell (left histogram). FITC-conjugated goat-anti-rabbit secondary antibodies were used for the analysis.)
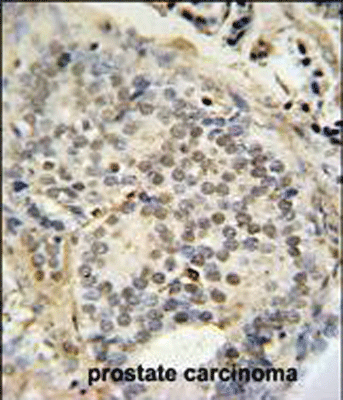
IHC (Immunohiostchemistry)
(FUS antibody (C-term) (AAA283899) immunohistochemistry analysis in formalin fixed and paraffin embedded human prostate carcinoma followed by peroxidase conjugation of the secondary antibody and DAB staining. This data demonstrates the use of the FUS antibody (C-term) (AAA283899) for immunohistochemistry. Clinical relevance has not been evaluated.)
WB (Western Blot)
(FUS Antibody (C-term) (AAA283899) western blot analysis in mouse cerebellum tissue lysates (15ug/lane).This demonstrates the FUS antibody detected FUS protein (arrow).)
the heterogeneous nuclear ribonucleoprotein (hnRNP) complex. The
hnRNP complex is involved in pre-mRNA splicing and the export of
fully processed mRNA to the cytoplasm. This protein belongs to the
FET family of RNA-binding proteins which have been implicated in
cellular processes that include regulation of gene expression,
maintenance of genomic integrity and mRNA/microRNA processing.
Alternative splicing results in multiple transcript variants.
Defects in this gene result in amyotrophic lateral sclerosis type 6.
Mackenzie, I.R., et al. Lancet Neurol 9(10):995-1007(2010)
Yan, J., et al. Neurology 75(9):807-814(2010)
Waibel, S., et al. Neurology 75(9):815-817(2010)
Baumer, D., et al. Neurology 75(7):611-618(2010)
NCBI and Uniprot Product Information
Customer Reviews
Loading reviews...
Share Your Experience
Similar Products
Product Notes
The FUS fus (Catalog #AAA283899) is an Antibody produced from Rabbit and is intended for research purposes only. The product is available for immediate purchase. The FUS Antibody (C-term) reacts with Human, Mouse Predicted: Bovine and may cross-react with other species as described in the data sheet. AAA Biotech's FUS can be used in a range of immunoassay formats including, but not limited to, IF (Immunofluorescence), FCM/FACS (Flow Cytometry), IHC (Immunohistochemistry), ELISA, WB (Western Blot). Researchers should empirically determine the suitability of the FUS fus for an application not listed in the data sheet. Researchers commonly develop new applications and it is an integral, important part of the investigative research process. It is sometimes possible for the material contained within the vial of "FUS, Polyclonal Antibody" to become dispersed throughout the inside of the vial, particularly around the seal of said vial, during shipment and storage. We always suggest centrifuging these vials to consolidate all of the liquid away from the lid and to the bottom of the vial prior to opening. Please be advised that certain products may require dry ice for shipping and that, if this is the case, an additional dry ice fee may also be required.Precautions
All products in the AAA Biotech catalog are strictly for research-use only, and are absolutely not suitable for use in any sort of medical, therapeutic, prophylactic, in-vivo, or diagnostic capacity. By purchasing a product from AAA Biotech, you are explicitly certifying that said products will be properly tested and used in line with industry standard. AAA Biotech and its authorized distribution partners reserve the right to refuse to fulfill any order if we have any indication that a purchaser may be intending to use a product outside of our accepted criteria.Disclaimer
Though we do strive to guarantee the information represented in this datasheet, AAA Biotech cannot be held responsible for any oversights or imprecisions. AAA Biotech reserves the right to adjust any aspect of this datasheet at any time and without notice. It is the responsibility of the customer to inform AAA Biotech of any product performance issues observed or experienced within 30 days of receipt of said product. To see additional details on this or any of our other policies, please see our Terms & Conditions page.Item has been added to Shopping Cart
If you are ready to order, navigate to Shopping Cart and get ready to checkout.
